Skip to main content

VCIP135/VCPIP1 Antibody - BSA Free

Novus Biologicals, part of Bio-Techne | Catalog # NBP3-45602

Novus Biologicals, part of Bio-Techne
Catalog #
Availability
Size / Price
Qty
Loading...
NBP3-45602

Key Product Details

Species Reactivity

Human, Mouse, Rat

Applications

ELISA, Immunohistochemistry, Western Blot

Label

Unconjugated

Antibody Source

Polyclonal Rabbit IgG

Format

BSA Free

Concentration

Please see the vial label for concentration. If unlisted please contact technical services.

Product Specifications

Immunogen

valosin containing protein(p97)/p47 complex interacting protein 1. (Uniprot# Q96JH7)

Clonality

Polyclonal

Host

Rabbit

Isotype

IgG

Theoretical MW

135 kDa.
Disclaimer note: The observed molecular weight of the protein may vary from the listed predicted molecular weight due to post translational modifications, post translation cleavages, relative charges, and other experimental factors.

Description

Novus Biologicals Rabbit VCIP135/VCPIP1 Antibody - BSA Free (NBP3-45602) is a polyclonal antibody validated for use in IHC, WB and ELISA. All Novus Biologicals antibodies are covered by our 100% guarantee.

Scientific Data Images for VCIP135/VCPIP1 Antibody - BSA Free

VCIP135/VCPIP1 Antibody - BSA Free

Western Blot: VCIP135/VCPIP1 Antibody - BSA Free [NBP3-45602] -

Western Blot: VCIP135/VCPIP1 Antibody - BSA Free [NBP3-45602] - MCF7 cells were subjected to SDS PAGE followed by western blot with (VCIP135/VCPIP1 antibody) at dilution of 1:500
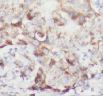
VCIP135/VCPIP1 Antibody - BSA Free

Immunohistochemistry: VCIP135/VCPIP1 Antibody - BSA Free [NBP3-45602] -

Immunohistochemistry: VCIP135/VCPIP1 Antibody - BSA Free [NBP3-45602] - Immunohistochemistry of paraffin-embedded human breast cancer using (VCIP135/VCPIP1 antibody) at dilution of 1:50

Applications for VCIP135/VCPIP1 Antibody - BSA Free

Application
Recommended Usage

Immunohistochemistry

1:20-1:200

Western Blot

1:200-1:2000

Formulation, Preparation, and Storage

Purification

Immunogen affinity purified

Formulation

PBS, 50% Glycerol, pH (7.3)

Format

BSA Free

Preservative

0.02% Sodium Azide

Concentration

Please see the vial label for concentration. If unlisted please contact technical services.

Shipping

The product is shipped with polar packs. Upon receipt, store it immediately at the temperature recommended below.

Stability & Storage

Store at -20C. Avoid freeze-thaw cycles.

Background: VCIP135/VCPIP1

VCPIP1 - valosin containing protein (p97)/p47 complex interacting protein 1

Long Name

Valosin-Containing Protein P97/P47 Complex-Interacting Protein p135

Alternate Names

DUBA3, VCPIP1

Gene Symbol

VCPIP1

Additional VCIP135/VCPIP1 Products

Product Documents for VCIP135/VCPIP1 Antibody - BSA Free

Certificate of Analysis

To download a Certificate of Analysis, please enter a lot number in the search box below.

Product Specific Notices for VCIP135/VCPIP1 Antibody - BSA Free

This product is for research use only and is not approved for use in humans or in clinical diagnosis. Primary Antibodies are guaranteed for 1 year from date of receipt.

Loading...
Loading...
Loading...
Loading...