Skip to main content

VDP p115 Antibody - BSA Free

Novus Biologicals, part of Bio-Techne | Catalog # NBP2-17245

Novus Biologicals, part of Bio-Techne
Catalog #
Availability
Size / Price
Qty
Loading...
NBP2-17245

Key Product Details

Species Reactivity

Human, Mouse

Applications

Immunohistochemistry, Immunohistochemistry-Paraffin, Western Blot

Label

Unconjugated

Antibody Source

Polyclonal Rabbit IgG

Format

BSA Free

Concentration

Concentrations vary lot to lot. See vial label for concentration. If unlisted please contact technical services.

Product Specifications

Immunogen

Recombinant protein encompassing a sequence within the N-terminus region of human VDP p115. The exact sequence is proprietary.

Localization

Cytoplasm; cytosol; Golgi apparatus membrane; Peripheral membrane protein

Clonality

Polyclonal

Host

Rabbit

Isotype

IgG

Theoretical MW

108 kDa.
Disclaimer note: The observed molecular weight of the protein may vary from the listed predicted molecular weight due to post translational modifications, post translation cleavages, relative charges, and other experimental factors.

Description

Novus Biologicals Rabbit VDP p115 Antibody - BSA Free (NBP2-17245) is a polyclonal antibody validated for use in IHC and WB. All Novus Biologicals antibodies are covered by our 100% guarantee.

Scientific Data Images for VDP p115 Antibody - BSA Free

Western Blot: VDP p115 Antibody [NBP2-17245]

Western Blot: VDP p115 Antibody [NBP2-17245]

Western Blot: VDP p115 Antibody [NBP2-17245] - Sample (50 ug of whole cell lysate) A: Mouse Liver, 5% SDS PAGE gel, diluted at 1:1000.
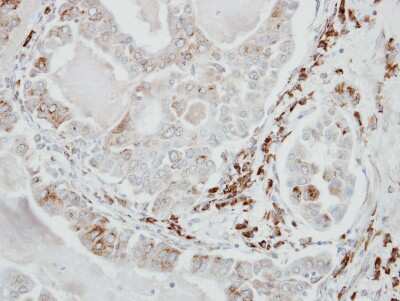
Immunohistochemistry-Paraffin: VDP p115 Antibody [NBP2-17245]

Immunohistochemistry-Paraffin: VDP p115 Antibody [NBP2-17245]

Immunohistochemistry-Paraffin: VDP p115 Antibody [NBP2-17245] - Immunohistochemical analysis of paraffin-embedded lung AdCA, using antibody at 1:500 dilution.
VDP p115 Antibody

Western Blot: VDP p115 Antibody [NBP2-17245] -

Western Blot: VDP p115 Antibody [NBP2-17245] - Various whole cell extracts (30 ug) were separated by 5% SDS-PAGE, and the membrane was blotted with VDP p115 antibody [N1N2], N-term (NBP2-17245) diluted at 1:1000. The HRP-conjugated anti-rabbit IgG antibody was used to detect the primary antibody.

Applications for VDP p115 Antibody - BSA Free

Application
Recommended Usage

Immunohistochemistry

10 - 1:500

Immunohistochemistry-Paraffin

1:100-1:1000

Western Blot

1:500-1:3000

Formulation, Preparation, and Storage

Purification

Antigen Affinity-purified

Formulation

PBS, 20% Glycerol

Format

BSA Free

Preservative

0.025% Proclin 300

Concentration

Concentrations vary lot to lot. See vial label for concentration. If unlisted please contact technical services.

Shipping

The product is shipped with polar packs. Upon receipt, store it immediately at the temperature recommended below.

Stability & Storage

Aliquot and store at -20C or -80C. Avoid freeze-thaw cycles.

Background: VDP p115

The protein encoded by this gene is a peripheral membrane protein which recycles between the cytosol and the Golgi apparatus during interphase. It is regulated by phosphorylation: dephosphorylated protein associates with the Golgi membrane and dissociates from the membrane upon phosphorylation. Ras-associated protein 1 recruits this protein to coat protein complex II (COPII) vesicles during budding from the endoplasmic reticulum, where it interacts with a set of COPII vesicle-associated SNAREs to form a cis-SNARE complex that promotes targeting to the Golgi apparatus. Transport from the ER to the cis/medial Golgi compartments requires the action of this gene product, GM130 and giantin in a sequential manner. [provided by RefSeq]

Alternate Names

p115, Transcytosis-associated protein, USO1 homolog, vesicle docking protein (yeast), USO1 vesicle docking protein homolog (yeast), vesicle docking protein, vesicle docking protein p115

Gene Symbol

USO1

Additional VDP p115 Products

Product Documents for VDP p115 Antibody - BSA Free

Certificate of Analysis

To download a Certificate of Analysis, please enter a lot number in the search box below.

Product Specific Notices for VDP p115 Antibody - BSA Free

This product is for research use only and is not approved for use in humans or in clinical diagnosis. Primary Antibodies are guaranteed for 1 year from date of receipt.

Loading...
Loading...
Loading...
Loading...

⚠ WARNING: This product can expose you to chemicals including mercury, which is known to the State of California to cause reproductive toxicity with developmental effects.  For more information go to www.P65Warnings.ca.gov.