Skip to main content

VISTA/B7-H5/PD-1H Antibody (BLR035F)

Novus Biologicals, part of Bio-Techne | Catalog # NBP2-76406

Recombinant Monoclonal Antibody.
Novus Biologicals, part of Bio-Techne
Catalog #
Availability
Size / Price
Qty
Loading...
NBP2-76406

Key Product Details

Validated by

Independent Antibodies

Species Reactivity

Human

Applications

Flow Cytometry, Immunocytochemistry/ Immunofluorescence, Immunohistochemistry, Immunohistochemistry-Paraffin, Immunoprecipitation, Multiplex Immunofluorescence, Western Blot

Label

Unconjugated

Antibody Source

Recombinant Monoclonal Rabbit IgG Clone # BLR035F

Concentration

Please see the vial label for concentration. If unlisted please contact technical services.

Product Specifications

Immunogen

Immunogen sequence between amino acids 250 and 311 (C-Term)

Clonality

Monoclonal

Host

Rabbit

Isotype

IgG

Description

Novus Biologicals Rabbit VISTA/B7-H5/PD-1H Antibody (BLR035F) (NBP2-76406) is a recombinant monoclonal antibody validated for use in Multiplex Immunofluorescence, IHC, WB, Flow, ICC/IF and IP. All Novus Biologicals antibodies are covered by our 100% guarantee.

Scientific Data Images for VISTA/B7-H5/PD-1H Antibody (BLR035F)

VISTA/B7-H5/PD-1H Antibody (BLR035F) Detection of VISTA in Human Spleen via seqIF™ staining on COMET™

Detection of VISTA in Human Spleen via seqIF™ staining on COMET™

VISTA was detected in immersion fixed paraffin-embedded sections of human Spleen using Rabbit Anti-Human VISTA Recombinant Monoclonal Antibody (Catalog # NBP2-76406) at 1:250 at 37 ° Celsius for 4 minutes. Before incubation with the primary antibody, tissue underwent an all-in-one dewaxing and antigen retrieval preprocessing using PreTreatment Module (PT Module) and Dewax and HIER Buffer H (pH 9; Epredia Catalog # TA-999-DHBH). Tissue was stained using the Alexa Fluor™ Plus 647 Goat anti-Rabbit IgG Secondary Antibody at 1:200 at 37 ° Celsius for 2 minutes. (Yellow; Lunaphore Catalog # DR647RB) and counterstained with DAPI (blue; Lunaphore Catalog # DR100). Specific staining was localized to the membrane. Protocol available in COMET™ Panel Builder.
Western Blot: VISTA/B7-H5/PD-1H Antibody (BLR035F) [NBP2-76406]

Western Blot: VISTA/B7-H5/PD-1H Antibody (BLR035F) [NBP2-76406]

Western Blot: VISTA/B7-H5/PD-1H Antibody (BLR035F) [NBP2-76406] - Detection of human VISTA by WB of Jurkat, MOLT-4, MJ, RPMI-8226, HeLa, KG-1, HEK293T, and SUP-M2 lysate. Antibody: Rabbit anti-VISTA recombinant monoclonal [BLR035F] (NBP2-76406). Secondary: HRP-conjugated goat anti-rabbit IgG.Lower Panel: Rabbit anti-GAPDH.
Immunocytochemistry/ Immunofluorescence: VISTA/B7-H5/PD-1H Antibody (BLR035F) [NBP2-76406]

Immunocytochemistry/ Immunofluorescence: VISTA/B7-H5/PD-1H Antibody (BLR035F) [NBP2-76406]

Immunocytochemistry/Immunofluorescence: VISTA/B7-H5/PD-1H Antibody (BLR035F) [NBP2-76406] - Detection of human VISTA (red) in FFPE ovarian carcinoma by IHC-IF. Antibody: Rabbit anti-VISTA recombinant monoclonal [BLR035F] NBP2-76406. Secondary: HRP-conjugated goat anti-rabbit IgG. Substrate: Opal™. Counterstain: DAPI (blue).

Applications for VISTA/B7-H5/PD-1H Antibody (BLR035F)

Application
Recommended Usage

Flow Cytometry

Fixed in 4% formaldehyde and permeabilized with 90% methanol. 2 µl

Immunocytochemistry/ Immunofluorescence

1:100 - 1:500

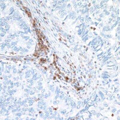
Immunohistochemistry

1:100 - 1:500

Immunohistochemistry-Paraffin

1:100 - 1:500

Immunoprecipitation

20 ul/1mg lysate

Multiplex Immunofluorescence

1:250

Western Blot

1:1000
Application Notes
Epitope retrieval with citrate buffer pH6.0 is recommended for FFPE tissue sections.

Formulation, Preparation, and Storage

Purification

Antigen Affinity-purified

Formulation

Borate Buffered Saline (BBS) pH 8.2 with 0.1% BSA

Preservative

0.09% Sodium Azide

Concentration

Please see the vial label for concentration. If unlisted please contact technical services.

Shipping

The product is shipped with polar packs. Upon receipt, store it immediately at the temperature recommended below.

Stability & Storage

Store at 2 - 8 C / 1 year from date of receipt

Background: VISTA/B7-H5/PD-1H

VISTA is an immunoregulatory receptor which inhibits the T-cell response (PubMed:24691993). It may promote differentiation of embryonic stem cells, by inhibiting BMP4 signaling (By similarity). VISTA may stimulate MMP14-mediated MMP2 activation

Alternate Names

4632428N05Rik, B7-H5, C10orf54, Dies1, Gi24, PD-1H, PD1H, SISP1, VSIR

Gene Symbol

VSIR

Additional VISTA/B7-H5/PD-1H Products

Product Documents for VISTA/B7-H5/PD-1H Antibody (BLR035F)

Certificate of Analysis

To download a Certificate of Analysis, please enter a lot number in the search box below.

Product Specific Notices for VISTA/B7-H5/PD-1H Antibody (BLR035F)

This Product sold under License from Bethyl Laboratories, Inc.

This product is for research use only and is not approved for use in humans or in clinical diagnosis. Primary Antibodies are guaranteed for 1 year from date of receipt.

Loading...
Loading...
Loading...
Loading...
Loading...