Skip to main content

VSIG2 Antibody - BSA Free

Novus Biologicals, part of Bio-Techne | Catalog # NBP2-48955

Novus Biologicals, part of Bio-Techne
Catalog #
Availability
Size / Price
Qty
Loading...
NBP2-48955

Key Product Details

Validated by

Orthogonal Validation

Species Reactivity

Human

Applications

Immunohistochemistry, Immunohistochemistry-Paraffin, Western Blot

Label

Unconjugated

Antibody Source

Polyclonal Rabbit IgG

Format

BSA Free

Concentration

Concentrations vary lot to lot. See vial label for concentration. If unlisted please contact technical services.

Product Specifications

Immunogen

This antibody was developed against a recombinant protein corresponding to amino acids: GKKPKETYGGSDLREDAIAPGISEHTCMRADSSKGFLERPSSASTVTTTKSKLPMVV

Clonality

Polyclonal

Host

Rabbit

Isotype

IgG

Description

Novus Biologicals Rabbit VSIG2 Antibody - BSA Free (NBP2-48955) is a polyclonal antibody validated for use in IHC and WB. All Novus Biologicals antibodies are covered by our 100% guarantee.

Scientific Data Images for VSIG2 Antibody - BSA Free

VSIG2 Antibody

Immunohistochemistry-Paraffin: VSIG2 Antibody [NBP2-48955] -

Immunohistochemistry-Paraffin: VSIG2 Antibody [NBP2-48955] -Analysis in human stomach and skeletal muscle tissues using NBP2-48955antibody. Corresponding VSIG2 RNA-seq data are presented for the same tissues.
Western Blot: VSIG2 Antibody [NBP2-48955]

Western Blot: VSIG2 Antibody [NBP2-48955]

Western Blot: VSIG2 Antibody [NBP2-48955] - Analysis in control (vector only transfected HEK293T lysate) and VSIG2 over-expression lysate (Co-expressed with a C-terminal myc-DDK tag (3.1 kDa) in mammalian HEK293T cells).
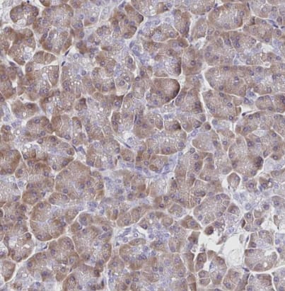
Immunohistochemistry: VSIG2 Antibody [NBP2-48955]

Immunohistochemistry: VSIG2 Antibody [NBP2-48955]

Immunohistochemistry: VSIG2 Antibody [NBP2-48955] - Staining of human stomach, upper shows strong cytoplasmic and membranous positivity in glandular cells.

Applications for VSIG2 Antibody - BSA Free

Application
Recommended Usage

Immunohistochemistry

1:50 - 1:200

Immunohistochemistry-Paraffin

1:50 - 1:200

Western Blot

0.04-0.4 ug/ml
Application Notes
For IHC-Paraffin, HIER pH 6 retrieval is recommended.

Formulation, Preparation, and Storage

Purification

Affinity purified

Formulation

PBS (pH 7.2) and 40% Glycerol

Format

BSA Free

Preservative

0.02% Sodium Azide

Concentration

Concentrations vary lot to lot. See vial label for concentration. If unlisted please contact technical services.

Shipping

The product is shipped with polar packs. Upon receipt, store it immediately at the temperature recommended below.

Stability & Storage

Store at 4C short term. Aliquot and store at -20C long term. Avoid freeze-thaw cycles.

Background: VSIG2

Long Name

V-Set and Immunoglobulin Domain Containing 2

Alternate Names

CTH, CTXL

Gene Symbol

VSIG2

Additional VSIG2 Products

Product Documents for VSIG2 Antibody - BSA Free

Certificate of Analysis

To download a Certificate of Analysis, please enter a lot number in the search box below.

Product Specific Notices for VSIG2 Antibody - BSA Free

This product is for research use only and is not approved for use in humans or in clinical diagnosis. Primary Antibodies are guaranteed for 1 year from date of receipt.

Loading...
Loading...
Loading...
Loading...