Skip to main content

VprBP Antibody - BSA Free

Novus Biologicals, part of Bio-Techne | Catalog # NBP3-45593

Novus Biologicals, part of Bio-Techne
Catalog #
Availability
Size / Price
Qty
Loading...
NBP3-45593

Key Product Details

Species Reactivity

Human, Mouse, Rat

Applications

Immunohistochemistry, Western Blot, ELISA, Immunoprecipitation, Serum

Label

Unconjugated

Antibody Source

Polyclonal Rabbit IgG

Format

BSA Free

Concentration

Please see the vial label for concentration. If unlisted please contact technical services.

Product Specifications

Immunogen

Vpr(HIV-1) binding protein. (Uniprot# Q9Y4B6)

Clonality

Polyclonal

Host

Rabbit

Isotype

IgG

Theoretical MW

169 kDa.
Disclaimer note: The observed molecular weight of the protein may vary from the listed predicted molecular weight due to post translational modifications, post translation cleavages, relative charges, and other experimental factors.

Description

Novus Biologicals Rabbit VprBP Antibody - BSA Free (NBP3-45593) is a polyclonal antibody validated for use in IHC, WB, ELISA and IP. All Novus Biologicals antibodies are covered by our 100% guarantee.

Scientific Data Images for VprBP Antibody - BSA Free

VprBP Antibody - BSA Free

Western Blot: VprBP Antibody - BSA Free [NBP3-45593] -

Western Blot: VprBP Antibody - BSA Free [NBP3-45593] - HeLa cells were subjected to SDS PAGE followed by western blot with (VprBP antibody) at dilution of 1:500
VprBP Antibody - BSA Free

Immunoprecipitation: VprBP Antibody - BSA Free [NBP3-45593] -

Immunoprecipitation: VprBP Antibody - BSA Free [NBP3-45593] - IP Result of anti-VprBP (IP:, 3ug; Detection: 1:1000) with HeLa cells lysate 3800ug.
VprBP Antibody - BSA Free

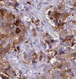
Immunohistochemistry: VprBP Antibody - BSA Free [NBP3-45593] -

Immunohistochemistry: VprBP Antibody - BSA Free [NBP3-45593] - Immunohistochemistry of paraffin-embedded human prostate cancer tissue slide using (VprBP Antibody) at dilution of 1:50

Applications for VprBP Antibody - BSA Free

Application
Recommended Usage

Immunohistochemistry

1:50-1:500

Immunoprecipitation

1:500-1:2000

Serum

FC

Western Blot

1:500-1:2000

Formulation, Preparation, and Storage

Purification

Immunogen affinity purified

Formulation

PBS, 50% Glycerol, pH (7.3)

Format

BSA Free

Preservative

0.02% Sodium Azide

Concentration

Please see the vial label for concentration. If unlisted please contact technical services.

Shipping

The product is shipped with polar packs. Upon receipt, store it immediately at the temperature recommended below.

Stability & Storage

Store at -20C. Avoid freeze-thaw cycles.

Background: VprBP

VprBP (HIV-1 Vpr-binding protein) is also known as DCAF1 (Ddb1- and Cul4-associated factor 1). VprBP was initially identified as a protein that co-immunoprecipitated with the HIV protein, viral protein R; however the physiological relevance of this association remains unclear. It has recently been shown that VprBP plays an essential role in cell cycle progression, and it associates with the DDB1-CUL4 E3 ligase complex. Alternate names for VprBP include Vpr-interacting protein, RIP, and KIAA0800.

Alternate Names

DCAF1DDB1 and CUL4 associated factor 1, DDB1- and CUL4-associated factor 1, HIV-1 Vpr-binding protein, KIAA0800protein VPRBP, MGC102804, RIP, Vpr (HIV-1) binding protein, Vpr-binding protein, VprBP, Vpr-interacting protein

Gene Symbol

DCAF1

Additional VprBP Products

Product Documents for VprBP Antibody - BSA Free

Certificate of Analysis

To download a Certificate of Analysis, please enter a lot number in the search box below.

Product Specific Notices for VprBP Antibody - BSA Free

This product is for research use only and is not approved for use in humans or in clinical diagnosis. Primary Antibodies are guaranteed for 1 year from date of receipt.

Loading...
Loading...
Loading...
Loading...