Skip to main content

USP46 Antibody - BSA Free

Novus Biologicals, part of Bio-Techne | Catalog # NBP2-20835

Novus Biologicals, part of Bio-Techne
Catalog #
Availability
Size / Price
Qty
Loading...
NBP2-20835

Key Product Details

Species Reactivity

Validated:

Human, Mouse

Predicted:

Bovine (100%), Rat (99%), Rhesus Macaque (100%), Zebrafish (92%). Backed by our 100% Guarantee.

Applications

Immunohistochemistry, Immunohistochemistry-Paraffin, Western Blot

Label

Unconjugated

Antibody Source

Polyclonal Rabbit IgG

Format

BSA Free

Concentration

Concentrations vary lot to lot. See vial label for concentration. If unlisted please contact technical services.

Product Specifications

Immunogen

Recombinant protein encompassing a sequence within the center region of human USP46. The exact sequence is proprietary.

Clonality

Polyclonal

Host

Rabbit

Isotype

IgG

Theoretical MW

42 kDa.
Disclaimer note: The observed molecular weight of the protein may vary from the listed predicted molecular weight due to post translational modifications, post translation cleavages, relative charges, and other experimental factors.

Description

Novus Biologicals Rabbit USP46 Antibody - BSA Free (NBP2-20835) is a polyclonal antibody validated for use in IHC and WB. All Novus Biologicals antibodies are covered by our 100% guarantee.

Scientific Data Images for USP46 Antibody - BSA Free

Western Blot: USP46 Antibody [NBP2-20835]

Western Blot: USP46 Antibody [NBP2-20835]

Western Blot: USP46 Antibody [NBP2-20835] - Sample (50 ug of whole cell lysate) A: Mouse Brain, 10% SDS PAGE gel, diluted at 1:500.
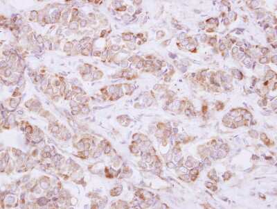
Immunohistochemistry-Paraffin: USP46 Antibody [NBP2-20835]

Immunohistochemistry-Paraffin: USP46 Antibody [NBP2-20835]

Immunohistochemistry-Paraffin: USP46 Antibody [NBP2-20835] - Analysis of paraffin-embedded Breast ca, using antibody at 1:500 dilution.
Western Blot: USP46 Antibody [NBP2-20835]

Western Blot: USP46 Antibody [NBP2-20835]

Western Blot: USP46 Antibody [NBP2-20835] - Sample (30 ug of whole cell lysate) A: HepG2 10% SDS PAGE gel, diluted at 1:500.

Applications for USP46 Antibody - BSA Free

Application
Recommended Usage

Immunohistochemistry

1:100-1:1000

Immunohistochemistry-Paraffin

1:100-1:1000

Western Blot

1:500-1:3000

Formulation, Preparation, and Storage

Purification

Antigen Affinity-purified

Formulation

0.1M Tris, 0.1M Glycine, 20% Glycerol

Format

BSA Free

Preservative

0.01% Thimerosal

Concentration

Concentrations vary lot to lot. See vial label for concentration. If unlisted please contact technical services.

Shipping

The product is shipped with polar packs. Upon receipt, store it immediately at the temperature recommended below.

Stability & Storage

Aliquot and store at -20C or -80C. Avoid freeze-thaw cycles.

Background: USP46

Modification of cellular proteins by ubiquitin is an essential regulatory mechanism controlled by the coordinated action of multiple ubiquitin-conjugating and deubiquitinating enzymes. USP46 belongs to a large family of cysteine proteases that function as deubiquitinating enzymes (Quesada et al., 2004 [PubMed 14715245]).[supplied by OMIM]

Long Name

Ubiquitin Specific Protease 46

Alternate Names

Deubiquitinating enzyme 46, EC 3.1.2.15, EC 3.4.19.12, FLJ11850, FLJ12552, FLJ14283, FLJ39393, ubiquitin carboxyl-terminal hydrolase 46, ubiquitin specific peptidase 46, ubiquitin specific protease 46, ubiquitin thioesterase 46, Ubiquitin thiolesterase 46, Ubiquitin-specific-processing protease 46

Gene Symbol

USP46

UniProt

Additional USP46 Products

Product Documents for USP46 Antibody - BSA Free

Certificate of Analysis

To download a Certificate of Analysis, please enter a lot number in the search box below.

Product Specific Notices for USP46 Antibody - BSA Free

This product is for research use only and is not approved for use in humans or in clinical diagnosis. Primary Antibodies are guaranteed for 1 year from date of receipt.

Loading...
Loading...
Loading...
Loading...

⚠ WARNING: This product can expose you to chemicals including mercury, which is known to the State of California to cause reproductive toxicity with developmental effects.  For more information go to www.P65Warnings.ca.gov.