Skip to main content

VPS11 Antibody (8L3D8)

Novus Biologicals, part of Bio-Techne | Catalog # NBP3-15923

Recombinant Monoclonal Antibody
Novus Biologicals, part of Bio-Techne
Catalog #
Availability
Size / Price
Qty
Loading...
NBP3-15923-100ul
NBP3-15923-20ul

Key Product Details

Species Reactivity

Human, Mouse

Applications

Immunohistochemistry, Immunohistochemistry-Paraffin, Western Blot

Label

Unconjugated

Antibody Source

Recombinant Monoclonal Rabbit IgG Clone # 8L3D8 expressed in HEK293

Concentration

Please see the vial label for concentration. If unlisted please contact technical services.

Product Specifications

Immunogen

A synthetic peptide corresponding to a sequence within amino acids 1-100 of human VPS11 (Q9H270). MAAYLQWRRFVFFDKELVKEPLSNDGAAPGATPASGSAASKFLCLPPGITVCDSGRGSLVFGDMEGQIWFLPRSLQLTGFQAYKLRVTHLYQLKQHNILA

Clonality

Monoclonal

Host

Rabbit

Isotype

IgG

Description

Novus Biologicals Rabbit VPS11 Antibody (8L3D8) (NBP3-15923) is a recombinant monoclonal antibody validated for use in IHC and WB. All Novus Biologicals antibodies are covered by our 100% guarantee.

Scientific Data Images for VPS11 Antibody (8L3D8)

Western Blot: VPS11 Antibody (8L3D8) [NBP3-15923]

Western Blot: VPS11 Antibody (8L3D8) [NBP3-15923]

Western Blot: VPS11 Antibody (8L3D8) [NBP3-15923] - Western blot analysis of extracts of various cell lines, using VPS11 Rabbit mAb (NBP3-15923) at 1:1000 dilution. Secondary antibody: HRP Goat Anti-Rabbit IgG (H+L) at 1:10000 dilution. Lysates/proteins: 25ug per lane. Blocking buffer: 3% nonfat dry milk in TBST. Detection: ECL Basic Kit. Exposure time: 60s.
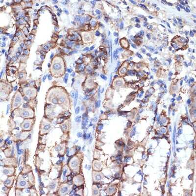
Immunohistochemistry-Paraffin: VPS11 Antibody (8L3D8) [NBP3-15923]

Immunohistochemistry-Paraffin: VPS11 Antibody (8L3D8) [NBP3-15923]

Immunohistochemistry-Paraffin: VPS11 Antibody (8L3D8) [NBP3-15923] - Immunohistochemistry of paraffin-embedded mouse stomach using VPS11 Rabbit mAb (NBP3-15923) at dilution of 1:100 (40x lens).Perform microwave antigen retrieval with 10 mM Tris/EDTA buffer pH 9.0 before commencing with IHC staining protocol.
Western Blot: VPS11 Antibody (8L3D8) [NBP3-15923]

Western Blot: VPS11 Antibody (8L3D8) [NBP3-15923]

Western Blot: VPS11 Antibody (8L3D8) [NBP3-15923] - Western blot analysis of extracts of various cell lines, using VPS11 Rabbit mAb (NBP3-15923) at 1:1000 dilution. Secondary antibody: HRP Goat Anti-Rabbit IgG (H+L) at 1:10000 dilution. Lysates/proteins: 25ug per lane. Blocking buffer: 3% nonfat dry milk in TBST. Detection: ECL Basic Kit. Exposure time: 180s.

Applications for VPS11 Antibody (8L3D8)

Application
Recommended Usage

Immunohistochemistry

1:50 - 1:200

Western Blot

1:500 - 1:1000

Formulation, Preparation, and Storage

Purification

Affinity purified

Formulation

PBS (pH 7.3), 50% glycerol, 0.05% BSA

Preservative

0.02% Sodium Azide

Concentration

Please see the vial label for concentration. If unlisted please contact technical services.

Shipping

The product is shipped with polar packs. Upon receipt, store it immediately at the temperature recommended below.

Stability & Storage

Store at -20C. Avoid freeze-thaw cycles.

Background: VPS11

VPS11 may play a role in vesicle-mediated protein trafficking to lysosomal compartments and in membrane docking/fusion reactions of late endosomes/lysosomes.

Alternate Names

hVPS11, PEP5, RING finger protein 108, RNF108END1, vacuolar protein sorting 11 (yeast homolog), vacuolar protein sorting 11 homolog (S. cerevisiae), vacuolar protein sorting protein 11, vacuolar protein sorting-associated protein 11 homolog

Gene Symbol

VPS11

Additional VPS11 Products

Product Documents for VPS11 Antibody (8L3D8)

Certificate of Analysis

To download a Certificate of Analysis, please enter a lot number in the search box below.

Product Specific Notices for VPS11 Antibody (8L3D8)

This product is for research use only and is not approved for use in humans or in clinical diagnosis. Primary Antibodies are guaranteed for 1 year from date of receipt.

Loading...
Loading...
Loading...
Loading...