USP47 Antibody - BSA Free
Novus Biologicals, part of Bio-Techne | Catalog # NBP3-35557
Key Product Details
Species Reactivity
Human, Mouse
Applications
Immunohistochemistry, Immunohistochemistry-Paraffin, Western Blot, ELISA
Label
Unconjugated
Antibody Source
Polyclonal Rabbit IgG
Format
BSA Free
Concentration
Please see the vial label for concentration. If unlisted please contact technical services.
Product Specifications
Immunogen
Recombinant fusion protein containing a sequence corresponding to amino acids 1128-1287 of human USP47 (NP_060414.3).
Sequence:
VEKMKSMSQLAVLSRRWKPSEMKLDPFQEVVLESSSVDELREKLSEISGIPLDDIEFAKGRGTFPCDISVLDIHQDLDWNPKVSTLNVWPLYICDDGAVIFYRDKTEELMELTDEQRNELMKKESSRLQKTGHRVTYSPRKEKALKIYLDGAPNKDLTQD
Sequence:
VEKMKSMSQLAVLSRRWKPSEMKLDPFQEVVLESSSVDELREKLSEISGIPLDDIEFAKGRGTFPCDISVLDIHQDLDWNPKVSTLNVWPLYICDDGAVIFYRDKTEELMELTDEQRNELMKKESSRLQKTGHRVTYSPRKEKALKIYLDGAPNKDLTQD
Clonality
Polyclonal
Host
Rabbit
Isotype
IgG
Theoretical MW
157 kDa.
Disclaimer note: The observed molecular weight of the protein may vary from the listed predicted molecular weight due to post translational modifications, post translation cleavages, relative charges, and other experimental factors.
Disclaimer note: The observed molecular weight of the protein may vary from the listed predicted molecular weight due to post translational modifications, post translation cleavages, relative charges, and other experimental factors.
Description
Novus Biologicals Rabbit USP47 Antibody - BSA Free (NBP3-35557) is a polyclonal antibody validated for use in IHC, WB and ELISA. All Novus Biologicals antibodies are covered by our 100% guarantee.
Scientific Data Images for USP47 Antibody - BSA Free
Western Blot: USP47 Antibody [NBP3-35557] -
Western Blot: USP47 Antibody [NBP3-35557] - Western blot analysis of various lysates using USP47 Rabbit pAb at 1:1000 dilution.Secondary antibody: HRP-conjugated Goat anti-Rabbit IgG (H+L) at 1:10000 dilution.
Lysates/proteins: 25ug per lane.
Blocking buffer: 3% nonfat dry milk in TBST.
Detection: ECL Basic Kit.
Exposure time: 60s.
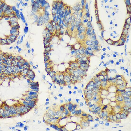
Immunohistochemistry: USP47 Antibody [NBP3-35557] -
Immunohistochemistry: USP47 Antibody [NBP3-35557] - Immunohistochemistry analysis of paraffin-embedded Human colon carcinoma using USP47 Rabbit pAb at dilution of 1:100 (40x lens). Microwave antigen retrieval performed with 0.01M PBS Buffer (pH 7.2) prior to IHC staining.Applications for USP47 Antibody - BSA Free
Application
Recommended Usage
Immunohistochemistry-Paraffin
1:50 - 1:200
Western Blot
1:200 - 1:2000
Formulation, Preparation, and Storage
Purification
Affinity purified
Formulation
PBS (pH 7.3), 50% glycerol
Format
BSA Free
Preservative
0.01% Thimerosal
Concentration
Please see the vial label for concentration. If unlisted please contact technical services.
Shipping
The product is shipped with polar packs. Upon receipt, store it immediately at the temperature recommended below.
Stability & Storage
Store at -20C. Avoid freeze-thaw cycles.
Background: USP47
Long Name
Ubiquitin Specific Protease 47
Alternate Names
TRFP
Gene Symbol
USP47
Additional USP47 Products
Product Documents for USP47 Antibody - BSA Free
Product Specific Notices for USP47 Antibody - BSA Free
This product is for research use only and is not approved for use in humans or in clinical diagnosis. Primary Antibodies are guaranteed for 1 year from date of receipt.
Loading...
Loading...
Loading...
Loading...