Skip to main content

USP18 Antibody - BSA Free

Novus Biologicals, part of Bio-Techne | Catalog # NBP3-35697

Novus Biologicals, part of Bio-Techne
Catalog #
Availability
Size / Price
Qty
Loading...
NBP3-35697-20ul
NBP3-35697-100ul

Key Product Details

Species Reactivity

Human, Mouse, Rat

Applications

Immunohistochemistry, Immunohistochemistry-Paraffin, Western Blot, ELISA, Immunocytochemistry/ Immunofluorescence

Label

Unconjugated

Antibody Source

Polyclonal Rabbit IgG

Format

BSA Free

Concentration

Please see the vial label for concentration. If unlisted please contact technical services.

Product Specifications

Immunogen

A synthetic peptide corresponding to a sequence within amino acids 1-100 of human USP18 (NP_059110.2).

Sequence:
DVDSKPLKTLEDALHCFFQPRELSSKSKCFCENCGKKTRGKQVLKLTHLPQTLTIHLMRFSIRNSQTRKICHSLYFPQSLDFSQILPMKRESCDAEEQSGG

Clonality

Polyclonal

Host

Rabbit

Isotype

IgG

Theoretical MW

43 kDa.
Disclaimer note: The observed molecular weight of the protein may vary from the listed predicted molecular weight due to post translational modifications, post translation cleavages, relative charges, and other experimental factors.

Description

Novus Biologicals Rabbit USP18 Antibody - BSA Free (NBP3-35697) is a polyclonal antibody validated for use in IHC, WB, ELISA and ICC/IF. All Novus Biologicals antibodies are covered by our 100% guarantee.

Scientific Data Images for USP18 Antibody - BSA Free

USP18 Antibody

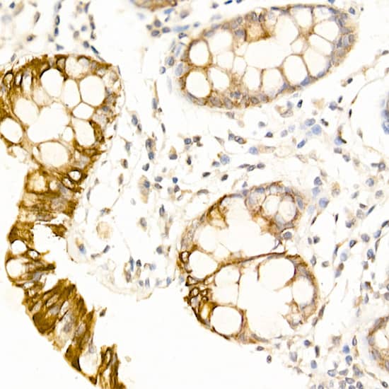
Immunohistochemistry: USP18 Antibody [NBP3-35697] -

Immunohistochemistry: USP18 Antibody [NBP3-35697] - Immunohistochemistry analysis of paraffin-embedded Human colon carcinoma using USP18 Rabbit pAb at dilution of 1:20 (40x lens). High pressure antigen retrieval performed with 0.01M Citrate Bufferr (pH 6.0) prior to IHC staining.
USP18 Antibody

Immunocytochemistry/ Immunofluorescence: USP18 Antibody [NBP3-35697] -

Immunocytochemistry/ Immunofluorescence: USP18 Antibody [NBP3-35697] - Immunofluorescence analysis of MCF7 cells using USP18 Rabbit pAb at dilution of 1:200 (40x lens). Secondary antibody: Cy3-conjugated Goat anti-Rabbit IgG (H+L) at 1:500 dilution. Blue: DAPI for nuclear staining.
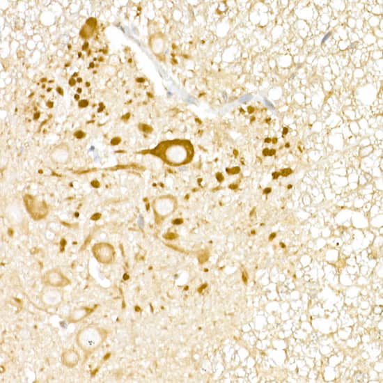
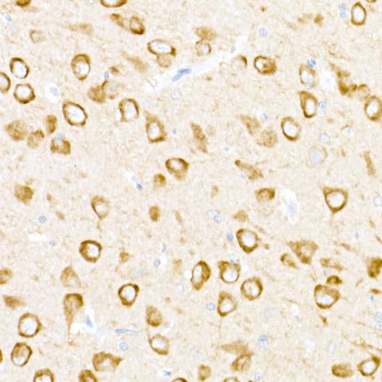
USP18 Antibody

Immunohistochemistry: USP18 Antibody [NBP3-35697] -

Immunohistochemistry: USP18 Antibody [NBP3-35697] - Immunohistochemistry analysis of paraffin-embedded Mouse spinal cord using USP18 Rabbit pAb at dilution of 1:20 (40x lens). High pressure antigen retrieval performed with 0.01M Citrate Bufferr (pH 6.0) prior to IHC staining.

Applications for USP18 Antibody - BSA Free

Application
Recommended Usage

Immunocytochemistry/ Immunofluorescence

1:50 - 1:200

Immunohistochemistry-Paraffin

1:50 - 1:200

Western Blot

1:1000 - 1:5000

Formulation, Preparation, and Storage

Purification

Affinity purified

Formulation

PBS (pH 7.3), 50% glycerol

Format

BSA Free

Preservative

0.02% Sodium Azide

Concentration

Please see the vial label for concentration. If unlisted please contact technical services.

Shipping

The product is shipped with polar packs. Upon receipt, store it immediately at the temperature recommended below.

Stability & Storage

Store at -20C. Avoid freeze-thaw cycles.

Background: USP18

UBP43 (also known as ISG43, Ubl thiolesterase 18, ISG15-specific processing protease, 43 kDa ISG15-specific protease, ubiquitin specific protease 18 or USP18) is a member of the deubiquitinating protease family of enzymes, which removes ubiquitin adducts from a broad range of protein substrates. Deletion of the UBP43 gene in mouse leads to a massive increase of ISG15 conjugates in tissues indicating that UBP43 is a major ISG15-specific protease. UBP43 is the first ISG15-specific protease reported. Both ISG15 and UBP43 genes are known to be strongly induced by interferon, genotoxic stress, and viral infection. Thus UBP43 may be necessary to maintain a critical cellular balance of ISG15-conjugated proteins in both healthy and stressed organisms.

Long Name

Ubiquitin Specific Peptidase 18

Alternate Names

ISG43, UBP43

Gene Symbol

USP18

Additional USP18 Products

Product Documents for USP18 Antibody - BSA Free

Certificate of Analysis

To download a Certificate of Analysis, please enter a lot number in the search box below.

Product Specific Notices for USP18 Antibody - BSA Free

This product is for research use only and is not approved for use in humans or in clinical diagnosis. Primary Antibodies are guaranteed for 1 year from date of receipt.

Loading...
Loading...
Loading...
Loading...