Skip to main content

VAV2 Antibody - BSA Free

Novus Biologicals, part of Bio-Techne | Catalog # NBP1-86520

Novus Biologicals, part of Bio-Techne
Catalog #
Availability
Size / Price
Qty
Loading...
NBP1-86520
NBP1-86520-25ul

Key Product Details

Species Reactivity

Validated:

Human, Mouse

Cited:

Mouse

Predicted:

Rat (96%). Backed by our 100% Guarantee.

Applications

Validated:

Immunohistochemistry, Immunohistochemistry-Paraffin, Immunocytochemistry/ Immunofluorescence

Cited:

Immunocytochemistry/ Immunofluorescence

Label

Unconjugated

Antibody Source

Polyclonal Rabbit IgG

Format

BSA Free

Concentration

Concentrations vary lot to lot. See vial label for concentration. If unlisted please contact technical services.

Product Specifications

Immunogen

This antibody was developed against Recombinant Protein corresponding to amino acids: PVLTFQTGDVLELLRGDPESPWWEGRLVQTRKSGYFPSSSVKPCPVDGRPPISRPPSREIDYTAYPWFAGNMERQQTDNLLKSHASGTYLIRERPAEAERFAISIKFNDEVKHIKVVEKDNWI

Reactivity Notes

Mouse reactivity reported in scientific literature (PMID: 26147533).

Clonality

Polyclonal

Host

Rabbit

Isotype

IgG

Scientific Data Images for VAV2 Antibody - BSA Free

Immunocytochemistry/ Immunofluorescence: VAV2 Antibody [NBP1-86520]

Immunocytochemistry/ Immunofluorescence: VAV2 Antibody [NBP1-86520]

Immunocytochemistry/Immunofluorescence: VAV2 Antibody [NBP1-86520] - Immunofluorescent staining of human cell line MCF7 shows localization to vesicles. Antibody staining is shown in green.
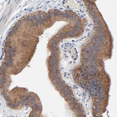
Immunohistochemistry-Paraffin: VAV2 Antibody [NBP1-86520]

Immunohistochemistry-Paraffin: VAV2 Antibody [NBP1-86520]

Immunohistochemistry-Paraffin: VAV2 Antibody [NBP1-86520] - Staining of human gall bladder shows cytoplasmic positivity in glandular cells.

Applications for VAV2 Antibody - BSA Free

Application
Recommended Usage

Immunocytochemistry/ Immunofluorescence

0.25-2 ug/ml

Immunohistochemistry

1:20 - 1:50

Immunohistochemistry-Paraffin

1:20 - 1:50
Application Notes
ICC/IF reported in scientific literature (PMID: 26147533). For IHC-Paraffin, HIER pH 6 retrieval is recommended. Immunocytochemistry/Immunofluorescence Fixation Permeabilization: Use PFA/Triton X-100.

Formulation, Preparation, and Storage

Purification

Affinity purified

Formulation

PBS (pH 7.2) and 40% Glycerol

Format

BSA Free

Preservative

0.02% Sodium Azide

Concentration

Concentrations vary lot to lot. See vial label for concentration. If unlisted please contact technical services.

Shipping

The product is shipped with polar packs. Upon receipt, store it immediately at the temperature recommended below.

Stability & Storage

Store at 4C short term. Aliquot and store at -20C long term. Avoid freeze-thaw cycles.

Background: VAV2

The Vav family are Rho/Rac guanosine nucleotide exchange factors (GEFs), consisting of three members in mammalian cells (Vav, Vav2, Vav3) and one in nematodes (CelVav) (1). Vav and Vav2 are members of the dbl family of guanine nucleotide exchange factors (GEF) for the rho/rac family of GTP binding proteins. Vav is expressed primarily in hematopoietic cells, while vav2 has a wider tissue distribution (2). Vav2 serves as a guanine nucleotide exchange factor for the Rho family of Ras-related GTPases. Unlike Vav1, whose expression is restricted to cells of hematopoietic origin, Vav2 is broadly expressed. Recently, Vav2 has been identified as a substrate for the epidermal growth factor (EGF) receptor. EGF receptor phosphorylates Vav2 on all three possible phosphorylation sites, Tyr-142, Tyr-159, and Tyr-172. results suggest that EGF regulates Vav2 activity basically through phosphatidylinositol 3-kinase activation, whereas tyrosine phosphorylation of Vav2 may rather be necessary for mediating protein-protein interactions (3)

Alternate Names

guanine nucleotide exchange factor VAV2, oncogene VAV2, Protein vav-2, vav 2 guanine nucleotide exchange factor, vav 2 oncogene, VAV-2

Gene Symbol

VAV2

Additional VAV2 Products

Product Documents for VAV2 Antibody - BSA Free

Certificate of Analysis

To download a Certificate of Analysis, please enter a lot number in the search box below.

Product Specific Notices for VAV2 Antibody - BSA Free

This product is for research use only and is not approved for use in humans or in clinical diagnosis. Primary Antibodies are guaranteed for 1 year from date of receipt.

Loading...
Loading...
Loading...
Loading...