Skip to main content

USP7 Antibody

Novus Biologicals, part of Bio-Techne | Catalog # NBP2-24641

Novus Biologicals, part of Bio-Techne
Catalog #
Availability
Size / Price
Qty
Loading...
NBP2-24641
NBP2-24641SS

Key Product Details

Species Reactivity

Validated:

Human, Mouse, Rat, Canine, Chicken, Equine, Primate

Predicted:

Monkey (94%). Backed by our 100% Guarantee.

Applications

Immunohistochemistry, Immunohistochemistry-Paraffin, Western Blot

Label

Unconjugated

Antibody Source

Polyclonal Rabbit IgG

Concentration

0.5 mg/ml

Product Specifications

Immunogen

A portion of amino acids 30-80 of human USP7 protein was used as the immunogen.

Clonality

Polyclonal

Host

Rabbit

Isotype

IgG

Description

Novus Biologicals Rabbit USP7 Antibody (NBP2-24641) is a polyclonal antibody validated for use in IHC and WB. All Novus Biologicals antibodies are covered by our 100% guarantee.

Scientific Data Images for USP7 Antibody

Western Blot: USP7 Antibody [NBP2-24641]

Western Blot: USP7 Antibody [NBP2-24641]

Western Blot: USP7 Antibody [NBP2-24641] - analysis of USP7 in MCF7 cell lysate in the 1) absence and 2) presence of immunizing peptide using this antibody. 0 ug/ml. I goat anti-rabbit Ig HRP secondary antibody and PicoTect ECL substrate solution were used for this test.
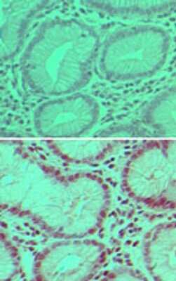
Immunohistochemistry-Paraffin: USP7 Antibody [NBP2-24641]

Immunohistochemistry-Paraffin: USP7 Antibody [NBP2-24641]

Immunohistochemistry-Paraffin: USP7 Antibody [NBP2-24641] - analysis of USP7 in formalin-fixed, paraffin-embedded human stomach tissue using an isotype control (top) and this antibody (bottom) at 5 ug/ml.

Applications for USP7 Antibody

Application
Recommended Usage

Immunohistochemistry-Paraffin

5 ug/ml

Western Blot

1.0-2.0 ug/ml

Formulation, Preparation, and Storage

Purification

Protein A purified

Formulation

PBS and 0.05% BSA

Preservative

0.05% Sodium Azide

Concentration

0.5 mg/ml

Shipping

The product is shipped with polar packs. Upon receipt, store it immediately at the temperature recommended below.

Stability & Storage

Store at 4C short term. Aliquot and store at -20C long term. Avoid freeze-thaw cycles.

Background: USP7

HAUSP (also known as deubiquitinating enzyme 7, herpes virus associated ubiquitin specific protease, TEF1, ubiquitin carboxyl terminal hydrolase 7, ubiquitin specific protease 7, ubiquitin thiolesterase 7, and USP7) is a novel p53 interacting protein. HAUSP was identified by mass spectrometry of affinity-purified p53 associated factors by Li et al. HAUSP strongly stabilizes p53 even in the presence of excess MDM2, and also induces p53-dependent cell growth repression and apoptosis. HAUSP has an intrinsic enzymatic activity that specifically de-ubiquitinates p53 both in vivo and in vitro. Expression of a catalytically inactive point mutation of HAUSP in cells increased the levels of p53 ubiquitination and also destabilized p53. Li et al concluded that their findings revealed an important mechanism by which p53 can be stabilized by direct de-ubiquitination and also implied that HAUSP may function as a tumor suppressor in vivo through the stabilization of p53.

Long Name

Ubiquitin Specific Protease 7

Alternate Names

HAUSP, TEF1

Gene Symbol

USP7

Additional USP7 Products

Product Documents for USP7 Antibody

Certificate of Analysis

To download a Certificate of Analysis, please enter a lot number in the search box below.

Product Specific Notices for USP7 Antibody

This product is for research use only and is not approved for use in humans or in clinical diagnosis. Primary Antibodies are guaranteed for 1 year from date of receipt.

Loading...
Loading...
Loading...
Loading...