Skip to main content

VDP p115 Antibody - BSA Free

Novus Biologicals, part of Bio-Techne | Catalog # NBP3-38014

Novus Biologicals, part of Bio-Techne
Catalog #
Availability
Size / Price
Qty
Loading...
NBP3-38014-20ul
NBP3-38014-100ul

Key Product Details

Species Reactivity

Human

Applications

Immunohistochemistry, Immunohistochemistry-Paraffin, Western Blot, ELISA, Immunocytochemistry/ Immunofluorescence

Label

Unconjugated

Antibody Source

Polyclonal Rabbit IgG

Format

BSA Free

Concentration

Please see the vial label for concentration. If unlisted please contact technical services.

Product Specifications

Immunogen

A synthetic peptide corresponding to a sequence within amino acids 1100-1200 of human VDP p115 (O60763).

Clonality

Polyclonal

Host

Rabbit

Isotype

IgG

Theoretical MW

108 kDa.
Disclaimer note: The observed molecular weight of the protein may vary from the listed predicted molecular weight due to post translational modifications, post translation cleavages, relative charges, and other experimental factors.

Description

Novus Biologicals Rabbit VDP p115 Antibody - BSA Free (NBP3-38014) is a polyclonal antibody validated for use in IHC, WB, ELISA and ICC/IF. All Novus Biologicals antibodies are covered by our 100% guarantee.

Scientific Data Images for VDP p115 Antibody - BSA Free

VDP p115 Antibody

Immunocytochemistry/ Immunofluorescence: VDP p115 Antibody [NBP3-38014] -

Immunocytochemistry/ Immunofluorescence: VDP p115 Antibody [NBP3-38014] - Immunofluorescence analysis of HeLa cells using VDP p115 Rabbit pAb. Secondary antibody: Cy3-conjugated Goat anti-Rabbit IgG (H+L) at 1:500 dilution. Blue: DAPI for nuclear staining.
VDP p115 Antibody

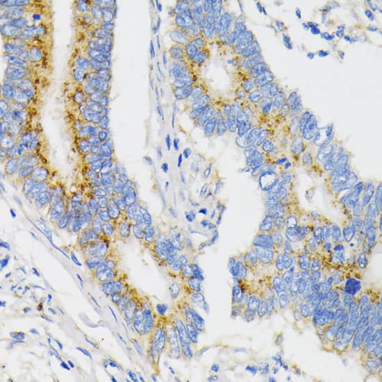
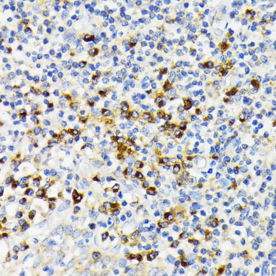
Immunohistochemistry: VDP p115 Antibody [NBP3-38014] -

Immunohistochemistry: VDP p115 Antibody [NBP3-38014] - Immunohistochemistry analysis of paraffin-embedded Human colon carcinoma using VDP p115 Rabbit pAb at dilution of 1:100 (40x lens). Microwave antigen retrieval performed with 0.01M PBS Buffer (pH 7.2) prior to IHC staining.
VDP p115 Antibody

Western Blot: VDP p115 Antibody [NBP3-38014] -

Western Blot: VDP p115 Antibody [NBP3-38014] - Western blot analysis of various lysates using VDP p115 Rabbit pAb at 1:500 dilution.
Secondary antibody: HRP-conjugated Goat anti-Rabbit IgG (H+L) at 1:10000 dilution.
Lysates/proteins: 25ug per lane.
Blocking buffer: 3% nonfat dry milk in TBST.
Detection: ECL Basic Kit.
Exposure time: 90s.

Applications for VDP p115 Antibody - BSA Free

Application
Recommended Usage

Immunocytochemistry/ Immunofluorescence

1:50 - 1:200

Immunohistochemistry-Paraffin

1:50 - 1:200

Western Blot

1:500 - 1:2000

Formulation, Preparation, and Storage

Purification

Affinity purified

Formulation

PBS (pH 7.3), 50% glycerol

Format

BSA Free

Preservative

0.02% Sodium Azide

Concentration

Please see the vial label for concentration. If unlisted please contact technical services.

Shipping

The product is shipped with polar packs. Upon receipt, store it immediately at the temperature recommended below.

Stability & Storage

Store at -20C. Avoid freeze-thaw cycles.

Background: VDP p115

p115 (Vesicle docking protein p115) is a peripheral membrane protein that is located on the Golgi complex. p115 exists as a homodimer with two globular heads, an extended coiled-coil tail, followed by an acidic domain at the extreme C terminus. p115 is homologous to a yeast protein, Uso1p, which is required for ER to Golgi transport. p115 likely plays an important role in vesicle transportation from the ER to the cis-Golgi comparments.

Alternate Names

p115, Transcytosis-associated protein, USO1 homolog, vesicle docking protein (yeast), USO1 vesicle docking protein homolog (yeast), vesicle docking protein, vesicle docking protein p115

Gene Symbol

USO1

Additional VDP p115 Products

Product Documents for VDP p115 Antibody - BSA Free

Certificate of Analysis

To download a Certificate of Analysis, please enter a lot number in the search box below.

Product Specific Notices for VDP p115 Antibody - BSA Free

This product is for research use only and is not approved for use in humans or in clinical diagnosis. Primary Antibodies are guaranteed for 1 year from date of receipt.

Loading...
Loading...
Loading...
Loading...