Skip to main content

USP28 Antibody

Novus Biologicals, part of Bio-Techne | Catalog # NB110-40543

Novus Biologicals, part of Bio-Techne
Catalog #
Availability
Size / Price
Qty
Loading...
NB110-40543

Key Product Details

Validated by

Independent Antibodies

Species Reactivity

Validated:

Human

Cited:

Human

Applications

Validated:

Immunohistochemistry, Immunohistochemistry-Paraffin, Western Blot, Immunoprecipitation

Cited:

Western Blot

Label

Unconjugated

Antibody Source

Polyclonal Rabbit IgG

Concentration

0.2 mg/ml

Product Specifications

Immunogen

The immunogen recognized by this antibody maps to a region between residue 50 and 100 of human Ubiquitin Specific Peptidase 28 using the numbering given in entry NP_065937.1

Clonality

Polyclonal

Host

Rabbit

Isotype

IgG

Description

This antibody can be used as the primary antibody in a PLA assay with the following as complementing antibodies: NB100-1803, NB100-322

Scientific Data Images for USP28 Antibody

Western Blot: USP28 Antibody [NB110-40543]

Western Blot: USP28 Antibody [NB110-40543]

Western Blot: USP28 Antibody [NB110-40543] - Whole cell lysate (5 ug) from U2OS, K-562, HEK293T, GaMG, and HeLa cells prepared using NETN lysis buffer. Antibody: Affinity purified rabbit anti-USP28 antibody used for WB at 0.04 ug/ml. Detection: Chemiluminescence with an exposure time of 30 seconds.
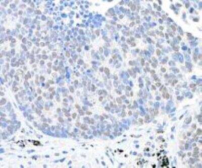
Immunohistochemistry-Paraffin: USP28 Antibody [NB110-40543]

Immunohistochemistry-Paraffin: USP28 Antibody [NB110-40543]

Immunohistochemistry-Paraffin: USP28 Antibody [NB110-40543] - FFPE section of human lung carcinoma. Antibody: Affinity purified rabbit anti-USP28 used at a dilution of 1:1,000 (0.2ug/ml). Detection: DAB
Western Blot: USP28 Antibody [NB110-40543]

Western Blot: USP28 Antibody [NB110-40543]

Western Blot: USP28 Antibody [NB110-40543] - Detection of Human USP28 on HeLa whole cell lysate usingy NB110-40543. USP28 was also immunoprecipitated by rabbit anti-USP28 antibodies NB110-40544 and another USP28 Ab.

Applications for USP28 Antibody

Application
Recommended Usage

Immunohistochemistry

1:500-1:2000

Immunohistochemistry-Paraffin

1:500-1:2000

Immunoprecipitation

2-10 ug/mg lysate

Western Blot

1:2000-1:10000
Application Notes
0. Epitope retrieval with citrate buffer pH6.0 is recommended for FFPE tissue sections.

Formulation, Preparation, and Storage

Purification

Immunogen affinity purified

Formulation

TBS and 0.1% BSA

Preservative

0.09% Sodium Azide

Concentration

0.2 mg/ml

Shipping

The product is shipped with polar packs. Upon receipt, store it immediately at the temperature recommended below.

Stability & Storage

Store at 4C. Do not freeze.

Background: USP28

The ubiquitin-dependent protein degradation pathway is essential for proteolysis of intracellular proteins and peptides. Enzymes that remove ubiquitin from ubiquitin-conjugated peptides, like USP28, affect the fate and degradation of intracellular proteins and are essential for maintenance of cell-free ubiquitin pools (Valero et al., 2001).

Long Name

Ubiquitin Specific Protease 28

Alternate Names

Deubiquitinating enzyme 28, EC 3.1.2.15, EC 3.4.19.12, KIAA1515ubiquitin carboxyl-terminal hydrolase 28, ubiquitin specific peptidase 28, ubiquitin specific protease 28, ubiquitin thioesterase 28, Ubiquitin thiolesterase 28, Ubiquitin-specific-processing protease 28

Entrez Gene IDs

57646 (Human); 235323 (Mouse)

Gene Symbol

USP28

UniProt

Additional USP28 Products

Product Documents for USP28 Antibody

Certificate of Analysis

To download a Certificate of Analysis, please enter a lot number in the search box below.

Product Specific Notices for USP28 Antibody

This antibody can be used as the primary antibody in a PLA assay with the following as complementing antibodies: NB100-1803, NB100-322

This product is for research use only and is not approved for use in humans or in clinical diagnosis. Primary Antibodies are guaranteed for 1 year from date of receipt.

Loading...
Loading...
Loading...
Loading...