Skip to main content

VAV2 Antibody (3S0O9)

Novus Biologicals, part of Bio-Techne | Catalog # NBP3-16218

Recombinant Monoclonal Antibody
Novus Biologicals, part of Bio-Techne
Catalog #
Availability
Size / Price
Qty
Loading...
NBP3-16218-100ul
NBP3-16218-20ul

Key Product Details

Species Reactivity

Human, Mouse

Applications

Immunohistochemistry, Immunohistochemistry-Paraffin, Western Blot, ELISA

Label

Unconjugated

Antibody Source

Recombinant Monoclonal Rabbit IgG Clone # 3S0O9 expressed in HEK293

Concentration

Please see the vial label for concentration. If unlisted please contact technical services.

Product Specifications

Immunogen

A synthetic peptide corresponding to a sequence within amino acids 100-200 of human VAV2 (P52735). FDVRDFGKVISAVSRLSLHSIAQNKGIRPFPSEETTENDDDVYRSLEELADEHDLGEDIYDCVPCEDGGDDIYEDIIKVEVQQPMIRYMQKMGMTEDDKRN

Clonality

Monoclonal

Host

Rabbit

Isotype

IgG

Theoretical MW

101 kDa.
Disclaimer note: The observed molecular weight of the protein may vary from the listed predicted molecular weight due to post translational modifications, post translation cleavages, relative charges, and other experimental factors.

Description

Novus Biologicals Rabbit VAV2 Antibody (3S0O9) (NBP3-16218) is a recombinant monoclonal antibody validated for use in IHC, WB and ELISA. All Novus Biologicals antibodies are covered by our 100% guarantee.

Scientific Data Images for VAV2 Antibody (3S0O9)

Western Blot: VAV2 Antibody (3S0O9) [NBP3-16218]

Western Blot: VAV2 Antibody (3S0O9) [NBP3-16218]

Western Blot: VAV2 Antibody (3S0O9) [NBP3-16218] - Western blot analysis of extracts of various cell lines, using VAV2 Rabbit mAb (NBP3-16218) at 1:1000 dilution. Secondary antibody: HRP Goat Anti-Rabbit IgG (H+L) at 1:10000 dilution. Lysates/proteins: 25ug per lane. Blocking buffer: 3% nonfat dry milk in TBST. Detection: ECL Basic Kit. Exposure time: 10s.
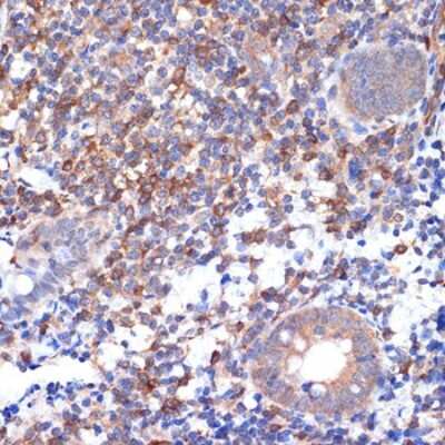
Immunohistochemistry-Paraffin: VAV2 Antibody (3S0O9) [NBP3-16218]

Immunohistochemistry-Paraffin: VAV2 Antibody (3S0O9) [NBP3-16218]

Immunohistochemistry-Paraffin: VAV2 Antibody (3S0O9) [NBP3-16218] - Immunohistochemistry of paraffin-embedded human appendix using VAV2 Rabbit mAb (NBP3-16218) at dilution of 1:100 (40x lens).Perform microwave antigen retrieval with 10 mM Tris/EDTA buffer pH 9.0 before commencing with IHC staining protocol.
Western Blot: VAV2 Antibody (3S0O9) [NBP3-16218]

Western Blot: VAV2 Antibody (3S0O9) [NBP3-16218]

Western Blot: VAV2 Antibody (3S0O9) [NBP3-16218] - Western blot analysis of extracts of various cell lines, using VAV2 Rabbit mAb (NBP3-16218) at 1:1000 dilution. Secondary antibody: HRP Goat Anti-Rabbit IgG (H+L) at 1:10000 dilution. Lysates/proteins: 25ug per lane. Blocking buffer: 3% nonfat dry milk in TBST. Detection: ECL Basic Kit. Exposure time: 90s.

Applications for VAV2 Antibody (3S0O9)

Application
Recommended Usage

Immunohistochemistry

1:50 - 1:200

Western Blot

1:500 - 1:1000

Formulation, Preparation, and Storage

Purification

Affinity purified

Formulation

PBS (pH 7.3), 50% glycerol, 0.05% BSA

Preservative

0.02% Sodium Azide

Concentration

Please see the vial label for concentration. If unlisted please contact technical services.

Shipping

The product is shipped with polar packs. Upon receipt, store it immediately at the temperature recommended below.

Stability & Storage

Store at -20C. Avoid freeze-thaw cycles.

Background: VAV2

The Vav family are Rho/Rac guanosine nucleotide exchange factors (GEFs), consisting of three members in mammalian cells (Vav, Vav2, Vav3) and one in nematodes (CelVav) (1). Vav and Vav2 are members of the dbl family of guanine nucleotide exchange factors (GEF) for the rho/rac family of GTP binding proteins. Vav is expressed primarily in hematopoietic cells, while vav2 has a wider tissue distribution (2). Vav2 serves as a guanine nucleotide exchange factor for the Rho family of Ras-related GTPases. Unlike Vav1, whose expression is restricted to cells of hematopoietic origin, Vav2 is broadly expressed. Recently, Vav2 has been identified as a substrate for the epidermal growth factor (EGF) receptor. EGF receptor phosphorylates Vav2 on all three possible phosphorylation sites, Tyr-142, Tyr-159, and Tyr-172. results suggest that EGF regulates Vav2 activity basically through phosphatidylinositol 3-kinase activation, whereas tyrosine phosphorylation of Vav2 may rather be necessary for mediating protein-protein interactions (3)

Alternate Names

guanine nucleotide exchange factor VAV2, oncogene VAV2, Protein vav-2, vav 2 guanine nucleotide exchange factor, vav 2 oncogene, VAV-2

Gene Symbol

VAV2

Additional VAV2 Products

Product Documents for VAV2 Antibody (3S0O9)

Certificate of Analysis

To download a Certificate of Analysis, please enter a lot number in the search box below.

Product Specific Notices for VAV2 Antibody (3S0O9)

This product is for research use only and is not approved for use in humans or in clinical diagnosis. Primary Antibodies are guaranteed for 1 year from date of receipt.

Loading...
Loading...
Loading...
Loading...