Skip to main content

USP7 Antibody - BSA Free

Novus Biologicals, part of Bio-Techne | Catalog # NB100-513

Novus Biologicals, part of Bio-Techne

Key Product Details

Species Reactivity

Validated:

Human, Mouse

Cited:

Human, Mouse

Predicted:

Rat (100%). Backed by our 100% Guarantee.

Applications

Validated:

Immunohistochemistry, Immunohistochemistry-Paraffin, Western Blot, Immunocytochemistry/ Immunofluorescence, Immunoprecipitation

Cited:

Immunohistochemistry, Western Blot, Immunoprecipitation, IF/IHC

Label

Unconjugated

Antibody Source

Polyclonal Rabbit IgG

Format

BSA Free

Concentration

1.0 mg/ml

Product Specifications

Immunogen

The immunogen recognized by this antibody maps to a region between residues 1 and 50 of human Ubiquitin Specific Peptidase 7 using the numbering given in entry NP_003461.1 (GeneID 7874).

Clonality

Polyclonal

Host

Rabbit

Isotype

IgG

Theoretical MW

128 kDa.
Disclaimer note: The observed molecular weight of the protein may vary from the listed predicted molecular weight due to post translational modifications, post translation cleavages, relative charges, and other experimental factors.

Description

Novus Biologicals Rabbit USP7 Antibody - BSA Free (NB100-513) is a polyclonal antibody validated for use in IHC, WB, ICC/IF and IP. Anti-USP7 Antibody: Cited in 28 publications. All Novus Biologicals antibodies are covered by our 100% guarantee.

Scientific Data Images for USP7 Antibody - BSA Free

Western Blot: USP7 Antibody [NB100-513]

Western Blot: USP7 Antibody [NB100-513]

Western Blot: USP7 Antibody [NB100-513] - Samples: Wholecell lysate (10 ug) from HEK293T, RKO, Hep-G2, Jurkat,HeLa, TCMK-1, and NIH 3T3 cells prepared using NETNlysis buffer. Antibody: Affinity purified rabbit anti-USP7antibody used for WB at0.04 ug/ml. Detection: Chemiluminescence with anexposure time of 10 seconds
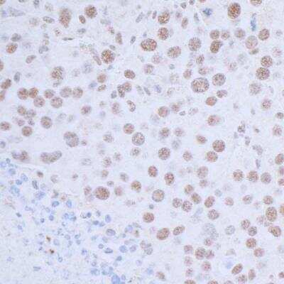
Immunohistochemistry-Paraffin: USP7 Antibody [NB100-513]

Immunohistochemistry-Paraffin: USP7 Antibody [NB100-513]

Immunohistochemistry-Paraffin: USP7 Antibody [NB100-513] - Sample: FFPE section of human ovarian carcinoma.Antibody: Affinity purified rabbit anti-USP7 used at 1:5,000 (0.2ug/ml). Detection:DAB
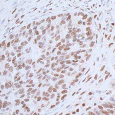
Immunohistochemistry-Paraffin: USP7 Antibody [NB100-513]

Immunohistochemistry-Paraffin: USP7 Antibody [NB100-513]

Immunohistochemistry-Paraffin: USP7 Antibody [NB100-513] - Sample: FFPE section of mouse renal cell carcinoma.Antibody: Affinity purified rabbit anti-USP7 used at 1:5,000 (0.2ug/ml). Detection:DAB

Applications for USP7 Antibody - BSA Free

Application
Recommended Usage

Immunohistochemistry

1:1000 - 1:5000

Immunohistochemistry-Paraffin

1:1000-1:5000

Immunoprecipitation

2-10 ug/ml of lysate

Western Blot

1:10000-1:25000
Application Notes
Many tissues will not require epitope retrieval. However to boost weak staining, epitope retrieval with citrate buffer at pH 6.0 is recommended for FFPE tissue sections. USP7 antibody validated for ICC/IF from a verified customer review.

Reviewed Applications

Read 1 review rated 4 using NB100-513 in the following applications:

Formulation, Preparation, and Storage

Purification

Immunogen affinity purified

Formulation

Tris-Citrate/Phosphate (pH 7.0 - 8.0)

Format

BSA Free

Preservative

0.09% Sodium Azide

Concentration

1.0 mg/ml

Shipping

The product is shipped with polar packs. Upon receipt, store it immediately at the temperature recommended below.

Stability & Storage

Store at 4C. Do not freeze.

Background: USP7

USP7 (also called HAUSP) is a de-ubiquitinating enzyme recently identified as a key regulator of the p53-mdm2 pathway, which stabilizes both p53 and mdm2. The Epstein-Barr nuclear antigen 1 protein of Epstein-Barr virus binds with high affinity to USP7 and disrupts the USP7-p53 interaction.

Long Name

Ubiquitin Specific Protease 7

Alternate Names

HAUSP, TEF1

Entrez Gene IDs

7874 (Human)

Gene Symbol

USP7

UniProt

Additional USP7 Products

Product Documents for USP7 Antibody - BSA Free

Certificate of Analysis

To download a Certificate of Analysis, please enter a lot number in the search box below.

Product Specific Notices for USP7 Antibody - BSA Free

This product is for research use only and is not approved for use in humans or in clinical diagnosis. Primary Antibodies are guaranteed for 1 year from date of receipt.

Loading...
Loading...
Loading...
Loading...