Skip to main content

VPS33B Antibody - BSA Free

Novus Biologicals, part of Bio-Techne | Catalog # NBP3-45589

Novus Biologicals, part of Bio-Techne
Catalog #
Availability
Size / Price
Qty
Loading...
NBP3-45589

Key Product Details

Species Reactivity

Human, Mouse, Rat, Zebrafish

Applications

ELISA, Immunocytochemistry/ Immunofluorescence, Immunohistochemistry, Western Blot

Label

Unconjugated

Antibody Source

Polyclonal Rabbit IgG

Format

BSA Free

Concentration

Please see the vial label for concentration. If unlisted please contact technical services.

Product Specifications

Immunogen

vacuolar protein sorting 33 homolog B(yeast). (Uniprot# Q9H267)

Clonality

Polyclonal

Host

Rabbit

Isotype

IgG

Theoretical MW

71 kDa.
Disclaimer note: The observed molecular weight of the protein may vary from the listed predicted molecular weight due to post translational modifications, post translation cleavages, relative charges, and other experimental factors.

Description

Novus Biologicals Rabbit VPS33B Antibody - BSA Free (NBP3-45589) is a polyclonal antibody validated for use in IHC, WB, ELISA and ICC/IF. All Novus Biologicals antibodies are covered by our 100% guarantee.

Scientific Data Images for VPS33B Antibody - BSA Free

VPS33B Antibody - BSA Free

Western Blot: VPS33B Antibody - BSA Free [NBP3-45589] -

Western Blot: VPS33B Antibody - BSA Free [NBP3-45589] - Mouse testis tissue were subjected to SDS PAGE followed by western blot with (VPS33B antibody) at dilution of 1:500
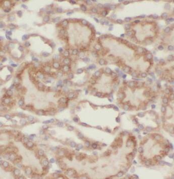
VPS33B Antibody - BSA Free

Immunohistochemistry: VPS33B Antibody - BSA Free [NBP3-45589] -

Immunohistochemistry: VPS33B Antibody - BSA Free [NBP3-45589] - Immunohistochemistry of paraffin-embedded human kidney using (VPS33B antibody) at dilution of 1:100

Applications for VPS33B Antibody - BSA Free

Application
Recommended Usage

Immunocytochemistry/ Immunofluorescence

1:10-1:100

Immunohistochemistry

1:50-1:200

Western Blot

1:500-1:2000

Formulation, Preparation, and Storage

Purification

Immunogen affinity purified

Formulation

PBS, 50% Glycerol, pH (7.3)

Format

BSA Free

Preservative

0.02% Sodium Azide

Concentration

Please see the vial label for concentration. If unlisted please contact technical services.

Shipping

The product is shipped with polar packs. Upon receipt, store it immediately at the temperature recommended below.

Stability & Storage

Store at -20C. Avoid freeze-thaw cycles.

Background: VPS33B

May play a role in vesicle-mediated protein trafficking to lysosomal compartments and in membrane docking/fusion reactions of late endosomes/lysosomes.

Alternate Names

FLJ14848, hVPS33B, vacuolar protein sorting 33 homolog B (yeast), vacuolar protein sorting 33B, vacuolar protein sorting 33B (yeast homolog), vacuolar protein sorting-associated protein 33B

Gene Symbol

VPS33B

Additional VPS33B Products

Product Documents for VPS33B Antibody - BSA Free

Certificate of Analysis

To download a Certificate of Analysis, please enter a lot number in the search box below.

Product Specific Notices for VPS33B Antibody - BSA Free

This product is for research use only and is not approved for use in humans or in clinical diagnosis. Primary Antibodies are guaranteed for 1 year from date of receipt.

Loading...
Loading...
Loading...
Loading...