Skip to main content

VAV2 Antibody

Novus Biologicals, part of Bio-Techne | Catalog # NB100-895

Novus Biologicals, part of Bio-Techne
Catalog #
Availability
Size / Price
Qty
Loading...
NB100-895

Key Product Details

Species Reactivity

Validated:

Human

Predicted:

Canine (100%), Mouse (100%), Porcine (100%), Rat (100%). Backed by our 100% Guarantee.

Applications

Immunohistochemistry, Immunohistochemistry-Paraffin, Western Blot, Peptide ELISA

Label

Unconjugated

Antibody Source

Polyclonal Goat IgG

Concentration

0.5 mg/ml

Product Specifications

Immunogen

Peptide with sequence ETEAKYYRTLEDIEC corresponding to internal region according to NP_001127870.1, NP_003362.2.

Specificity

This antobody is expected to recognise both reported isoforms (NP_001127870.1 and NP_003362.2).

Clonality

Polyclonal

Host

Goat

Isotype

IgG

Scientific Data Images for VAV2 Antibody

Western Blot: VAV2 Antibody [NB100-895]

Western Blot: VAV2 Antibody [NB100-895]

Western Blot: VAV2 Antibody [NB100-895] - Staining of 293 lysate (RIPA buffer, 30 ug total protein per lane). Primary incubated for 1 hour. Detected by western blot using chemiluminescence.
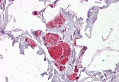
Immunohistochemistry-Paraffin: VAV2 Antibody [NB100-895]

Immunohistochemistry-Paraffin: VAV2 Antibody [NB100-895]

Immunohistochemistry-Paraffin: VAV2 Antibody [NB100-895] - Staining of paraffin embedded Human Colon. Steamed antigen retrieval with citrate buffer pH 6, AP-staining.

Applications for VAV2 Antibody

Application
Recommended Usage

Immunohistochemistry

2.5 ug/ml

Immunohistochemistry-Paraffin

2.5 ug/ml

Peptide ELISA

Detection limit 1:32000

Western Blot

1 - 1.5 ug/ml
Application Notes
WB: Approx. 100 kDa band observed in 293 lysate (predicted MW of 100 kDa band according to NP_003362). IHC: Paraffin embedded Human Colon.

Formulation, Preparation, and Storage

Purification

Immunogen affinity purified

Formulation

Tris saline (20 mM Tris pH 7.3, 150 mM NaCl), 0.5% BSA

Preservative

0.02% Sodium Azide

Concentration

0.5 mg/ml

Shipping

The product is shipped with polar packs. Upon receipt, store it immediately at the temperature recommended below.

Stability & Storage

Store at -20C. Avoid freeze-thaw cycles.

Background: VAV2

VAV2 is a ubiquitously expressed structural homolog of the VAV protooncogene that is expressed preferentially in hematopoetic cells. Both proteins are comprised of a Dbl homology (DH) domain with guanosine nucleotide exchange (GEF) activity exclusively directed towards Rho/Rac GTPases, a pleckstrin homology (PH) domain, a calponin-homology (CH) region, an acidic domain (AD) a zinc finger butterfly motif, two SH3 regions and one SH2 domain. GEF activity of RhoA family G proteins is induced by tyrosine phosphorylation in wild type VAV2, and is constitutively activated in N terminus deleted oncogene forms. Constitutive expression of a VAV2 oncoprotein may result in morphological alterations including highly enlarged cells in which karyokinesis and cytokinesis frequently are uncoupled.

Alternate Names

guanine nucleotide exchange factor VAV2, oncogene VAV2, Protein vav-2, vav 2 guanine nucleotide exchange factor, vav 2 oncogene, VAV-2

Entrez Gene IDs

7410 (Human); 22325 (Mouse)

Gene Symbol

VAV2

Additional VAV2 Products

Product Documents for VAV2 Antibody

Certificate of Analysis

To download a Certificate of Analysis, please enter a lot number in the search box below.

Product Specific Notices for VAV2 Antibody

This product is for research use only and is not approved for use in humans or in clinical diagnosis. Primary Antibodies are guaranteed for 1 year from date of receipt.

Loading...
Loading...
Loading...
Loading...