Skip to main content

USP7 Antibody (BLR072G)

Novus Biologicals, part of Bio-Techne | Catalog # NBP2-78709

Recombinant Monoclonal Antibody.
Novus Biologicals, part of Bio-Techne
Catalog #
Availability
Size / Price
Qty
Loading...
NBP2-78709

Key Product Details

Species Reactivity

Human, Mouse

Applications

Flow Cytometry, Immunocytochemistry/ Immunofluorescence, Immunohistochemistry, Immunohistochemistry-Paraffin, Immunoprecipitation, Western Blot

Label

Unconjugated

Antibody Source

Recombinant Monoclonal Rabbit IgG Clone # BLR072G

Concentration

Please see the vial label for concentration. If unlisted please contact technical services.

Product Specifications

Immunogen

A peptide representing a region between residue 1 and 50.

Clonality

Monoclonal

Host

Rabbit

Isotype

IgG

Description

Novus Biologicals Rabbit USP7 Antibody (BLR072G) (NBP2-78709) is a recombinant monoclonal antibody validated for use in IHC, WB, Flow, ICC/IF and IP. All Novus Biologicals antibodies are covered by our 100% guarantee.

Scientific Data Images for USP7 Antibody (BLR072G)

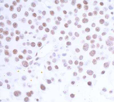
USP7 Antibody (BLR072G) [NBP2-78709] - Detection of human USP7/HAUSP in FFPE prostate carcinoma by IHC using this antibody. Secondary: HRP-conjugated goat anti-rabbit IgG (NB100-2332). Substrate: DAB.
USP7 Antibody (BLR072G) [NBP2-78709] - Detection of mouse USP7/HAUSP in FFPE renal cell carcinoma by IHC using this antibody. Secondary: HRP-conjugated goat anti-rabbit IgG (NB100-2332). Substrate: DAB.
USP7 Antibody (BLR072G) [NBP2-78709] - Detection of human USP7/HAUSP in FFPE OVCAR-4 cells by ICC using this antibody. Secondary: HRP-conjugated goat anti-rabbit IgG (NB100-2332). Substrate: DAB.

Applications for USP7 Antibody (BLR072G)

Application
Recommended Usage

Immunocytochemistry/ Immunofluorescence

1:100 - 1:500

Immunohistochemistry

1:100 - 1:500

Immunohistochemistry-Paraffin

1:100 - 1:500

Immunoprecipitation

20 uL/1 mg lysate

Western Blot

1:1000
Application Notes
Centrifuge tube to remove product from lid. Optimal working dilutions should be determined experimentally by the investigator. Prepare working dilution immediately before use. IHC and ICC/IF: Epitope retrieval with citrate buffer pH6.0 is recommended for FFPE tissue sections.

Formulation, Preparation, and Storage

Purification

Protein A or G purified from cell culture supernatant

Formulation

Borate Buffered Saline (BBS) pH 8.2 with 0.1% BSA.

Preservative

0.09% Sodium Azide

Concentration

Please see the vial label for concentration. If unlisted please contact technical services.

Shipping

The product is shipped with polar packs. Upon receipt, store it immediately at the temperature recommended below.

Stability & Storage

Store at 2 - 8 C / 1 year from date of receipt

Background: USP7

HAUSP (also known as deubiquitinating enzyme 7, herpes virus associated ubiquitin specific protease, TEF1, ubiquitin carboxyl terminal hydrolase 7, ubiquitin specific protease 7, ubiquitin thiolesterase 7, and USP7) is a novel p53 interacting protein. HAUSP was identified by mass spectrometry of affinity-purified p53 associated factors by Li et al. HAUSP strongly stabilizes p53 even in the presence of excess MDM2, and also induces p53-dependent cell growth repression and apoptosis. HAUSP has an intrinsic enzymatic activity that specifically de-ubiquitinates p53 both in vivo and in vitro. Expression of a catalytically inactive point mutation of HAUSP in cells increased the levels of p53 ubiquitination and also destabilized p53. Li et al concluded that their findings revealed an important mechanism by which p53 can be stabilized by direct de-ubiquitination and also implied that HAUSP may function as a tumor suppressor in vivo through the stabilization of p53.

Long Name

Ubiquitin Specific Protease 7

Alternate Names

HAUSP, TEF1

Gene Symbol

USP7

UniProt

Additional USP7 Products

Product Documents for USP7 Antibody (BLR072G)

Certificate of Analysis

To download a Certificate of Analysis, please enter a lot number in the search box below.

Product Specific Notices for USP7 Antibody (BLR072G)

This Product sold under License from Bethyl Laboratories, Inc.

This product is for research use only and is not approved for use in humans or in clinical diagnosis. Primary Antibodies are guaranteed for 1 year from date of receipt.

Loading...
Loading...
Loading...
Loading...
Loading...