Skip to main content

USP34 Antibody - BSA Free

Novus Biologicals, part of Bio-Techne | Catalog # NBP3-45622

Novus Biologicals, part of Bio-Techne
Catalog #
Availability
Size / Price
Qty
Loading...
NBP3-45622

Key Product Details

Species Reactivity

Human, Mouse

Applications

Immunohistochemistry, Western Blot, ELISA

Label

Unconjugated

Antibody Source

Polyclonal Rabbit IgG

Format

BSA Free

Concentration

Please see the vial label for concentration. If unlisted please contact technical services.

Product Specifications

Immunogen

ubiquitin specific peptidase 34. (Uniprot# Q70CQ2)

Clonality

Polyclonal

Host

Rabbit

Isotype

IgG

Theoretical MW

47 kDa.
Disclaimer note: The observed molecular weight of the protein may vary from the listed predicted molecular weight due to post translational modifications, post translation cleavages, relative charges, and other experimental factors.

Description

Novus Biologicals Rabbit USP34 Antibody - BSA Free (NBP3-45622) is a polyclonal antibody validated for use in IHC, WB and ELISA. All Novus Biologicals antibodies are covered by our 100% guarantee.

Scientific Data Images for USP34 Antibody - BSA Free

USP34 Antibody - BSA Free

Western Blot: USP34 Antibody - BSA Free [NBP3-45622] -

Western Blot: USP34 Antibody - BSA Free [NBP3-45622] - Human brain tissue were subjected to SDS PAGE followed by western blot with (USP34 antibody) at dilution of 1:600
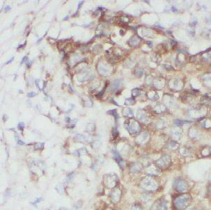
USP34 Antibody - BSA Free

Immunohistochemistry: USP34 Antibody - BSA Free [NBP3-45622] -

Immunohistochemistry: USP34 Antibody - BSA Free [NBP3-45622] - Immunohistochemistry of paraffin-embedded human breast cancer tissue slide using (USP34 Antibody) at dilution of 1:50

Applications for USP34 Antibody - BSA Free

Application
Recommended Usage

Immunohistochemistry

1:20-1:200

Western Blot

1:500-1:5000

Formulation, Preparation, and Storage

Purification

Immunogen affinity purified

Formulation

PBS, 50% Glycerol, pH (7.3)

Format

BSA Free

Preservative

0.02% Sodium Azide

Concentration

Please see the vial label for concentration. If unlisted please contact technical services.

Shipping

The product is shipped with polar packs. Upon receipt, store it immediately at the temperature recommended below.

Stability & Storage

Store at -20C. Avoid freeze-thaw cycles.

Background: USP34

Recognizes and hydrolyzes the peptide bond at the C-terminal Gly of ubiquitin. Involved in the processing of poly-ubiquitin precursors as well as that of ubiquinated proteins

Long Name

Ubiquitin carboxyl-terminal hydrolase 34

Alternate Names

KIAA0570, KIAA0729

Gene Symbol

USP34

Additional USP34 Products

Product Documents for USP34 Antibody - BSA Free

Certificate of Analysis

To download a Certificate of Analysis, please enter a lot number in the search box below.

Product Specific Notices for USP34 Antibody - BSA Free

This product is for research use only and is not approved for use in humans or in clinical diagnosis. Primary Antibodies are guaranteed for 1 year from date of receipt.

Loading...
Loading...
Loading...
Loading...