Skip to main content

VWA9 Antibody - BSA Free

Novus Biologicals, part of Bio-Techne | Catalog # NBP1-90524

Novus Biologicals, part of Bio-Techne
Catalog #
Availability
Size / Price
Qty
Loading...
NBP1-90524
NBP1-90524-25ul

Key Product Details

Validated by

Independent Antibodies

Species Reactivity

Human, Mouse, Rat

Applications

Immunohistochemistry, Immunohistochemistry-Paraffin, Western Blot

Label

Unconjugated

Antibody Source

Polyclonal Rabbit IgG

Format

BSA Free

Concentration

Concentrations vary lot to lot. See vial label for concentration. If unlisted please contact technical services.

Product Specifications

Immunogen

This antibody was developed against Recombinant Protein corresponding to amino acids: GCLGIGRGSLRHSLATQNQRSESNRFPLPFPFPSKLYIMCMANLEELQSTDSLECLERLIDLNNGEGQIFTIDGPLCLKNVQSMFGKLIDLAYTPFHAVLK

Reactivity Notes

Reactivity reported in scientific literature (PMID: 23435261)

Clonality

Polyclonal

Host

Rabbit

Isotype

IgG

Scientific Data Images for VWA9 Antibody - BSA Free

Immunohistochemistry-Paraffin: VWA9 Antibody [NBP1-90524]

Immunohistochemistry-Paraffin: VWA9 Antibody [NBP1-90524]

Immunohistochemistry-Paraffin: VWA9 Antibody [NBP1-90524] - Staining of human stomach, lower shows strong nuclear positivity in glandular cells.
VWA9 Antibody - BSA Free Western Blot: VWA9 Antibody - BSA Free [NBP1-90524]

Western Blot: VWA9 Antibody - BSA Free [NBP1-90524]

Analysis in mouse cell line NIH-3T3 and rat cell line NBT-II.
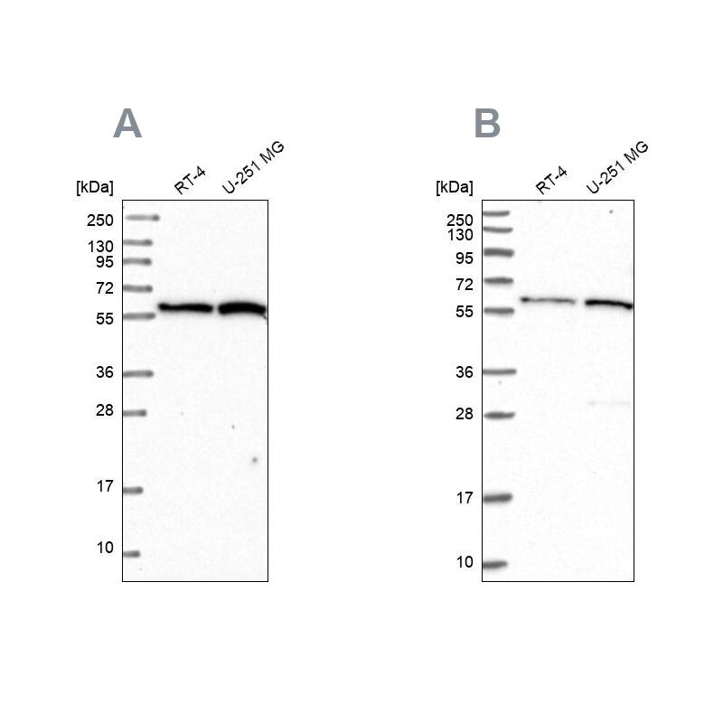
VWA9 Antibody - BSA Free Western Blot: VWA9 Antibody - BSA Free [NBP1-90524]

Western Blot: VWA9 Antibody - BSA Free [NBP1-90524]

Analysis using antibody NBP1-90524 (A) shows similar pattern to independent antibody NBP1-90525 (B).

Applications for VWA9 Antibody - BSA Free

Application
Recommended Usage

Immunohistochemistry

1:50 - 1:200

Immunohistochemistry-Paraffin

1:50 - 1:200

Western Blot

0.04-0.4 ug/ml
Application Notes
For IHC-Paraffin, HIER pH 6 retrieval is recommended.

Formulation, Preparation, and Storage

Purification

Affinity purified

Formulation

PBS (pH 7.2) and 40% Glycerol

Format

BSA Free

Preservative

0.02% Sodium Azide

Concentration

Concentrations vary lot to lot. See vial label for concentration. If unlisted please contact technical services.

Shipping

The product is shipped with polar packs. Upon receipt, store it immediately at the temperature recommended below.

Stability & Storage

Store at 4C short term. Aliquot and store at -20C long term. Avoid freeze-thaw cycles.

Background: VWA9

Alternate Names

C15orf44, chromosome 15 open reading frame 44, hypothetical protein LOC81556

Gene Symbol

VWA9

Additional VWA9 Products

Product Documents for VWA9 Antibody - BSA Free

Certificate of Analysis

To download a Certificate of Analysis, please enter a lot number in the search box below.

Product Specific Notices for VWA9 Antibody - BSA Free

This product is for research use only and is not approved for use in humans or in clinical diagnosis. Primary Antibodies are guaranteed for 1 year from date of receipt.

Loading...
Loading...
Loading...
Loading...