Skip to main content

USP7 Antibody (OTI1F12) - Azide and BSA Free

Novus Biologicals, part of Bio-Techne | Catalog # NBP2-74814

Novus Biologicals, part of Bio-Techne
Catalog #
Availability
Size / Price
Qty
Loading...
NBP2-74814

Key Product Details

Species Reactivity

Human, Mouse, Rat

Applications

Immunohistochemistry, Immunohistochemistry-Paraffin, Western Blot, Flow Cytometry, CyTOF-ready

Label

Unconjugated

Antibody Source

Monoclonal Mouse IgG1 Clone # OTI1F12

Format

Azide and BSA Free

Concentration

LYOPH mg/ml

Product Specifications

Immunogen

Full length human recombinant protein of human USP7(NP_003461) produced in HEK293T cell.

Reactivity Notes

Please note that this antibody is reactive to Mouse and derived from the same host, Mouse. Mouse-On-Mouse blocking reagent may be needed for IHC and ICC experiments to reduce high background signal. You can find these reagents under catalog numbers PK-2200-NB and MP-2400-NB. Please contact Technical Support if you have any questions.

Clonality

Monoclonal

Host

Mouse

Isotype

IgG1

Theoretical MW

128.1 kDa.
Disclaimer note: The observed molecular weight of the protein may vary from the listed predicted molecular weight due to post translational modifications, post translation cleavages, relative charges, and other experimental factors.

Description

Novus Biologicals Mouse USP7 Antibody (OTI1F12) - Azide and BSA Free (NBP2-01544) is a monoclonal antibody validated for use in IHC, WB and Flow. All Novus Biologicals antibodies are covered by our 100% guarantee.

Scientific Data Images for USP7 Antibody (OTI1F12) - Azide and BSA Free

Western Blot: USP7 Antibody (OTI1F12)Azide and BSA Free [NBP2-74814]

Western Blot: USP7 Antibody (OTI1F12)Azide and BSA Free [NBP2-74814]

Western Blot: USP7 Antibody (OTI1F12) - Azide and BSA Free [NBP2-74814] - HEK293T cells were transfected with the pCMV6-ENTRY control (Left lane) or pCMV6-ENTRY USP7 (Right lane) cDNA for 48 hrs and lysed. Equivalent amounts of cell lysates (5 ug per lane) were separated by SDS-PAGE and immunoblotted with anti-USP7.
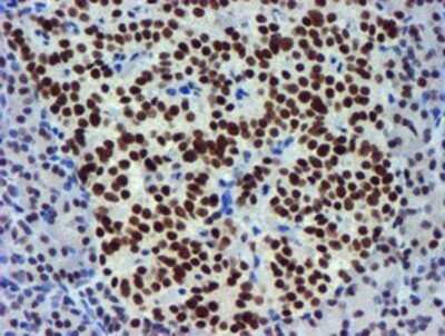
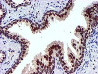
Immunohistochemistry: USP7 Antibody (OTI1F12) - Azide and BSA Free [NBP2-74814]

Immunohistochemistry: USP7 Antibody (OTI1F12) - Azide and BSA Free [NBP2-74814]

Immunohistochemistry: USP7 Antibody (OTI1F12) - Azide and BSA Free [NBP2-74814] - Staining of paraffin-embedded Human pancreas tissue using anti-USP7 mouse monoclonal antibody.
Flow Cytometry: USP7 Antibody (OTI1F12) - Azide and BSA Free [NBP2-74814]

Flow Cytometry: USP7 Antibody (OTI1F12) - Azide and BSA Free [NBP2-74814]

Flow Cytometry: USP7 Antibody (OTI1F12) - Azide and BSA Free [NBP2-74814] - Analysis of Hela cells, using anti-USP7 antibody, (Red), compared to a nonspecific negative control antibody (Blue).

Applications for USP7 Antibody (OTI1F12) - Azide and BSA Free

Application
Recommended Usage

Flow Cytometry

1:100

Immunohistochemistry

1:150

Western Blot

1:500

Formulation, Preparation, and Storage

Purification

Immunogen affinity purified

Reconstitution

we recommend adding 100uL distilled water to a final antibody concentration of about 1 mg/mL. To use this carrier-free antibody for conjugation experiment, we strongly recommend performing another round of desalting process.

Formulation

Lyophilized from PBS (pH 7.3) with 8% Trehalose

Format

Azide and BSA Free

Preservative

No Preservative

Concentration

LYOPH mg/ml

Shipping

The product is shipped with polar packs. Upon receipt, store it immediately at the temperature recommended below.

Stability & Storage

Store at -20C. Avoid freeze-thaw cycles.

Background: USP7

HAUSP (also known as deubiquitinating enzyme 7, herpes virus associated ubiquitin specific protease, TEF1, ubiquitin carboxyl terminal hydrolase 7, ubiquitin specific protease 7, ubiquitin thiolesterase 7, and USP7) is a novel p53 interacting protein. HAUSP was identified by mass spectrometry of affinity-purified p53 associated factors by Li et al. HAUSP strongly stabilizes p53 even in the presence of excess MDM2, and also induces p53-dependent cell growth repression and apoptosis. HAUSP has an intrinsic enzymatic activity that specifically de-ubiquitinates p53 both in vivo and in vitro. Expression of a catalytically inactive point mutation of HAUSP in cells increased the levels of p53 ubiquitination and also destabilized p53. Li et al concluded that their findings revealed an important mechanism by which p53 can be stabilized by direct de-ubiquitination and also implied that HAUSP may function as a tumor suppressor in vivo through the stabilization of p53.

Long Name

Ubiquitin Specific Protease 7

Alternate Names

HAUSP, TEF1

Gene Symbol

USP7

Additional USP7 Products

Product Documents for USP7 Antibody (OTI1F12) - Azide and BSA Free

Certificate of Analysis

To download a Certificate of Analysis, please enter a lot number in the search box below.

Product Specific Notices for USP7 Antibody (OTI1F12) - Azide and BSA Free

This product is for research use only and is not approved for use in humans or in clinical diagnosis. Primary Antibodies are guaranteed for 1 year from date of receipt.

Loading...
Loading...
Loading...
Loading...
Loading...
Loading...