Skip to main content

VIPR1/VPAC1 Antibody (PD00-96)

Novus Biologicals, part of Bio-Techne | Catalog # NBP3-33097

Recombinant Monoclonal Antibody
Novus Biologicals, part of Bio-Techne
Catalog #
Availability
Size / Price
Qty
Loading...
NBP3-33097

Key Product Details

Species Reactivity

Human, Mouse, Rat, Monkey

Applications

Immunohistochemistry, Immunohistochemistry-Paraffin, Western Blot

Label

Unconjugated

Antibody Source

Recombinant Monoclonal Rabbit IgG Clone # PD00-96 expressed in HEK293

Concentration

1 mg/ml

Product Specifications

Immunogen

Synthetic peptide within human VIPR1/VPAC1 aa 400-457. (Uniprot: P32241)

Localization

Cell membrane.

Clonality

Monoclonal

Host

Rabbit

Isotype

IgG

Theoretical MW

52 kDa.
Disclaimer note: The observed molecular weight of the protein may vary from the listed predicted molecular weight due to post translational modifications, post translation cleavages, relative charges, and other experimental factors.

Description

Novus Biologicals Rabbit VIPR1/VPAC1 Antibody (PD00-96) (NBP3-33097) is a recombinant monoclonal antibody validated for use in IHC and WB. All Novus Biologicals antibodies are covered by our 100% guarantee.

Scientific Data Images for VIPR1/VPAC1 Antibody (PD00-96)

VIPR1/VPAC1 Antibody (PD00-96)

Western Blot: VIPR1/VPAC1 Antibody (PD00-96) [NBP3-33097]

Western Blot: VIPR1/VPAC1 Antibody (PD00-96) [NBP3-33097] - Western blot analysis of VIPR1/VPAC1 on different lysates with Rabbit anti-VIPR1/VPAC1 antibody (NBP3-33097) at 1/1,000 dilution.

Lane 1: HeLa cell lysate (20 ug/Lane)
Lane 2: Jurkat cell lysate (20 ug/Lane)
Lane 3: Raji cell lysate (20 ug/Lane)
Lane 4: HT-29 cell lysate (20 ug/Lane)
Lane 5: Caco-2 cell lysate (20 ug/Lane)
Lane 6: MCF7 cell lysate (20 ug/Lane)
Lane 7: MDA-MB-231 cell lysate (20 ug/Lane)
Lane 8: PC-12 cell lysate (20 ug/Lane)
Lane 9: LNCaP cell lysate (20 ug/Lane)

Predicted band size: 52 kDa
Observed band size: 55 kDa

Exposure time: 2 minutes;

4-20% SDS-PAGE gel.

Proteins were transferred to a PVDF membrane and blocked with 5% NFDM/TBST for 1 hour at room temperature. The primary antibody (NBP3-33097) at 1/1,000 dilution was used in 5% NFDM/TBST at 4C overnight. Goat Anti-Rabbit IgG - HRP Secondary Antibody at 1/50,000 dilution was used for 1 hour at room temperature.
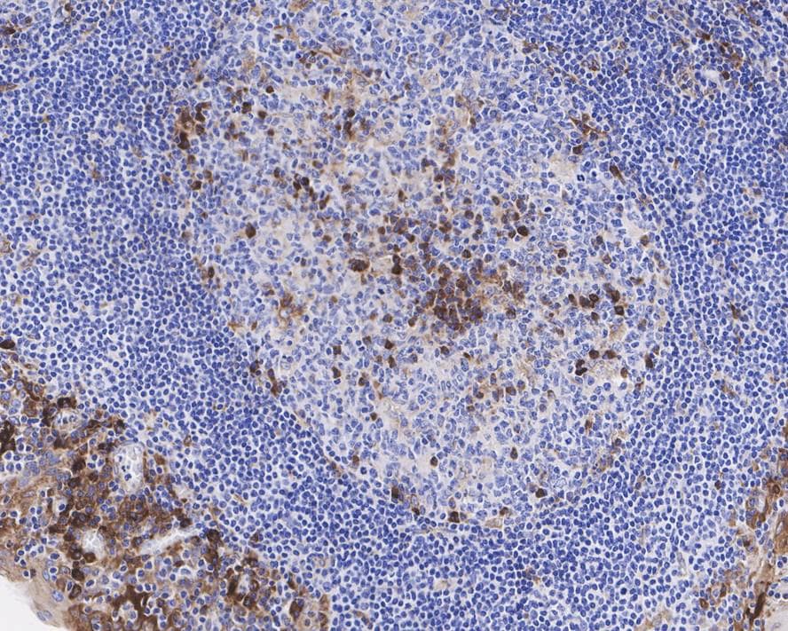
VIPR1/VPAC1 Antibody (PD00-96)

Immunohistochemistry: VIPR1/VPAC1 Antibody (PD00-96) [NBP3-33097]

Immunohistochemistry: VIPR1/VPAC1 Antibody (PD00-96) [NBP3-33097] - Immunohistochemical analysis of paraffin-embedded human tonsil tissue with Rabbit anti-VIPR1/VPAC1 antibody (NBP3-33097) at 1/4,000 dilution.

The section was pre-treated using heat mediated antigen retrieval with Tris-EDTA buffer (pH 9.0) for 20 minutes. The tissues were blocked in 1% BSA for 20 minutes at room temperature, washed with ddH2O and PBS, and then probed with the primary antibody (NBP3-33097) at 1/4,000 dilution for 1 hour at room temperature. The detection was performed using an HRP conjugated compact polymer system. DAB was used as the chromogen. Tissues were counterstained with hematoxylin and mounted with DPX.

Applications for VIPR1/VPAC1 Antibody (PD00-96)

Application
Recommended Usage

Immunohistochemistry-Paraffin

1:500-1:4000

Western Blot

1:1000

Formulation, Preparation, and Storage

Purification

Protein A purified

Formulation

PBS (pH7.4), 0.1% BSA and 40% Glycerol

Preservative

0.05% Sodium Azide

Concentration

1 mg/ml

Shipping

The product is shipped with polar packs. Upon receipt, store it immediately at the temperature recommended below.

Stability & Storage

Store at 4C short term. Aliquot and store at -20C long term. Avoid freeze-thaw cycles.

Background: VIPR1/VPAC1

The Vasoactive Intestinal Polypeptide Receptor 1 (VPAC1) is a member of a family of three G-protein coupled receptors which mediate VIP (vasoactive intestinal peptide; a small neuropeptide) and PACAP (pituitary adenlyate cyclase activating peptide) function in a variety of tissues. Together, the VPAC1 and VPAC2 receptors compose a subtype of the VIP receptor. Expression of the VIP and PACAP receptors has been linked to the presence of human tumors. Vasoactive intestinal peptide is involved in smooth muscle relaxation, exocrine and endocrine secretion, and water and ion flux in lung and intestinal epithelia. Its actions are effected through integral membrane receptors associated with a guanine nucleotide binding protein which activates adenylate cyclase.

Long Name

Vasoactive Intestinal Peptide Receptor 1

Alternate Names

HVR1, PACAP-R2, RDC1, V1RG, VIP R1, VIPR, VPAC1, VPAC1R

Gene Symbol

VIPR1

Additional VIPR1/VPAC1 Products

Product Documents for VIPR1/VPAC1 Antibody (PD00-96)

Certificate of Analysis

To download a Certificate of Analysis, please enter a lot number in the search box below.

Product Specific Notices for VIPR1/VPAC1 Antibody (PD00-96)

This product is for research use only and is not approved for use in humans or in clinical diagnosis. Primary Antibodies are guaranteed for 1 year from date of receipt.

Loading...
Loading...
Loading...
Loading...