Skip to main content

VRL1 Antibody - BSA Free

Novus Biologicals, part of Bio-Techne | Catalog # NBP3-14517

Novus Biologicals, part of Bio-Techne
Catalog #
Availability
Size / Price
Qty
Loading...
NBP3-14517

Key Product Details

Species Reactivity

Validated:

Human

Predicted:

Chimpanzee (93%). Backed by our 100% Guarantee.

Applications

Immunohistochemistry, Immunohistochemistry-Paraffin

Label

Unconjugated

Antibody Source

Polyclonal Rabbit

Format

BSA Free

Concentration

1 mg/ml

Product Specifications

Immunogen

Synthetic 15 amino acid peptide from internal region of human VRL1.

Epitope

Internal

Reactivity Notes

Expected reactivity based on percent sequence identity: Gibbon, Monkey (80%)

Specificity

Human VRL1. BLAST analysis of the peptide immunogen showed no homology with other human proteins.

Clonality

Polyclonal

Host

Rabbit

Description

Product can be stored undiluted at 4C for up to 1 month.

Scientific Data Images for VRL1 Antibody - BSA Free

Immunohistochemistry-Paraffin: VRL1 Antibody [NBP3-14517]

Immunohistochemistry-Paraffin: VRL1 Antibody [NBP3-14517]

Immunohistochemistry-Paraffin: VRL1 Antibody [NBP3-14517] - Immunohistochemistry of formalin-fixed, paraffin-embedded human prostate after heat-induced antigen retrieval.
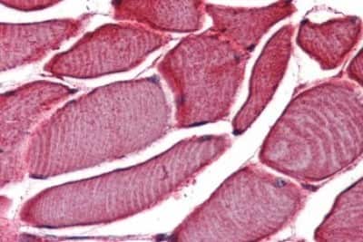
Immunohistochemistry-Paraffin: VRL1 Antibody [NBP3-14517]

Immunohistochemistry-Paraffin: VRL1 Antibody [NBP3-14517]

Immunohistochemistry-Paraffin: VRL1 Antibody [NBP3-14517] - Immunohistochemistry of formalin-fixed, paraffin-embedded human skeletal muscle after heat-induced antigen retrieval.

Applications for VRL1 Antibody - BSA Free

Application
Recommended Usage

Immunohistochemistry

Optimal dilutions of this antibody should be experimentally determined.

Immunohistochemistry-Paraffin

Optimal dilutions of this antibody should be experimentally determined.
Application Notes
Antigen retrieval requires Proteinase K treatment..

Formulation, Preparation, and Storage

Purification

Immunogen affinity purified

Formulation

PBS

Format

BSA Free

Preservative

0.1% Sodium Azide

Concentration

1 mg/ml

Shipping

The product is shipped with polar packs. Upon receipt, store it immediately at the temperature recommended below.

Stability & Storage

Keep as concentrated solution. Aliquot and store at -20C or below. Avoid multiple freeze-thaw cycles.

Background: VRL1

Caterina et al has identified a structurally related receptor, VRL-1, that does not respond to capsaicin, acid or moderate heat. Instead, VRL-1 is activated by high temperatures, with a threshold of approximately 52 degrees C. Within sensory ganglia, VRL-1 is most prominently expressed by a subset of medium- to large-diameter neurons, making it a candidate receptor for transducing high-threshold heat responses in this class of cells. VRL-1 transcripts are not restricted to the sensory nervous system, indicating that this channel may be activated by stimuli other than heat. VRL-1 is one of the six members of the vanilloid-like TRP-channel family which is now known as TRPV family. FUNCTION: Calcium-permeable, non-selective cation channel with an outward rectification. Seems to be regulated, at least in part, by growth factors, like IGF1, PDGF and morphogenetic neuropeptide/head activator. May transduce physical stimuli in mast cells. Activated by temperatures higher than 52 degrees Celsius; is not activated by vanilloids and acidic pH. SUBUNIT: Homotetramer (Probable). Interacts with a cAMP-dependent protein kinase type II regulatory subunit (PRKAR2A or PRKAR2B) and ACBD3. Interacts with RGA. SUBCELLULAR LOCATION: Cell membrane; multi-pass membrane protein. Cytoplasm. Translocates from the cytoplasm to the plasma membrane upon ligand stimulation. TISSUE SPECIFICITY: Ubiquitously expressed. Expressed in dorsal root ganglia, trigeminal ganglia, spinal chord (Lissauer's tract, dorsal horn and dorsal columns) (at protein level). PTM: N-glycosylated. PTM: Phosphorylated by PKA. SIMILARITY: Belongs to the transient receptor family. TrpV subfamily. SIMILARITY: Contains 3 ANK repeats.

Long Name

Transient receptor potential cation channel subfamily V member 2

Alternate Names

OTRPC2, TrpV2, VRL, VRL-1

Gene Symbol

TRPV2

Additional VRL1 Products

Product Documents for VRL1 Antibody - BSA Free

Certificate of Analysis

To download a Certificate of Analysis, please enter a lot number in the search box below.

Product Specific Notices for VRL1 Antibody - BSA Free

This product is for research use only and is not approved for use in humans or in clinical diagnosis. Primary Antibodies are guaranteed for 1 year from date of receipt.

Loading...
Loading...
Loading...
Loading...