Viperin Antibody
Novus Biologicals, part of Bio-Techne | Catalog # NBP2-03971
Key Product Details
Species Reactivity
Validated:
Human, Mouse, Rat, Porcine, Bovine, Canine, Chicken, Chinese Hamster, Equine, Primate, Rabbit
Cited:
Mouse
Applications
Validated:
Immunohistochemistry, Immunohistochemistry-Paraffin, Western Blot
Cited:
Western Blot
Label
Unconjugated
Antibody Source
Polyclonal Rabbit IgG
Concentration
1.0 mg/ml
Product Specifications
Immunogen
A portion of amino acids 165-215 of human viperin was used as the immunogen for this antibody.
Reactivity Notes
The amino acid sequence used as immunogen is 100% homologous in white-cheeked gibbon, chinese hamster, common chimpanzee, new world monkey, panda, african bush elephant and orangutan, 95% in horse, wild turkey, opossum, platypus, 89% in western clawed frog, rabbit, zebra finch, chicken, 79% in carolina anole, and 63% homologous in zebrafish and sablefish.
Clonality
Polyclonal
Host
Rabbit
Isotype
IgG
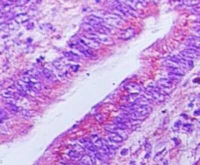
Scientific Data Images for Viperin Antibody
Western Blot: Viperin Antibody [NBP2-03971]
Western Blot: Viperin Antibody [NBP2-03971] - Analysis of viperin using viperin polyclonal antibody. Human brain lysate in the absence (1) and presence (2) of immunizing peptide, mouse brain (3) and rat brain (4) lysate probed with viperin antibody at 3 ug/ml. Goat anti-rabbit Ig HRP secondary antibody and PicoTect ECL substrate solution were used for this test.Immunohistochemistry-Paraffin: Viperin Antibody [NBP2-03971]
Immunohistochemistry-Paraffin: Viperin Antibody [NBP2-03971] - Analysis of viperin using viperin polyclonal antibody. Human rectum tissue probed with viperin antibody at 5 ug/ml.Applications for Viperin Antibody
Application
Recommended Usage
Immunohistochemistry-Paraffin
5ug/ml
Western Blot
3-5 ug/ml
Formulation, Preparation, and Storage
Purification
Protein A purified
Formulation
PBS and 0.05% BSA
Preservative
0.05% Sodium Azide
Concentration
1.0 mg/ml
Shipping
The product is shipped with polar packs. Upon receipt, store it immediately at the temperature recommended below.
Stability & Storage
Store at 4C short term. Aliquot and store at -20C long term. Avoid freeze-thaw cycles.
Background: Viperin
Alternate Names
2510004L01Rik, cig33, cig5, Cytomegalovirus-induced gene 5 protein, interferon-inducible, radical S-adenosyl methionine domain containing 2, radical S-adenosyl methionine domain-containing protein 2, vig1, VIPERIN, Virus inhibitory protein, endoplasmic reticulum-associated
Gene Symbol
RSAD2
UniProt
Additional Viperin Products
Product Documents for Viperin Antibody
Product Specific Notices for Viperin Antibody
This product is for research use only and is not approved for use in humans or in clinical diagnosis. Primary Antibodies are guaranteed for 1 year from date of receipt.
Loading...
Loading...
Loading...
Loading...