VASA Antibody (2F9H5)
Novus Biologicals, part of Bio-Techne | Catalog # NBP1-51586
Key Product Details
Species Reactivity
Human
Applications
Immunohistochemistry, Immunohistochemistry-Paraffin, Western Blot, ELISA, Flow Cytometry, Immunocytochemistry/ Immunofluorescence
Label
Unconjugated
Antibody Source
Monoclonal Mouse IgG1 Clone # 2F9H5
Concentration
This product is unpurified. The exact concentration of antibody is not quantifiable.
Product Specifications
Immunogen
Purified recombinant fragment of human VASA expressed in E. Coli.
Marker
Primordial Germ Cell Marker
Clonality
Monoclonal
Host
Mouse
Isotype
IgG1
Theoretical MW
76 kDa.
Disclaimer note: The observed molecular weight of the protein may vary from the listed predicted molecular weight due to post translational modifications, post translation cleavages, relative charges, and other experimental factors.
Disclaimer note: The observed molecular weight of the protein may vary from the listed predicted molecular weight due to post translational modifications, post translation cleavages, relative charges, and other experimental factors.
Scientific Data Images for VASA Antibody (2F9H5)
Western Blot: VASA Antibody (2F9H5)BSA Free [NBP1-51586]
Western Blot: VASA Antibody (2F9H5) [NBP1-51586] - Analysis using DDX4 mouse mAb against DDX4-hIgGFc transfected HEK293 cell lysate.Immunocytochemistry/ Immunofluorescence: VASA Antibody (2F9H5) - BSA Free [NBP1-51586]
Immunocytochemistry/Immunofluorescence: VASA Antibody (2F9H5) [NBP1-51586] - Analysis of MSCs(left) and NTERA-2 (right) cells using DDX4 mouse mAb (green). Red: Actin filaments have been labeled with DY-554 phalloidin.Immunohistochemistry-Paraffin: VASA Antibody (2F9H5) - BSA Free [NBP1-51586]
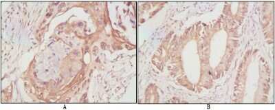
Immunohistochemistry-Paraffin: VASA Antibody (2F9H5) [NBP1-51586] - Analysis of human lung cancer (A) and rectal cancer (B), showing cytoplasmic localization using DDX4 mouse mAb with DAB staining.Applications for VASA Antibody (2F9H5)
Application
Recommended Usage
ELISA
1:10000
Flow Cytometry
1:200 - 1:400
Immunocytochemistry/ Immunofluorescence
1:200 - 1:1000
Immunohistochemistry
1:10 - 1:500
Immunohistochemistry-Paraffin
1:200 - 1:1000
Western Blot
1:500 - 1:2000
Formulation, Preparation, and Storage
Purification
Ascites
Formulation
Ascites
Preservative
0.03% Sodium Azide
Concentration
This product is unpurified. The exact concentration of antibody is not quantifiable.
Shipping
The product is shipped with polar packs. Upon receipt, store it immediately at the temperature recommended below.
Stability & Storage
Store at 4C short term. Aliquot and store at -20C long term. Avoid freeze-thaw cycles.
Background: VASA
Long Name
DEAD [Asp-Glu-Ala-Asp] Box Polypeptide 41
Alternate Names
DDX4
Entrez Gene IDs
54514 (Human)
Gene Symbol
DDX4
UniProt
Additional VASA Products
Product Documents for VASA Antibody (2F9H5)
Product Specific Notices for VASA Antibody (2F9H5)
This product is for research use only and is not approved for use in humans or in clinical diagnosis. Primary Antibodies are guaranteed for 1 year from date of receipt.
Loading...
Loading...
Loading...
Loading...
Loading...
Loading...