Skip to main content

Vimentin Antibody (VIM/1937R)

Novus Biologicals, part of Bio-Techne | Catalog # NBP3-07191

Recombinant Monoclonal Antibody
Novus Biologicals, part of Bio-Techne
Catalog #
Availability
Size / Price
Qty
Loading...
NBP3-07191-20ug
NBP3-07191-100ug

Key Product Details

Species Reactivity

Human, Rat, Porcine, Bovine, Canine, Chicken, Equine, Feline, Mouse (Negative)

Applications

Flow Cytometry, Immunocytochemistry/ Immunofluorescence, Immunohistochemistry, Immunohistochemistry-Paraffin, Western Blot

Label

Unconjugated

Antibody Source

Recombinant Monoclonal Rabbit IgG Clone # VIM/1937R

Concentration

0.2 mg/ml

Product Specifications

Immunogen

Recombinant full-length human Vimentin protein (Uniprot: P08670)

Reactivity Notes

Does not react with Mouse.

Localization

Cytoplasmic

Specificity

This monoclonal antibody reacts with a 58kDa protein identified as Vimentin. It shows no cross-reaction with other closely related intermediate filament proteins (IFP however, when used in panels with other antibodies, it is useful for the sub-classification of a given tumor. Expression of Vimentin, when used in conjunction with anti-keratin, is helpful when distinguishing melanomas from undifferentiated carcinomas and large cell lymphomas. All melanomas and Schwannomas react strongly with anti-Vimentin. It labels a variety of mesenchymal cells, including melanocytes, lymphocytes, endothelial cells, and fibroblasts. Non-reactivity of anti-Vimentin is often considered more useful than its positive reactivity, since there are a few tumors that do not contain Vimentin, e.g. hepatoma and seminoma. Anti-Vimentin is also useful as a tissue process control reagent.

Marker

Mesenchymal Cell Marker

Clonality

Monoclonal

Host

Rabbit

Isotype

IgG

Theoretical MW

53.6 kDa.
Disclaimer note: The observed molecular weight of the protein may vary from the listed predicted molecular weight due to post translational modifications, post translation cleavages, relative charges, and other experimental factors.

Description

200ug/ml of antibody purified from Bioreactor Concentrate by Protein A or G. Prepared in 10 mM PBS with 0.05% BSA & 0.05% azide. Also available WITHOUT BSA & azide at 1.0 mg/ml. (NBP3-08936)

Antibody with azide - store at 2 to 8C. Antibody without azide - store at -20 to -80C.

Scientific Data Images for Vimentin Antibody (VIM/1937R)

Western Blot: Vimentin Antibody (VIM/1937R) [NBP3-07191]

Western Blot: Vimentin Antibody (VIM/1937R) [NBP3-07191]

Western Blot: Vimentin Antibody (VIM/1937R) [NBP3-07191] - Western Blot Analysis of human U-87 cell lysate using Vimentin Rabbit Recombinant Monoclonal Antibody (VIM/1937R).
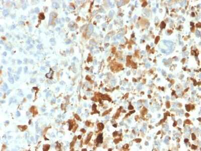
Immunohistochemistry-Paraffin: Vimentin Antibody (VIM/1937R) [NBP3-07191]

Immunohistochemistry-Paraffin: Vimentin Antibody (VIM/1937R) [NBP3-07191]

Immunohistochemistry-Paraffin: Vimentin Antibody (VIM/1937R) [NBP3-07191] - Formalin-fixed, paraffin-embedded human tonsil stained with Vimentin Rabbit Recombinant Monoclonal Antibody (VIM/1937R).
Western Blot: Vimentin Antibody (VIM/1937R) [NBP3-07191]

Western Blot: Vimentin Antibody (VIM/1937R) [NBP3-07191]

Western Blot: Vimentin Antibody (VIM/1937R) [NBP3-07191] - Western Blot Analysis of human A375 cell lysate using Vimentin Rabbit Recombinant Monoclonal Antibody (VIM/1937R).

Applications for Vimentin Antibody (VIM/1937R)

Application
Recommended Usage

Flow Cytometry

1-2 ug/million cells

Immunocytochemistry/ Immunofluorescence

1-2 ug/ml

Immunohistochemistry-Paraffin

1-2 ug/ml

Western Blot

1-2 ug/ml
Application Notes
Immunohistochemistry (Formalin-fixed): 1-2ug/ml for 30 minutes at RT. Staining of formalin-fixed tissues requires heating tissue sections in 10mM Tris with 1mM EDTA, pH 9.0, for 45 min at 95C followed by cooling at RT for 20 minutes.
Optimal dilution for a specific application should be determined.

Formulation, Preparation, and Storage

Purification

Protein A or G purified

Formulation

10 mM PBS with 0.05% BSA

Preservative

0.05% Sodium Azide

Concentration

0.2 mg/ml

Shipping

The product is shipped with polar packs. Upon receipt, store it immediately at the temperature recommended below.

Stability & Storage

Store at 4C.

Background: Vimentin

Vimentin is a type III intermediate filament (IF) protein, encoded by the VIM gene, that plays an essential role in cytoskeletal function and is largely expressed by mesenchymal cell such as endothelial cells, fibroblasts, and immune cells (1). Human vimentin monomer protein is 466 amino acids (aa) in length with a theoretical molecular weight of ~54 kDa (2). Vimentin protein contains a central rod domain composed of four alpha-helices which is flanked by an N-terminal head domain and C-terminal tail domain (1,3). Vimentin monomers dimerize to form more complex structures resulting in the assembly of eight tetramers, referred to as unit-length filaments, which then assemble into full-length intermediate filaments that are 10-12 nm wide (1,3,4).

Activated macrophages have been shown to secrete phosphorylated vimentin which can be stimulated by a variety of pathophysiological factors including oxidized low-density lipoproteins and TNF-alpha or inhibited by IL-10 (1). The vimentin protein is often expressed at the cell surface playing a role in cell-cell interactions, tissue damage and repair, immune response, and pathogen recognition (1). Vimentin functions in many cytoskeletal processes including cell migration, which is highlighted by its upregulation during epithelial-to-mesenchymal transition (EMT) (4,5). Vimentin is a commonly used marker for EMT and is expressed by many tumor types (5). For example, high metastasis of oral squamous cell carcinomas also showed high vimentin positive expression in immunohistochemical staining analysis (5). A number of vimentin targeting compounds are in cancer-related clinical trials, however, given the multifunctional role of vimentin, the effect of inhibition on non-malignant cells needs to be thoroughly examined (5).

References

1. Ramos, I., Stamatakis, K., Oeste, C. L., & Perez-Sala, D. (2020). Vimentin as a Multifaceted Player and Potential Therapeutic Target in Viral Infections. International Journal of Molecular Sciences. https://doi.org/10.3390/ijms21134675

2. Uniprot (P08670)

3. Morrow, C. S., & Moore, D. L. (2020). Vimentin's side gig: Regulating cellular proteostasis in mammalian systems. Cytoskeleton (Hoboken, N.J.). https://doi.org/10.1002/cm.21645

4. van Bodegraven, E. J., & Etienne-Manneville, S. (2020). Intermediate filaments against actomyosin: the david and goliath of cell migration. Current Opinion in Cell Biology. https://doi.org/10.1016/j.ceb.2020.05.006

5. Strouhalova, K., Prechova, M., Gandalovicova, A., Brabek, J., Gregor, M., & Rosel, D. (2020). Vimentin Intermediate Filaments as Potential Target for Cancer Treatment. Cancers. https://doi.org/10.3390/cancers12010184

Alternate Names

VIM

Gene Symbol

VIM

UniProt

Additional Vimentin Products

Product Documents for Vimentin Antibody (VIM/1937R)

Certificate of Analysis

To download a Certificate of Analysis, please enter a lot number in the search box below.

Product Specific Notices for Vimentin Antibody (VIM/1937R)

This product is for research use only and is not approved for use in humans or in clinical diagnosis. Primary Antibodies are guaranteed for 1 year from date of receipt.

Loading...
Loading...
Loading...
Loading...
Loading...