Skip to main content

VGLL4 Antibody - BSA Free

Novus Biologicals, part of Bio-Techne | Catalog # NBP2-38421

Novus Biologicals, part of Bio-Techne
Catalog #
Availability
Size / Price
Qty
Loading...
NBP2-38421-25ul
NBP2-38421

Key Product Details

Validated by

Knockout/Knockdown

Species Reactivity

Validated:

Human

Predicted:

Mouse (97%), Rat (97%). Backed by our 100% Guarantee.

Applications

Immunohistochemistry, Immunohistochemistry-Paraffin, Western Blot, Knockdown Validated

Label

Unconjugated

Antibody Source

Polyclonal Rabbit IgG

Format

BSA Free

Concentration

Concentrations vary lot to lot. See vial label for concentration. If unlisted please contact technical services.

Product Specifications

Immunogen

This antibody was developed against a recombinant protein corresponding to amino acids: EEHFRRSLGKNYKEPEPAPNSVSITGSVDDHFAKALGDTWLQIKAAKDGASSSPESASRRGQPASPSAHMVSHSHS

Clonality

Polyclonal

Host

Rabbit

Isotype

IgG

Description

Novus Biologicals Rabbit VGLL4 Antibody - BSA Free (NBP2-38421) is a polyclonal antibody validated for use in IHC and WB. All Novus Biologicals antibodies are covered by our 100% guarantee.

Scientific Data Images for VGLL4 Antibody - BSA Free

Western Blot: VGLL4 Antibody [NBP2-38421]

Western Blot: VGLL4 Antibody [NBP2-38421]

Western Blot: VGLL4 Antibody [NBP2-38421] - Analysis in U-87MG ATCC cells transfected with control siRNA, target specific siRNA probe #1 and #2,. Remaining relative intensity is presented. Loading control: Anti-PPIB.
Immunohistochemistry-Paraffin: VGLL4 Antibody [NBP2-38421]

Immunohistochemistry-Paraffin: VGLL4 Antibody [NBP2-38421]

Immunohistochemistry-Paraffin: VGLL4 Antibody [NBP2-38421] - Positive staining can be observed in the nuclears of gastric epithelial cells. Image submitted by a verified customer review.
Immunohistochemistry-Paraffin: VGLL4 Antibody [NBP2-38421]

Immunohistochemistry-Paraffin: VGLL4 Antibody [NBP2-38421]

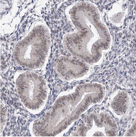
Immunohistochemistry-Paraffin: VGLL4 Antibody [NBP2-38421] - Staining of human prostate shows moderate nuclear positivity in glandular cells.

Applications for VGLL4 Antibody - BSA Free

Application
Recommended Usage

Immunohistochemistry

1:50 - 1:200

Immunohistochemistry-Paraffin

1:50 - 1:200

Western Blot

0.04-0.4 ug/ml
Application Notes
IHC-Paraffin, HIER pH 6 retrieval is recommended.

Reviewed Applications

Read 1 review rated 5 using NBP2-38421 in the following applications:

Formulation, Preparation, and Storage

Purification

Affinity purified

Formulation

PBS (pH 7.2) and 40% Glycerol

Format

BSA Free

Preservative

0.02% Sodium Azide

Concentration

Concentrations vary lot to lot. See vial label for concentration. If unlisted please contact technical services.

Shipping

The product is shipped with polar packs. Upon receipt, store it immediately at the temperature recommended below.

Stability & Storage

Store at 4C short term. Aliquot and store at -20C long term. Avoid freeze-thaw cycles.

Background: VGLL4

VGLL4 may act as a specific coactivator for the mammalian TEFs

Alternate Names

KIAA0121transcription cofactor vestigial-like protein 4, vestigial like 4 (Drosophila), Vestigial-like 4, Vgl-4

Gene Symbol

VGLL4

UniProt

Additional VGLL4 Products

Product Documents for VGLL4 Antibody - BSA Free

Certificate of Analysis

To download a Certificate of Analysis, please enter a lot number in the search box below.

Product Specific Notices for VGLL4 Antibody - BSA Free

This product is for research use only and is not approved for use in humans or in clinical diagnosis. Primary Antibodies are guaranteed for 1 year from date of receipt.

Loading...
Loading...
Loading...
Loading...