Skip to main content

VARS2 Antibody - BSA Free

Novus Biologicals, part of Bio-Techne | Catalog # NBP3-45604

Novus Biologicals, part of Bio-Techne
Catalog #
Availability
Size / Price
Qty
Loading...
NBP3-45604

Key Product Details

Species Reactivity

Human, Mouse, Rat

Applications

Immunohistochemistry, Western Blot, ELISA, Immunocytochemistry/ Immunofluorescence, Immunoprecipitation

Label

Unconjugated

Antibody Source

Polyclonal Rabbit IgG

Format

BSA Free

Concentration

Please see the vial label for concentration. If unlisted please contact technical services.

Product Specifications

Immunogen

valyl-tRNA synthetase 2, mitochondrial(putative). (Uniprot# Q5ST30)

Clonality

Polyclonal

Host

Rabbit

Isotype

IgG

Theoretical MW

118 kDa.
Disclaimer note: The observed molecular weight of the protein may vary from the listed predicted molecular weight due to post translational modifications, post translation cleavages, relative charges, and other experimental factors.

Description

Novus Biologicals Rabbit VARS2 Antibody - BSA Free (NBP3-45604) is a polyclonal antibody validated for use in IHC, WB, ELISA, ICC/IF and IP. All Novus Biologicals antibodies are covered by our 100% guarantee.

Scientific Data Images for VARS2 Antibody - BSA Free

VARS2 Antibody - BSA Free

Western Blot: VARS2 Antibody - BSA Free [NBP3-45604] -

Western Blot: VARS2 Antibody - BSA Free [NBP3-45604] - HeLa cells were subjected to SDS PAGE followed by western blot with (VARS2 antibody) at dilution of 1:500
VARS2 Antibody - BSA Free

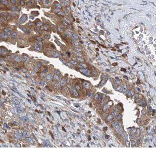
Immunohistochemistry: VARS2 Antibody - BSA Free [NBP3-45604] -

Immunohistochemistry: VARS2 Antibody - BSA Free [NBP3-45604] - Immunohistochemistry of paraffin-embedded human ovary tumor using (VARS2 antibody) at dilution of 1:100

Applications for VARS2 Antibody - BSA Free

Application
Recommended Usage

Immunocytochemistry/ Immunofluorescence

1:50-1:500

Immunohistochemistry

1:20-1:200

Immunoprecipitation

1:200-1:2000

Western Blot

1:500-1:5000

Formulation, Preparation, and Storage

Purification

Immunogen affinity purified

Formulation

PBS, 50% Glycerol, pH (7.3)

Format

BSA Free

Preservative

0.02% Sodium Azide

Concentration

Please see the vial label for concentration. If unlisted please contact technical services.

Shipping

The product is shipped with polar packs. Upon receipt, store it immediately at the temperature recommended below.

Stability & Storage

Store at -20C. Avoid freeze-thaw cycles.

Background: VARS2

Alternate Names

DKFZP434L1435, EC 6.1.1, EC 6.1.1.9, Em:AB023048.4, KIAA1885MGC138259, MGC142165, valine tRNA ligase 2, mitochondrial (putative), Valine--tRNA ligase, valRS, valyl-tRNA synthetase 2, mitochondrial (putative), valyl-tRNA synthetase 2-like, valyl-tRNA synthetase like, valyl-tRNA synthetase, mitochondrial, Valyl-tRNA synthetase-like, VARS2L, VARSL

Gene Symbol

VARS2

Additional VARS2 Products

Product Documents for VARS2 Antibody - BSA Free

Certificate of Analysis

To download a Certificate of Analysis, please enter a lot number in the search box below.

Product Specific Notices for VARS2 Antibody - BSA Free

This product is for research use only and is not approved for use in humans or in clinical diagnosis. Primary Antibodies are guaranteed for 1 year from date of receipt.

Loading...
Loading...
Loading...
Loading...