Skip to main content

USP13 Antibody (9E6) - BSA Free

Novus Biologicals, part of Bio-Techne | Catalog # NBP3-43061

Novus Biologicals, part of Bio-Techne
Catalog #
Availability
Size / Price
Qty
Loading...
NBP3-43061

Key Product Details

Species Reactivity

Human

Applications

Immunohistochemistry, Western Blot, ELISA, Immunocytochemistry/ Immunofluorescence

Label

Unconjugated

Antibody Source

Monoclonal Mouse IgG1 Clone # 9E6

Format

BSA Free

Concentration

Please see the vial label for concentration. If unlisted please contact technical services.

Product Specifications

Immunogen

ubiquitin specific peptidase 13(isopeptidase T-3) - (Uniprot# Q92995)

Clonality

Monoclonal

Host

Mouse

Isotype

IgG1

Theoretical MW

97 kDa.
Disclaimer note: The observed molecular weight of the protein may vary from the listed predicted molecular weight due to post translational modifications, post translation cleavages, relative charges, and other experimental factors.

Description

Novus Biologicals Mouse USP13 Antibody (9E6) - BSA Free (NBP3-43061) is a monoclonal antibody validated for use in IHC, WB, ELISA and ICC/IF. All Novus Biologicals antibodies are covered by our 100% guarantee.

Scientific Data Images for USP13 Antibody (9E6) - BSA Free

USP13 Antibody (9E6)

Western Blot: USP13 Antibody (9E6) [NBP3-43061] -

Western Blot: USP13 Antibody (9E6) [NBP3-43061] - HepG2 cells were subjected to SDS PAGE followed by western blot with (USP13 Antibody) at dilution of 1:1000
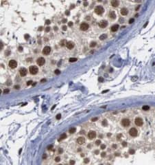
USP13 Antibody (9E6)

Immunohistochemistry: USP13 Antibody (9E6) [NBP3-43061] -

Immunohistochemistry: USP13 Antibody (9E6) [NBP3-43061] - Immunohistochemistry of paraffin-embedded human testis tissue slide using (USP13 Antibody) at dilution of 1:200

Applications for USP13 Antibody (9E6) - BSA Free

Application
Recommended Usage

Immunocytochemistry/ Immunofluorescence

1:20 - 1:200

Immunohistochemistry

1:20 - 1:200

Western Blot

1:500 - 1:5000

Formulation, Preparation, and Storage

Purification

Protein A or G purified

Formulation

PBS (pH 7.3), 50% glycerol

Format

BSA Free

Preservative

0.02% Sodium Azide

Concentration

Please see the vial label for concentration. If unlisted please contact technical services.

Shipping

The product is shipped with polar packs. Upon receipt, store it immediately at the temperature recommended below.

Stability & Storage

Store at -20C. Avoid freeze-thaw cycles.

Background: USP13

Long Name

Ubiquitin Specific Protease 13

Alternate Names

Isopeptidase T-3, IsoT-3, Ubiquitin Thioesterase 13

Gene Symbol

USP13

Additional USP13 Products

Product Documents for USP13 Antibody (9E6) - BSA Free

Certificate of Analysis

To download a Certificate of Analysis, please enter a lot number in the search box below.

Product Specific Notices for USP13 Antibody (9E6) - BSA Free

This product is for research use only and is not approved for use in humans or in clinical diagnosis. Primary Antibodies are guaranteed for 1 year from date of receipt.

Loading...
Loading...
Loading...
Loading...