Skip to main content

VDP p115 Antibody (JE64-48)

Novus Biologicals, part of Bio-Techne | Catalog # NBP3-33087

Recombinant Monoclonal Antibody
Novus Biologicals, part of Bio-Techne
Catalog #
Availability
Size / Price
Qty
Loading...
NBP3-33087

Key Product Details

Species Reactivity

Human, Mouse, Rat

Applications

Immunohistochemistry, Immunohistochemistry-Paraffin, Western Blot, Immunocytochemistry/ Immunofluorescence

Label

Unconjugated

Antibody Source

Recombinant Monoclonal Rabbit IgG Clone # JE64-48 expressed in HEK293

Concentration

1 mg/ml

Product Specifications

Immunogen

Synthetic peptide within human VDP p115 aa 1-50/962. (Uniprot: O60763)

Localization

Cytosol, Golgi apparatus membrane.

Clonality

Monoclonal

Host

Rabbit

Isotype

IgG

Theoretical MW

108 kDa.
Disclaimer note: The observed molecular weight of the protein may vary from the listed predicted molecular weight due to post translational modifications, post translation cleavages, relative charges, and other experimental factors.

Description

Novus Biologicals Rabbit VDP p115 Antibody (JE64-48) (NBP3-33087) is a recombinant monoclonal antibody validated for use in IHC, WB and ICC/IF. All Novus Biologicals antibodies are covered by our 100% guarantee.

Scientific Data Images for VDP p115 Antibody (JE64-48)

VDP p115 Antibody (JE64-48)

Western Blot: VDP p115 Antibody (JE64-48) [NBP3-33087]

Western Blot: VDP p115 Antibody (JE64-48) [NBP3-33087] - Western blot analysis of VDP p115 on different lysates with Rabbit anti-VDP p115 antibody (NBP3-33087) at 1/1,000 dilution.

Lane 1: Hela cell lysate
Lane 2: 293T cell lysate
Lane 3: HepG2 cell lysate
Lane 4: A431 cell lysate

Lysates/proteins at 10 ug/Lane.

Predicted band size: 108 kDa
Observed band size: 108 kDa

Exposure time: 1 minute;

6% SDS-PAGE gel.

Proteins were transferred to a PVDF membrane and blocked with 5% NFDM/TBST for 1 hour at room temperature. The primary antibody (NBP3-33087) at 1/1,000 dilution was used in 5% NFDM/TBST at room temperature for 2 hours. Goat Anti-Rabbit IgG - HRP Secondary Antibody at 1:300,000 dilution was used for 1 hour at room temperature.
VDP p115 Antibody (JE64-48)

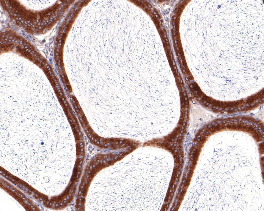
Immunohistochemistry: VDP p115 Antibody (JE64-48) [NBP3-33087]

Immunohistochemistry: VDP p115 Antibody (JE64-48) [NBP3-33087] - Immunohistochemical analysis of paraffin-embedded rat epididymis tissue with Rabbit anti-VDP p115 antibody (NBP3-33087) at 1/100 dilution.

The section was pre-treated using heat mediated antigen retrieval with Tris-EDTA buffer (pH 9.0) for 20 minutes. The tissues were blocked in 1% BSA for 20 minutes at room temperature, washed with ddH2O and PBS, and then probed with the primary antibody (NBP3-33087) at 1/100 dilution for 1 hour at room temperature. The detection was performed using an HRP conjugated compact polymer system. DAB was used as the chromogen. Tissues were counterstained with hematoxylin and mounted with DPX.
VDP p115 Antibody (JE64-48)

Immunocytochemistry/ Immunofluorescence: VDP p115 Antibody (JE64-48) [NBP3-33087]

Immunocytochemistry/ Immunofluorescence: VDP p115 Antibody (JE64-48) [NBP3-33087] - Immunocytochemistry analysis of SH-SY5Y cells labeling VDP p115 with Rabbit anti-VDP p115 antibody (NBP3-33087) at 1/50 dilution.

Cells were fixed in 4% paraformaldehyde for 10 minutes at 37 ℃, permeabilized with 0.05% Triton X-100 in PBS for 20 minutes, and then blocked with 2% negative goat serum for 30 minutes at room temperature. Cells were then incubated with Rabbit anti-VDP p115 antibody (NBP3-33087) at 1/50 dilution in 2% negative goat serum overnight at 4 ℃. Goat Anti-Rabbit IgG H&L (iFluor™ 488) was used as the secondary antibody at 1/1,000 dilution. Nuclear DNA was labelled in blue with DAPI.

Beta tubulin (red) was stained at 1/200 dilution overnight at +4℃. Goat Anti-Mouse IgG H&L (iFluor™ 647) were used as the secondary antibody at 1/1,000 dilution.

Applications for VDP p115 Antibody (JE64-48)

Application
Recommended Usage

Immunocytochemistry/ Immunofluorescence

1:400

Immunohistochemistry-Paraffin

1:100

Western Blot

1:1000

Formulation, Preparation, and Storage

Purification

Protein A purified

Formulation

1*TBS (pH7.4), 0.05% BSA and 40% Glycerol

Preservative

0.05% Sodium Azide

Concentration

1 mg/ml

Shipping

The product is shipped with polar packs. Upon receipt, store it immediately at the temperature recommended below.

Stability & Storage

Store at 4C short term. Aliquot and store at -20C long term. Avoid freeze-thaw cycles.

Background: VDP p115

p115 (Vesicle docking protein p115) is a peripheral membrane protein that is located on the Golgi complex. p115 exists as a homodimer with two globular heads, an extended coiled-coil tail, followed by an acidic domain at the extreme C terminus. p115 is homologous to a yeast protein, Uso1p, which is required for ER to Golgi transport. p115 likely plays an important role in vesicle transportation from the ER to the cis-Golgi comparments.

Alternate Names

p115, Transcytosis-associated protein, USO1 homolog, vesicle docking protein (yeast), USO1 vesicle docking protein homolog (yeast), vesicle docking protein, vesicle docking protein p115

Gene Symbol

USO1

Additional VDP p115 Products

Product Documents for VDP p115 Antibody (JE64-48)

Certificate of Analysis

To download a Certificate of Analysis, please enter a lot number in the search box below.

Product Specific Notices for VDP p115 Antibody (JE64-48)

This product is for research use only and is not approved for use in humans or in clinical diagnosis. Primary Antibodies are guaranteed for 1 year from date of receipt.

Loading...
Loading...
Loading...
Loading...