Skip to main content

VPS18 Antibody - BSA Free

Novus Biologicals, part of Bio-Techne | Catalog # NBP1-82906

Novus Biologicals, part of Bio-Techne
Catalog #
Availability
Size / Price
Qty
Loading...
NBP1-82906
NBP1-82906-25ul

Key Product Details

Species Reactivity

Validated:

Human

Predicted:

Mouse (94%), Rat (95%). Backed by our 100% Guarantee.

Applications

Immunohistochemistry, Immunohistochemistry-Paraffin, Western Blot

Label

Unconjugated

Antibody Source

Polyclonal Rabbit IgG

Format

BSA Free

Concentration

Concentrations vary lot to lot. See vial label for concentration. If unlisted please contact technical services.

Product Specifications

Immunogen

This antibody was developed against Recombinant Protein corresponding to amino acids: LYVNRNGQKVRPLARWKGQLVESVGWNKALGTESSTGPILVGTAQGHIFEAELSASEGGLFGPAPDLYFRPLYVLNEEGGPAPVCSLEAERGPDGRSFVIATT

Clonality

Polyclonal

Host

Rabbit

Isotype

IgG

Scientific Data Images for VPS18 Antibody - BSA Free

Western Blot: VPS18 Antibody [NBP1-82906]

Western Blot: VPS18 Antibody [NBP1-82906]

Western Blot: VPS18 Antibody [NBP1-82906] - Analysis in control (vector only transfected HEK293T lysate) and VPS18 over-expression lysate (Co-expressed with a C-terminal myc-DDK tag (3.1 kDa) in mammalian HEK293T cells).
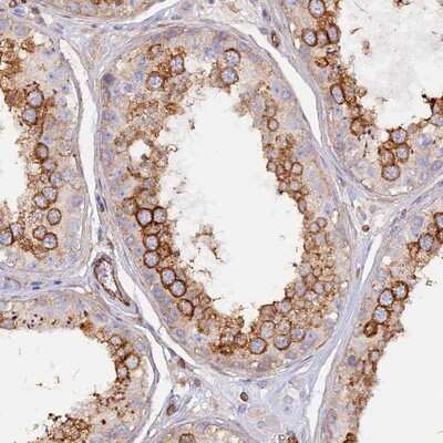
Immunohistochemistry-Paraffin: VPS18 Antibody [NBP1-82906]

Immunohistochemistry-Paraffin: VPS18 Antibody [NBP1-82906]

Immunohistochemistry-Paraffin: VPS18 Antibody [NBP1-82906] - Staining of human testis shows strong cytoplasmic positivity in cells of seminiferus ducts.
VPS18 Antibody

Immunohistochemistry-Paraffin: VPS18 Antibody [NBP1-82906] -

Immunohistochemistry-Paraffin: VPS18 Antibody [NBP1-82906] - Staining of human fallopian tube shows moderate cytoplasmic positivity in glandular cells.

Applications for VPS18 Antibody - BSA Free

Application
Recommended Usage

Immunohistochemistry

1:200 - 1:500

Immunohistochemistry-Paraffin

1:200 - 1:500

Western Blot

0.04-0.4 ug/ml
Application Notes
For IHC-Paraffin, HIER pH 6 retrieval is recommended.

Formulation, Preparation, and Storage

Purification

Affinity purified

Formulation

PBS (pH 7.2) and 40% Glycerol

Format

BSA Free

Preservative

0.02% Sodium Azide

Concentration

Concentrations vary lot to lot. See vial label for concentration. If unlisted please contact technical services.

Shipping

The product is shipped with polar packs. Upon receipt, store it immediately at the temperature recommended below.

Stability & Storage

Store at 4C short term. Aliquot and store at -20C long term. Avoid freeze-thaw cycles.

Background: VPS18

Vesicle mediated protein sorting plays an important role in segregation of intracellular molecules into distinct organelles. Genetic studies in yeast have identified more than 40 vacuolar protein sorting (VPS) genes involved in vesicle transport to vacuoles. This gene encodes the human homolog of yeast class C Vps18 protein. The mammalian class C Vps proteins are predominantly associated with late endosomes/lysosomes, and like their yeast counterparts, may mediate vesicle trafficking steps in the endosome/lysosome pathway.

Alternate Names

hVPS18, KIAA1475PEP3, vacuolar protein sorting 18 homolog (S. cerevisiae), vacuolar protein sorting protein 18, vacuolar protein sorting-associated protein 18 homolog

Gene Symbol

VPS18

Additional VPS18 Products

Product Documents for VPS18 Antibody - BSA Free

Certificate of Analysis

To download a Certificate of Analysis, please enter a lot number in the search box below.

Product Specific Notices for VPS18 Antibody - BSA Free

This product is for research use only and is not approved for use in humans or in clinical diagnosis. Primary Antibodies are guaranteed for 1 year from date of receipt.

Loading...
Loading...
Loading...
Loading...