VARS Antibody - BSA Free
Novus Biologicals, part of Bio-Techne | Catalog # NBP3-38079
Key Product Details
Species Reactivity
Human, Mouse, Rat
Applications
ELISA, Immunocytochemistry/ Immunofluorescence, Immunohistochemistry, Immunohistochemistry-Paraffin, Western Blot
Label
Unconjugated
Antibody Source
Polyclonal Rabbit IgG
Format
BSA Free
Concentration
Please see the vial label for concentration. If unlisted please contact technical services.
Product Specifications
Immunogen
Recombinant fusion protein containing a sequence corresponding to amino acids 1-280 of human VARS (NP_006286.1).
Sequence:
MSTLYVSPHPDAFPSLRALIAARYGEAGEGPGWGGAHPRICLQPPPTSRTPFPPPRLPALEQGPGGLWVWGATAVAQLLWPAGLGGPGGSRAAVLVQQWVSYADTELIPAACGATLPALGLRSSAQDPQAVLGALGRALSPLEEWLRLHTYLAGEAPTLADLAAVTALLLPFRYVLDPPARRIWNNVTRWFVTCVRQPEFRAVLGEVVLYSGARPLSHQPGPEAPALPKTAAQLKKEAKKREKLEKFQQKQKIQQQQPPPGEKKPKPEKREKRDPGVITY
Sequence:
MSTLYVSPHPDAFPSLRALIAARYGEAGEGPGWGGAHPRICLQPPPTSRTPFPPPRLPALEQGPGGLWVWGATAVAQLLWPAGLGGPGGSRAAVLVQQWVSYADTELIPAACGATLPALGLRSSAQDPQAVLGALGRALSPLEEWLRLHTYLAGEAPTLADLAAVTALLLPFRYVLDPPARRIWNNVTRWFVTCVRQPEFRAVLGEVVLYSGARPLSHQPGPEAPALPKTAAQLKKEAKKREKLEKFQQKQKIQQQQPPPGEKKPKPEKREKRDPGVITY
Clonality
Polyclonal
Host
Rabbit
Isotype
IgG
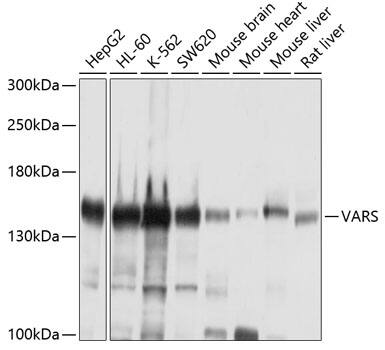
Theoretical MW
140 kDa.
Disclaimer note: The observed molecular weight of the protein may vary from the listed predicted molecular weight due to post translational modifications, post translation cleavages, relative charges, and other experimental factors.
Disclaimer note: The observed molecular weight of the protein may vary from the listed predicted molecular weight due to post translational modifications, post translation cleavages, relative charges, and other experimental factors.
Description
Novus Biologicals Rabbit VARS Antibody - BSA Free (NBP3-38079) is a polyclonal antibody validated for use in IHC, WB, ELISA and ICC/IF. All Novus Biologicals antibodies are covered by our 100% guarantee.
Scientific Data Images for VARS Antibody - BSA Free
Immunohistochemistry: VARS Antibody [NBP3-38079] -
Immunohistochemistry: VARS Antibody [NBP3-38079] - Immunohistochemistry analysis of paraffin-embedded Mouse brain using VARS Rabbit pAb at dilution of 1:100 (40x lens). Microwave antigen retrieval performed with 0.01M PBS Buffer (pH 7.2) prior to IHC staining.Immunohistochemistry: VARS Antibody [NBP3-38079] -
Immunohistochemistry: VARS Antibody [NBP3-38079] - Immunohistochemistry analysis of paraffin-embedded Rat brain using VARS Rabbit pAb at dilution of 1:100 (40x lens). Microwave antigen retrieval performed with 0.01M PBS Buffer (pH 7.2) prior to IHC staining.Immunocytochemistry/ Immunofluorescence: VARS Antibody [NBP3-38079] -
Immunocytochemistry/ Immunofluorescence: VARS Antibody [NBP3-38079] - Immunofluorescence analysis of L929 cells using VARS Rabbit pAb at dilution of 1:100 (40x lens). Secondary antibody: Cy3-conjugated Goat anti-Rabbit IgG (H+L) at 1:500 dilution. Blue: DAPI for nuclear staining.Applications for VARS Antibody - BSA Free
Application
Recommended Usage
Immunocytochemistry/ Immunofluorescence
1:50 - 1:100
Immunohistochemistry-Paraffin
1:50 - 1:100
Western Blot
1:500 - 1:2000
Formulation, Preparation, and Storage
Purification
Affinity purified
Formulation
PBS (pH 7.3), 50% glycerol
Format
BSA Free
Preservative
0.02% Sodium Azide
Concentration
Please see the vial label for concentration. If unlisted please contact technical services.
Shipping
The product is shipped with polar packs. Upon receipt, store it immediately at the temperature recommended below.
Stability & Storage
Store at -20C. Avoid freeze-thaw cycles.
Background: VARS
Alternate Names
EC 6.1.1, EC 6.1.1.9, G7AVARS1, Protein G7a, valine tRNA ligase 1, cytoplasmic, Valine--tRNA ligase, ValRS, valyl-tRNA synthetase, valyl-tRNA synthetase 2, VARS2valRS
Gene Symbol
VARS1
Additional VARS Products
Product Documents for VARS Antibody - BSA Free
Product Specific Notices for VARS Antibody - BSA Free
This product is for research use only and is not approved for use in humans or in clinical diagnosis. Primary Antibodies are guaranteed for 1 year from date of receipt.
Loading...
Loading...
Loading...
Loading...