Skip to main content

VARS Antibody - BSA Free

Novus Biologicals, part of Bio-Techne | Catalog # NBP2-20843

Novus Biologicals, part of Bio-Techne
Catalog #
Availability
Size / Price
Qty
Loading...
NBP2-20843

Key Product Details

Species Reactivity

Human

Applications

Immunohistochemistry, Immunohistochemistry-Paraffin, Western Blot, Immunocytochemistry/ Immunofluorescence

Label

Unconjugated

Antibody Source

Polyclonal Rabbit IgG

Format

BSA Free

Concentration

Concentrations vary lot to lot. See vial label for concentration. If unlisted please contact technical services.

Product Specifications

Immunogen

Recombinant protein encompassing a sequence within the N-terminus region of human VARS. The exact sequence is proprietary.

Reactivity Notes

Immunogen displays the following percentage of sequence identity for non-tested species: Mouse (84%), Rat (86%).

Clonality

Polyclonal

Host

Rabbit

Isotype

IgG

Theoretical MW

140 kDa.
Disclaimer note: The observed molecular weight of the protein may vary from the listed predicted molecular weight due to post translational modifications, post translation cleavages, relative charges, and other experimental factors.

Description

Novus Biologicals Rabbit VARS Antibody - BSA Free (NBP2-20843) is a polyclonal antibody validated for use in IHC, WB and ICC/IF. Anti-VARS Antibody: Cited in 1 publication. All Novus Biologicals antibodies are covered by our 100% guarantee.

Scientific Data Images for VARS Antibody - BSA Free

Western Blot: VARS Antibody [NBP2-20843]

Western Blot: VARS Antibody [NBP2-20843]

Western Blot: VARS Antibody [NBP2-20843] - Sample (30 ug of whole cell lysate) A: Hep G2 B: HCT116 5% SDS PAGE gel, diluted at 1:10000.
VARS Antibody

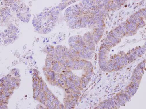
Immunohistochemistry: VARS Antibody [NBP2-20843] -

Immunohistochemistry: VARS Antibody [NBP2-20843] - VARS antibody [N1N2], N-term detects VARS protein at cytoplasm on human colon carcinoma by immunohistochemical analysis.
Sample: Paraffin-embedded colon carcinoma.
VARS antibody [N1N2], N-term (NBP2-20843) dilution: 1:500.

Antigen Retrieval: Trilogy™ (EDTA based, pH 8.0) buffer, 15min

Applications for VARS Antibody - BSA Free

Application
Recommended Usage

Immunocytochemistry/ Immunofluorescence

1:100-1:1000

Immunohistochemistry

1:100-1:1000

Immunohistochemistry-Paraffin

1:100-1:1000

Western Blot

1:5000-1:20000

Formulation, Preparation, and Storage

Purification

Antigen Affinity-purified

Formulation

0.1M Tris, 0.1M Glycine, 20% Glycerol

Format

BSA Free

Preservative

0.01% Thimerosal

Concentration

Concentrations vary lot to lot. See vial label for concentration. If unlisted please contact technical services.

Shipping

The product is shipped with polar packs. Upon receipt, store it immediately at the temperature recommended below.

Stability & Storage

Aliquot and store at -20C or -80C. Avoid freeze-thaw cycles.

Background: VARS

Aminoacyl-tRNA synthetases catalyze the aminoacylation of tRNA by their cognate amino acid. Because of their central role in linking amino acids with nucleotide triplets contained in tRNAs, aminoacyl-tRNA synthetases are thought to be among the first proteins that appeared in evolution. The protein encoded by this gene belongs to class-I aminoacyl-tRNA synthetase family and is located in the class III region of the major histocompatibility complex. [provided by RefSeq]

Alternate Names

EC 6.1.1, EC 6.1.1.9, G7AVARS1, Protein G7a, valine tRNA ligase 1, cytoplasmic, Valine--tRNA ligase, ValRS, valyl-tRNA synthetase, valyl-tRNA synthetase 2, VARS2valRS

Gene Symbol

VARS1

UniProt

Additional VARS Products

Product Documents for VARS Antibody - BSA Free

Certificate of Analysis

To download a Certificate of Analysis, please enter a lot number in the search box below.

Product Specific Notices for VARS Antibody - BSA Free

This product is for research use only and is not approved for use in humans or in clinical diagnosis. Primary Antibodies are guaranteed for 1 year from date of receipt.

Loading...
Loading...
Loading...
Loading...

⚠ WARNING: This product can expose you to chemicals including mercury, which is known to the State of California to cause reproductive toxicity with developmental effects.  For more information go to www.P65Warnings.ca.gov.