VPS26A Antibody - BSA Free
Novus Biologicals, part of Bio-Techne | Catalog # NBP2-97752
Conjugate
Catalog #
Key Product Details
Species Reactivity
Human
Applications
Immunohistochemistry, Immunohistochemistry-Paraffin
Label
Unconjugated
Antibody Source
Polyclonal Rabbit IgG
Format
BSA Free
Concentration
Please see the vial label for concentration. If unlisted please contact technical services.
Product Specifications
Immunogen
Produced in rabbits immunized with E. coli-derived Human VPS26A fragment.
Clonality
Polyclonal
Host
Rabbit
Isotype
IgG
Description
This antibody can be stored at 2C to 8C for one month without detectable loss of activity. Antibody products are stable for twelve months from date of receipt when stored at -20C to -80C. Avoid repeated freeze-thaw cycles.
Scientific Data Images for VPS26A Antibody - BSA Free
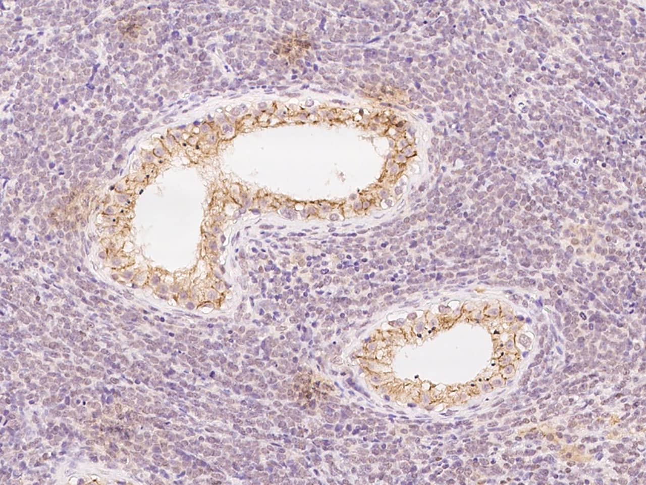
Immunohistochemistry-Paraffin: VPS26A Antibody [NBP2-97752]
Immunohistochemistry-Paraffin: VPS26A Antibody [NBP2-97752] - Immunochemical staining of human VPS26A in human duodenum with rabbit polyclonal antibody at 1:100 dilution, formalin-fixed paraffin embedded sections.Immunohistochemistry-Paraffin: VPS26A Antibody - BSA Free [NBP2-97752] -
Immunohistochemistry-Paraffin: VPS26A Antibody - BSA Free [NBP2-97752] - Immunochemical staining of human VPS26A in human testis with NBP2-97752 at 1:100 dilution, formalin-fixed paraffin embedded sections.Applications for VPS26A Antibody - BSA Free
Application
Recommended Usage
Immunohistochemistry-Paraffin
1:50-1:200
Formulation, Preparation, and Storage
Purification
Antigen and protein A Affinity-purified
Formulation
PBS
Format
BSA Free
Preservative
0.03% Proclin 300
Concentration
Please see the vial label for concentration. If unlisted please contact technical services.
Shipping
The product is shipped with polar packs. Upon receipt, store it immediately at the temperature recommended below.
Stability & Storage
Store at 4C short term. Aliquot and store at -20C long term. Avoid freeze-thaw cycles.
Background: VPS26A
Alternate Names
FLJ12930, HB58, Hbeta58, hVPS26, PEP8A, vacuolar protein sorting 26 (yeast homolog), vacuolar protein sorting 26 homolog A (S. pombe), vacuolar protein sorting 26 homolog A (yeast), vacuolar protein sorting-associated protein 26A, Vesicle protein sorting 26A, VPS26vacuolar protein sorting 26 (yeast)
Gene Symbol
VPS26A
Additional VPS26A Products
Product Specific Notices for VPS26A Antibody - BSA Free
This product is for research use only and is not approved for use in humans or in clinical diagnosis. Primary Antibodies are guaranteed for 1 year from date of receipt.
Loading...
Loading...
Loading...
Loading...