Skip to main content

VGLL1 Antibody - BSA Free

Novus Biologicals, part of Bio-Techne | Catalog # NBP2-31921

Novus Biologicals, part of Bio-Techne
Catalog #
Availability
Size / Price
Qty
Loading...
NBP2-31921
NBP2-31921-25ul

Key Product Details

Validated by

Orthogonal Validation

Species Reactivity

Human

Applications

Immunohistochemistry, Immunohistochemistry-Paraffin

Label

Unconjugated

Antibody Source

Polyclonal Rabbit IgG

Format

BSA Free

Concentration

Concentrations vary lot to lot. See vial label for concentration. If unlisted please contact technical services.

Product Specifications

Immunogen

This antibody was developed against a recombinant protein corresponding to amino acids: LSNIKSPQELTPSSQSEGVMLKNDDSMSPNQWRYSSPWTKPQPEVPVTNRAANCNLHVPGPMAVNQFSPSLARRASVRPGELWHFSSLAGTSSLEPGYSHPFPARHLVPEPQPDGKRE

Clonality

Polyclonal

Host

Rabbit

Isotype

IgG

Description

Novus Biologicals Rabbit VGLL1 Antibody - BSA Free (NBP2-31921) is a polyclonal antibody validated for use in IHC. All Novus Biologicals antibodies are covered by our 100% guarantee.

Scientific Data Images for VGLL1 Antibody - BSA Free

Immunohistochemistry-Paraffin: VGLL1 Antibody [NBP2-31921]

Immunohistochemistry-Paraffin: VGLL1 Antibody [NBP2-31921]

Immunohistochemistry-Paraffin: VGLL1 Antibody [NBP2-31921] - Staining in human placenta and skeletal muscle tissues.. Corresponding VGLL1 RNA-seq data are presented for the same tissues.
Immunohistochemistry-Paraffin: VGLL1 Antibody [NBP2-31921]

Immunohistochemistry-Paraffin: VGLL1 Antibody [NBP2-31921]

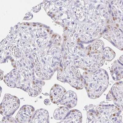
Immunohistochemistry-Paraffin: VGLL1 Antibody [NBP2-31921] - Staining of human placenta shows weak to moderate nuclear positivity in trophoblastic cells.
Immunohistochemistry-Paraffin: VGLL1 Antibody [NBP2-31921]

Immunohistochemistry-Paraffin: VGLL1 Antibody [NBP2-31921]

Immunohistochemistry-Paraffin: VGLL1 Antibody [NBP2-31921] - Staining of human skeletal muscle shows no positivity in myocytes as expected.

Applications for VGLL1 Antibody - BSA Free

Application
Recommended Usage

Immunohistochemistry

1:1000 - 1:2500

Immunohistochemistry-Paraffin

1:1000 - 1:2500
Application Notes
For IHC-Paraffin, HIER pH 6 retrieval is recommended.

Formulation, Preparation, and Storage

Purification

Affinity purified

Formulation

PBS (pH 7.2) and 40% Glycerol

Format

BSA Free

Preservative

0.02% Sodium Azide

Concentration

Concentrations vary lot to lot. See vial label for concentration. If unlisted please contact technical services.

Shipping

The product is shipped with polar packs. Upon receipt, store it immediately at the temperature recommended below.

Stability & Storage

Store at 4C short term. Aliquot and store at -20C long term. Avoid freeze-thaw cycles.

Background: VGLL1

The protein encoded by the VGLL1 gene binds proteins of the TEA domain family of transcription factors (TEFs) through the Vg (vestigial) homology region found in its N-terminus. It may thus function as a specific coactivator for the mammalian TEFs. (provided by RefSeq)

Alternate Names

Protein TONDU, TDUtranscription cofactor vestigial-like protein 1, TONDU, vestigial like 1 (Drosophila), VGL1, vgl-1, WUGSC:H_GS188P18.1b

Gene Symbol

VGLL1

UniProt

Additional VGLL1 Products

Product Documents for VGLL1 Antibody - BSA Free

Certificate of Analysis

To download a Certificate of Analysis, please enter a lot number in the search box below.

Product Specific Notices for VGLL1 Antibody - BSA Free

This product is for research use only and is not approved for use in humans or in clinical diagnosis. Primary Antibodies are guaranteed for 1 year from date of receipt.

Loading...
Loading...
Loading...
Loading...