Skip to main content

USP14 Antibody - BSA Free

Novus Biologicals, part of Bio-Techne | Catalog # NBP2-20826

Novus Biologicals, part of Bio-Techne
Catalog #
Availability
Size / Price
Qty
Loading...
NBP2-20826

Key Product Details

Species Reactivity

Validated:

Human, Mouse, Rat

Predicted:

Chimpanzee (100%), Primate (100%), Rhesus Macaque (100%). Backed by our 100% Guarantee.

Applications

Knockout Validated, Immunohistochemistry, Immunohistochemistry-Paraffin, Immunohistochemistry-Frozen, Western Blot, Immunocytochemistry/ Immunofluorescence

Label

Unconjugated

Antibody Source

Polyclonal Rabbit IgG

Format

BSA Free

Concentration

Concentrations vary lot to lot. See vial label for concentration. If unlisted please contact technical services.

Product Specifications

Immunogen

Recombinant protein encompassing a sequence within the center region of human USP14. The exact sequence is proprietary.

Clonality

Polyclonal

Host

Rabbit

Isotype

IgG

Theoretical MW

56 kDa.
Disclaimer note: The observed molecular weight of the protein may vary from the listed predicted molecular weight due to post translational modifications, post translation cleavages, relative charges, and other experimental factors.

Description

Novus Biologicals Knockout (KO) Validated Rabbit USP14 Antibody - BSA Free (NBP2-20826) is a polyclonal antibody validated for use in IHC, WB and ICC/IF. All Novus Biologicals antibodies are covered by our 100% guarantee.

Scientific Data Images for USP14 Antibody - BSA Free

Western Blot: USP14 Antibody [NBP2-20826]

Western Blot: USP14 Antibody [NBP2-20826]

Western Blot: USP14 Antibody [NBP2-20826] - Sample (30 ug of whole cell lysate) A: A431 7. 5% SDS PAGE gel, diluted at 1:1000.
Western Blot: USP14 Antibody [NBP2-20826]

Western Blot: USP14 Antibody [NBP2-20826]

Western Blot: USP14 Antibody [NBP2-20826] - Various tissue extracts (50 ug) were separated by 10% SDS-PAGE, and the membrane was blotted with USP14 antibody diluted at 1:1000. The HRP-conjugated anti-rabbit IgG antibody (NBP2-19301) was used to detect the primary antibody.
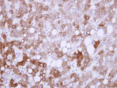
Immunohistochemistry-Paraffin: USP14 Antibody [NBP2-20826]

Immunohistochemistry-Paraffin: USP14 Antibody [NBP2-20826]

Immunohistochemistry-Paraffin: USP14 Antibody [NBP2-20826] - Human normal liver, using USP14 antibody at 1:250 dilution. Antigen Retrieval: Trilogy™ (EDTA based, pH 8.0) buffer, 15min

Applications for USP14 Antibody - BSA Free

Application
Recommended Usage

Immunocytochemistry/ Immunofluorescence

1:100-1:1000

Immunohistochemistry

1:100-1:1000

Immunohistochemistry-Frozen

1:100-1:1000

Immunohistochemistry-Paraffin

1:100-1:1000

Western Blot

1:500-1:3000

Formulation, Preparation, and Storage

Purification

Antigen Affinity-purified

Formulation

0.1M Tris, 0.1M Glycine, 20% Glycerol

Format

BSA Free

Preservative

0.01% Thimerosal

Concentration

Concentrations vary lot to lot. See vial label for concentration. If unlisted please contact technical services.

Shipping

The product is shipped with polar packs. Upon receipt, store it immediately at the temperature recommended below.

Stability & Storage

Aliquot and store at -20C or -80C. Avoid freeze-thaw cycles.

Background: USP14

This gene encodes a member of the ubiquitin-specific processing (UBP) family of proteases that is a deubiquitinating enzyme (DUB) with His and Cys domains. This protein is located in the cytoplasm and cleaves the ubiquitin moiety from ubiquitin-fused precursors and ubiquitinylated proteins. Mice with a mutation that results in reduced expression of the ortholog of this protein are retarded for growth, develop severe tremors by 2 to 3 weeks of age followed by hindlimb paralysis and death by 6 to 10 weeks of age. Alternate transcriptional splice variants, encoding different isoforms, have been characterized. [provided by RefSeq]

Long Name

Ubiquitin Specific Protease 14

Alternate Names

TGT, Ubiquitin Thioesterase 14, Ubp6

Gene Symbol

USP14

UniProt

Additional USP14 Products

Product Documents for USP14 Antibody - BSA Free

Certificate of Analysis

To download a Certificate of Analysis, please enter a lot number in the search box below.

Product Specific Notices for USP14 Antibody - BSA Free

This product is for research use only and is not approved for use in humans or in clinical diagnosis. Primary Antibodies are guaranteed for 1 year from date of receipt.

Loading...
Loading...
Loading...
Loading...

⚠ WARNING: This product can expose you to chemicals including mercury, which is known to the State of California to cause reproductive toxicity with developmental effects.  For more information go to www.P65Warnings.ca.gov.