Skip to main content

VDAC3 Antibody - BSA Free

Novus Biologicals, part of Bio-Techne | Catalog # NBP3-45601

Novus Biologicals, part of Bio-Techne
Catalog #
Availability
Size / Price
Qty
Loading...
NBP3-45601

Key Product Details

Species Reactivity

Human, Mouse, Rat

Applications

Immunohistochemistry, Western Blot, ELISA

Label

Unconjugated

Antibody Source

Polyclonal Rabbit IgG

Format

BSA Free

Concentration

Please see the vial label for concentration. If unlisted please contact technical services.

Product Specifications

Immunogen

voltage-dependent anion channel 3. (Uniprot# Q9Y277)

Clonality

Polyclonal

Host

Rabbit

Isotype

IgG

Description

Novus Biologicals Rabbit VDAC3 Antibody - BSA Free (NBP3-45601) is a polyclonal antibody validated for use in IHC, WB and ELISA. All Novus Biologicals antibodies are covered by our 100% guarantee.

Scientific Data Images for VDAC3 Antibody - BSA Free

VDAC3 Antibody - BSA Free

Western Blot: VDAC3 Antibody - BSA Free [NBP3-45601] -

Western Blot: VDAC3 Antibody - BSA Free [NBP3-45601] - Mouse testis tissue were subjected to SDS PAGE followed by western blot with (VDAC3 antibody) at dilution of 1:300
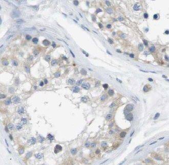
VDAC3 Antibody - BSA Free

Immunohistochemistry: VDAC3 Antibody - BSA Free [NBP3-45601] -

Immunohistochemistry: VDAC3 Antibody - BSA Free [NBP3-45601] - Immunohistochemistry of paraffin-embedded human testis using (VDAC3 antibody) at dilution of 1:50

Applications for VDAC3 Antibody - BSA Free

Application
Recommended Usage

Immunohistochemistry

1:20-1:200

Western Blot

1:200-1:2000
Application Notes
Theoretical Molecular Weight is 23-27 kDa, 45 kDa

Formulation, Preparation, and Storage

Purification

Immunogen affinity purified

Formulation

PBS, 50% Glycerol, pH (7.3)

Format

BSA Free

Preservative

0.02% Sodium Azide

Concentration

Please see the vial label for concentration. If unlisted please contact technical services.

Shipping

The product is shipped with polar packs. Upon receipt, store it immediately at the temperature recommended below.

Stability & Storage

Store at -20C. Avoid freeze-thaw cycles.

Background: VDAC3

The Voltage-Dependant Anion Channel (VDAC3) of the outer mitochondrial membrane, a small abundant protein found in all eukaryotic kingdoms, forms a voltage-gated pore when incorporated into planar lipid bilayers. VDAC is also the site of binding of the metabolic enzymes hexokinase and glycerol kinase to the mitochondrion in what may be a significant metabolic regulatory interaction. VDAC3 is involved specifically in translocation of adenine nucleotides through the outer membrane.

Alternate Names

HD-VDAC3, hVDAC3, Outer mitochondrial membrane protein porin 3, VDAC-3, voltage-dependent anion channel 3, voltage-dependent anion-selective channel protein 3

Gene Symbol

VDAC3

Additional VDAC3 Products

Product Documents for VDAC3 Antibody - BSA Free

Certificate of Analysis

To download a Certificate of Analysis, please enter a lot number in the search box below.

Product Specific Notices for VDAC3 Antibody - BSA Free

This product is for research use only and is not approved for use in humans or in clinical diagnosis. Primary Antibodies are guaranteed for 1 year from date of receipt.

Loading...
Loading...
Loading...
Loading...