Skip to main content

VEGF-B Antibody (OTI1H9) - Azide and BSA Free

Novus Biologicals, part of Bio-Techne | Catalog # NBP2-74844

Novus Biologicals, part of Bio-Techne
Catalog #
Availability
Size / Price
Qty
Loading...
NBP2-74844
Conjugate
Catalog #

Key Product Details

Species Reactivity

Human, Mouse, Rat

Applications

Immunohistochemistry, Immunohistochemistry-Paraffin, Western Blot, Immunocytochemistry/ Immunofluorescence

Label

Unconjugated

Antibody Source

Monoclonal Mouse IgG1 Clone # OTI1H9

Format

Azide and BSA Free

Concentration

LYOPH mg/ml

Product Specifications

Immunogen

Full length human recombinant protein of human VEGFB(NP_003368) produced in HEK293T cell.

Reactivity Notes

Please note that this antibody is reactive to Mouse and derived from the same host, Mouse. Mouse-On-Mouse blocking reagent may be needed for IHC and ICC experiments to reduce high background signal. You can find these reagents under catalog numbers PK-2200-NB and MP-2400-NB. Please contact Technical Support if you have any questions.

Clonality

Monoclonal

Host

Mouse

Isotype

IgG1

Theoretical MW

21.4 kDa.
Disclaimer note: The observed molecular weight of the protein may vary from the listed predicted molecular weight due to post translational modifications, post translation cleavages, relative charges, and other experimental factors.

Scientific Data Images for VEGF-B Antibody (OTI1H9) - Azide and BSA Free

Western Blot: VEGF-B Antibody (OTI1H9)Azide and BSA Free [NBP2-74844]

Western Blot: VEGF-B Antibody (OTI1H9)Azide and BSA Free [NBP2-74844]

Western Blot: VEGF-B Antibody (OTI1H9) - Azide and BSA Free [NBP2-74844] - Analysis of HEK293T cells were transfected with the pCMV6-ENTRY control (Left lane) or pCMV6-ENTRY VEGF-B.
Immunocytochemistry/ Immunofluorescence: VEGF-B Antibody (OTI1H9) - Azide and BSA Free [NBP2-74844]

Immunocytochemistry/ Immunofluorescence: VEGF-B Antibody (OTI1H9) - Azide and BSA Free [NBP2-74844]

Immunocytochemistry/Immunofluorescence: VEGF-B Antibody (OTI1H9) - Azide and BSA Free [NBP2-74844] - Analysis of COS7 cells transiently transfected by pCMV6-ENTRY VEGF-B.
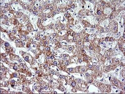
Immunohistochemistry: VEGF-B Antibody (OTI1H9) - Azide and BSA Free [NBP2-74844]

Immunohistochemistry: VEGF-B Antibody (OTI1H9) - Azide and BSA Free [NBP2-74844]

Immunohistochemistry: VEGF-B Antibody (OTI1H9) - Azide and BSA Free [NBP2-74844] - Analysis of Human liver tissue. (Heat-induced epitope retrieval by 1 mM EDTA in 10mM Tris, pH8.5, 120C for 3min)

Applications for VEGF-B Antibody (OTI1H9) - Azide and BSA Free

Application
Recommended Usage

Immunocytochemistry/ Immunofluorescence

1:100

Immunohistochemistry

1:150

Western Blot

1:4000

Formulation, Preparation, and Storage

Purification

Immunogen affinity purified

Reconstitution

we recommend adding 100uL distilled water to a final antibody concentration of about 1 mg/mL. To use this carrier-free antibody for conjugation experiment, we strongly recommend performing another round of desalting process.

Formulation

Lyophilized from PBS (pH 7.3) with 8% Trehalose

Format

Azide and BSA Free

Preservative

No Preservative

Concentration

LYOPH mg/ml

Shipping

The product is shipped with polar packs. Upon receipt, store it immediately at the temperature recommended below.

Stability & Storage

Store at -20C. Avoid freeze-thaw cycles.

Background: VEGF-B

VEGFB 186 is an isoform of VEGFB (Vascular Endothelial Growth Factor B), a member of the vascular endothelial growth factor (VEGF) family. It is a growth factor for endothelial cells. Both isoforms of VEGFB show strong homology to VEGF at their amino termini, wheras the VEGFB167 isoform binds heparin, the C terminus of VEGFB-186 has no heparin binding domain, is less basic and more hydrophobic, and has no similarity to any published sequence. VEGFB 186 is secreted as a disulfide-linked homodimer and that, like VEGFB 167, this isoform can form disulfide-linked heterodimers with VEGF.

Long Name

Vascular Endothelial Growth Factor B

Alternate Names

VEGFB

Gene Symbol

VEGFB

Additional VEGF-B Products

Product Documents for VEGF-B Antibody (OTI1H9) - Azide and BSA Free

Certificate of Analysis

To download a Certificate of Analysis, please enter a lot number in the search box below.

Product Specific Notices for VEGF-B Antibody (OTI1H9) - Azide and BSA Free

This product is for research use only and is not approved for use in humans or in clinical diagnosis. Primary Antibodies are guaranteed for 1 year from date of receipt.

Loading...
Loading...
Loading...
Loading...
Loading...