USP29 Antibody - BSA Free
Novus Biologicals, part of Bio-Techne | Catalog # NBP3-17070
Key Product Details
Species Reactivity
Human
Applications
Immunohistochemistry, Immunohistochemistry-Paraffin
Label
Unconjugated
Antibody Source
Polyclonal Rabbit IgG
Format
BSA Free
Concentration
Concentrations vary lot to lot. See vial label for concentration. If unlisted please contact technical services.
Product Specifications
Immunogen
This antibody was developed against Recombinant Protein corresponding to amino acids: SQGMAEQLQQCIEESIIDEFLQQAPPPGVRKLDAQEHTEETLNQSTELRLQKADLNHLGALGSDNPGNKNILDAENTRGEAKELTRNVKMG
Clonality
Polyclonal
Host
Rabbit
Isotype
IgG
Description
Novus Biologicals Rabbit USP29 Antibody - BSA Free (NBP3-17070) is a polyclonal antibody validated for use in IHC. All Novus Biologicals antibodies are covered by our 100% guarantee.
Scientific Data Images for USP29 Antibody - BSA Free
Immunocytochemistry/ Immunofluorescence: USP29 Antibody [NBP3-17070]
Immunocytochemistry/Immunofluorescence: USP29 Antibody [NBP3-17070] - Analysis in human testis and cerebellum tissues using Anti-USP29 antibody. Corresponding USP29 RNA-seq data are presented for the same tissues.Immunohistochemistry-Paraffin: USP29 Antibody [NBP3-17070]
Immunohistochemistry-Paraffin: USP29 Antibody [NBP3-17070] - Staining of human cerebellum shows low expression as expected.Immunohistochemistry-Paraffin: USP29 Antibody [NBP3-17070]
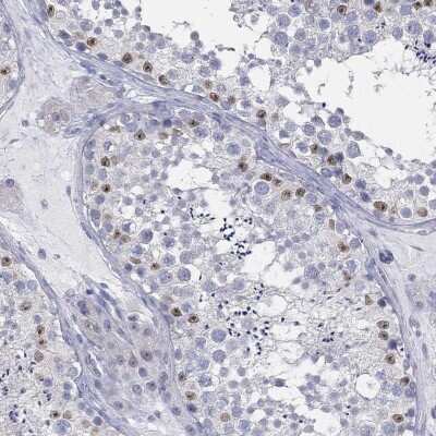
Immunohistochemistry-Paraffin: USP29 Antibody [NBP3-17070] - Staining of human testis shows high expression.Applications for USP29 Antibody - BSA Free
Application
Recommended Usage
Immunohistochemistry
1:5000 - 1:10000
Immunohistochemistry-Paraffin
1:5000 - 1:10000
Application Notes
For IHC-Paraffin, HIER pH 6 retrieval is recommended.
Formulation, Preparation, and Storage
Purification
Affinity purified
Formulation
PBS (pH 7.2) and 40% Glycerol
Format
BSA Free
Preservative
0.02% Sodium Azide
Concentration
Concentrations vary lot to lot. See vial label for concentration. If unlisted please contact technical services.
Shipping
The product is shipped with polar packs. Upon receipt, store it immediately at the temperature recommended below.
Stability & Storage
Store at 4C short term. Aliquot and store at -20C long term. Avoid freeze-thaw cycles.
Background: USP29
Long Name
Ubiquitin Specific Protease 29
Alternate Names
HOM-TES-84/86
Gene Symbol
USP29
Additional USP29 Products
Product Documents for USP29 Antibody - BSA Free
Product Specific Notices for USP29 Antibody - BSA Free
This product is for research use only and is not approved for use in humans or in clinical diagnosis. Primary Antibodies are guaranteed for 1 year from date of receipt.
Loading...
Loading...
Loading...
Loading...