Skip to main content

USP46 Antibody - Azide and BSA Free

Novus Biologicals, part of Bio-Techne | Catalog # NBP2-99882

Novus Biologicals, part of Bio-Techne

Key Product Details

Species Reactivity

Human, Mouse

Applications

ELISA, Immunohistochemistry-Paraffin

Label

Unconjugated

Antibody Source

Polyclonal Rabbit IgG

Format

Azide and BSA Free

Concentration

Please see the vial label for concentration. If unlisted please contact technical services.

Product Specifications

Immunogen

Produced in rabbits immunized with purified, recombinant Human/Mouse USP46 (Accession#: NP_808229.1; Met1-Glu366).

Clonality

Polyclonal

Host

Rabbit

Isotype

IgG

Description

This antibody can be stored at 2C to 8C for one month without detectable loss of activity. Antibody products are stable for twelve months from date of receipt when stored at -20C to -80C. Avoid repeated freeze-thaw cycles.

Scientific Data Images for USP46 Antibody - Azide and BSA Free

Immunohistochemistry-Paraffin: USP46 Antibody [NBP2-99882]

Immunohistochemistry-Paraffin: USP46 Antibody [NBP2-99882]

Immunohistochemistry-Paraffin: USP46 Antibody [NBP2-99882] - Immunochemical staining of human USP46 in human kidney with rabbit polyclonal antibody (1:1000, formalin-fixed paraffin embedded sections).
USP46 Antibody - Azide and BSA Free

Immunohistochemistry-Paraffin: USP46 Antibody [NBP2-99882] -

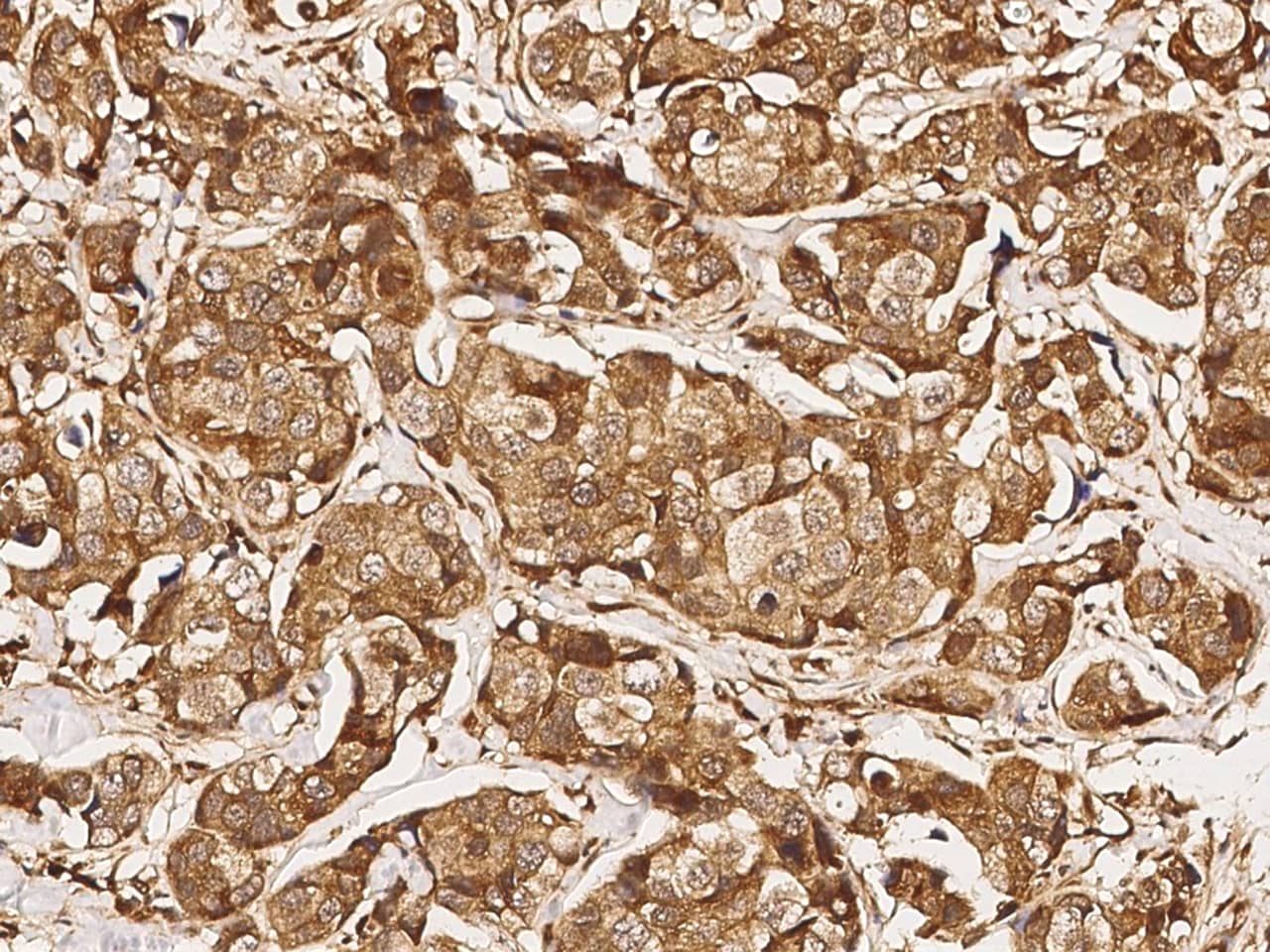
Immunohistochemistry-Paraffin: USP46 Antibody [NBP2-99882] - Immunochemical staining of human USP46 in human breast carcinoma with NBP2-99882 (1:1000, formalin-fixed paraffin embedded sections).

Applications for USP46 Antibody - Azide and BSA Free

Application
Recommended Usage

ELISA

1:5000-1:10000

Immunohistochemistry-Paraffin

1:500-1:2000

Formulation, Preparation, and Storage

Purification

Antigen and protein A Affinity-purified

Formulation

0.2 um filtered solution in PBS

Format

Azide and BSA Free

Preservative

No Preservative

Concentration

Please see the vial label for concentration. If unlisted please contact technical services.

Shipping

The product is shipped with polar packs. Upon receipt, store it immediately at the temperature recommended below.

Stability & Storage

Store at 4C short term. Aliquot and store at -20C long term. Avoid freeze-thaw cycles.

Background: USP46

Modification of cellular proteins by ubiquitin is an essential regulatory mechanism controlled by the coordinatedaction of multiple ubiquitin-conjugating and deubiquitinating enzymes. USP46 belongs to a large family of cysteineproteases that function as deubiquitinating enzymes (Quesada et al., 2004 (PubMed 14715245)).(supplied by OMIM)

Long Name

Ubiquitin Specific Protease 46

Alternate Names

Deubiquitinating enzyme 46, EC 3.1.2.15, EC 3.4.19.12, FLJ11850, FLJ12552, FLJ14283, FLJ39393, ubiquitin carboxyl-terminal hydrolase 46, ubiquitin specific peptidase 46, ubiquitin specific protease 46, ubiquitin thioesterase 46, Ubiquitin thiolesterase 46, Ubiquitin-specific-processing protease 46

Gene Symbol

USP46

Additional USP46 Products

Product Documents for USP46 Antibody - Azide and BSA Free

Certificate of Analysis

To download a Certificate of Analysis, please enter a lot number in the search box below.

Product Specific Notices for USP46 Antibody - Azide and BSA Free

This product is for research use only and is not approved for use in humans or in clinical diagnosis. Primary Antibodies are guaranteed for 1 year from date of receipt.

Loading...
Loading...
Loading...
Loading...