Skip to main content

VEGFR2/KDR/Flk-1 Antibody - BSA Free

Novus Biologicals, part of Bio-Techne | Catalog # NBP3-05772

Novus Biologicals, part of Bio-Techne

Key Product Details

Species Reactivity

Human, Mouse

Applications

Immunohistochemistry, Immunohistochemistry-Paraffin, Western Blot, Immunocytochemistry/ Immunofluorescence

Label

Unconjugated

Antibody Source

Polyclonal Rabbit

Format

BSA Free

Concentration

1.0 mg/ml

Product Specifications

Immunogen

Partial recombinant protein made to an internal portion of the human VEGFR2 protein (between amino acids 20-900) [UniProt P35968]

Clonality

Polyclonal

Host

Rabbit

Description

Novus Biologicals Rabbit VEGFR2/KDR/Flk-1 Antibody - BSA Free (NBP3-05772) is a polyclonal antibody validated for use in IHC, WB and ICC/IF. All Novus Biologicals antibodies are covered by our 100% guarantee.

Scientific Data Images for VEGFR2/KDR/Flk-1 Antibody - BSA Free

Immunocytochemistry/ Immunofluorescence: VEGFR2/KDR/Flk-1 Antibody - BSA Free [NBP3-05772]

Immunocytochemistry/ Immunofluorescence: VEGFR2/KDR/Flk-1 Antibody - BSA Free [NBP3-05772]

Immunocytochemistry/Immunofluorescence: VEGFR2/KDR/Flk-1 Antibody [NBP3-05772] - HepG2 cells were fixed for 10 minutes using 4% PFA and then permeabilized for 5 minutes using 1X PBS + 0.05% Triton-X100. The cells were incubated with anti-VEGFR2/KDR at 2 ug/ml overnight at 4C and detected with an anti-rabbit Dylight 488 (Green) at a 1:500 dilution. Nuclei were counterstained with DAPI (Blue). Cells were imaged using a 40X objective.
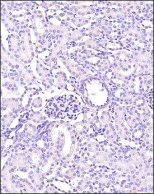
Immunohistochemistry-Paraffin: VEGFR2/KDR/Flk-1 Antibody - BSA Free [NBP3-05772]

Immunohistochemistry-Paraffin: VEGFR2/KDR/Flk-1 Antibody - BSA Free [NBP3-05772]

Immunohistochemistry-Paraffin: VEGFR2/KDR/Flk-1 Antibody [NBP3-05772] - Analysis of a FFPE tissue section of mouse kidney using 1:200 dilution of VEGFR2 antibody. The staining was developed using HRP labeled anti-rabbit secondary antibody and DAB reagent, and nuclei of cells were counter-stained with hematoxylin.

Applications for VEGFR2/KDR/Flk-1 Antibody - BSA Free

Application
Recommended Usage

Immunocytochemistry/ Immunofluorescence

2 ug/ml

Immunohistochemistry

1:50 - 1:100

Immunohistochemistry-Paraffin

1:50 - 1:100

Western Blot

1 - 2 ug/ml

Formulation, Preparation, and Storage

Purification

Immunogen affinity purified

Formulation

PBS

Format

BSA Free

Preservative

0.02% Sodium Azide

Concentration

1.0 mg/ml

Shipping

The product is shipped with polar packs. Upon receipt, store it immediately at the temperature recommended below.

Stability & Storage

Store at 4C short term. Aliquot and store at -20C long term. Avoid freeze-thaw cycles.

Background: VEGFR2/KDR/Flk-1

KDR is a VEGF Receptor type protein kinase. VEGF receptor 2 is a member of a receptor tyrosine kinase family whose activation plays an essential role in a large number of biological processes such as embryonic development, wound healing, cell proliferation, migration and differentiation. Like other growth factor receptors, upon ligand binding VEGF receptor 2 dimerises and is autophosphorylated on multiple tyrosine residues. These sites can be involved in the regulation of kinase activity or serve as binding sites for SH2 and phosphotyrosine binding containing signalling proteins. Phosphorylation of Tyrosines 1054 and 1059 in the activation loop is required for activation of VEGF receptor 2 and its intrinsic tyrosine kinase activity.

Long Name

Vascular Endothelial Growth Factor Receptor 2

Alternate Names

CD309, Flk-1, Flk1, KDR, KRD1, Ly73, VEGF R2

Gene Symbol

KDR

Additional VEGFR2/KDR/Flk-1 Products

Product Documents for VEGFR2/KDR/Flk-1 Antibody - BSA Free

Certificate of Analysis

To download a Certificate of Analysis, please enter a lot number in the search box below.

Product Specific Notices for VEGFR2/KDR/Flk-1 Antibody - BSA Free

This product is for research use only and is not approved for use in humans or in clinical diagnosis. Primary Antibodies are guaranteed for 1 year from date of receipt.

Loading...
Loading...
Loading...
Loading...