Skip to main content

USP11 Antibody - BSA Free

Novus Biologicals, part of Bio-Techne | Catalog # NBP1-80640

Novus Biologicals, part of Bio-Techne
Catalog #
Availability
Size / Price
Qty
Loading...
NBP1-80640
NBP1-80640-25ul

Key Product Details

Validated by

Orthogonal Validation, Independent Antibodies

Species Reactivity

Validated:

Human

Cited:

Human, Mouse

Applications

Validated:

Immunohistochemistry, Immunohistochemistry-Paraffin, Immunocytochemistry/ Immunofluorescence

Cited:

Immunohistochemistry-Frozen, Western Blot

Label

Unconjugated

Antibody Source

Polyclonal Rabbit IgG

Format

BSA Free

Concentration

Concentrations vary lot to lot. See vial label for concentration. If unlisted please contact technical services.

Product Specifications

Immunogen

This antibody was developed against Recombinant Protein corresponding to amino acids: ESGRERPLRAGESWFLVEKHWYKQWEAYVQGGDQDSSTFPGCINNATLFQDEINWRLKEGLVEGEDYVLLPAAAWHYLVSWYGLEHGQPPIERKVIELPNIQKVEVYPVELLLVRHNDLGKSHTVQFS

Clonality

Polyclonal

Host

Rabbit

Isotype

IgG

Description

Novus Biologicals Rabbit USP11 Antibody - BSA Free (NBP1-80640) is a polyclonal antibody validated for use in IHC, WB and ICC/IF. Anti-USP11 Antibody: Cited in 2 publications. All Novus Biologicals antibodies are covered by our 100% guarantee.

Scientific Data Images for USP11 Antibody - BSA Free

Immunocytochemistry/ Immunofluorescence: USP11 Antibody [NBP1-80640]

Immunocytochemistry/ Immunofluorescence: USP11 Antibody [NBP1-80640]

Immunocytochemistry/Immunofluorescence: USP11 Antibody [NBP1-80640] - Immunofluorescent staining of human cell line RH-30 shows localization to nucleoplasm & cytosol.
Immunohistochemistry-Paraffin: USP11 Antibody [NBP1-80640]

Immunohistochemistry-Paraffin: USP11 Antibody [NBP1-80640]

Immunohistochemistry-Paraffin: USP11 Antibody [NBP1-80640] - Staining of human testis shows strong nuclear positivity in a subset of cells in seminiferous ducts.
Immunohistochemistry-Paraffin: USP11 Antibody [NBP1-80640]

Immunohistochemistry-Paraffin: USP11 Antibody [NBP1-80640]

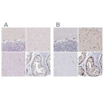
Immunohistochemistry-Paraffin: USP11 Antibody [NBP1-80640] - Staining of human cerebellum, cerebral cortex, skeletal muscle and testis using Anti-USP11 antibody NBP1-80640 (A) shows similar protein distribution across tissues to independent antibody NBP1-80639 (B).

Applications for USP11 Antibody - BSA Free

Application
Recommended Usage

Immunocytochemistry/ Immunofluorescence

0.25-2 ug/ml

Immunohistochemistry

1:200 - 1:500

Immunohistochemistry-Paraffin

1:200 - 1:500
Application Notes
For IHC-Paraffin, HIER pH 6 retrieval is recommended. Immunocytochemistry/Immunofluorescence Fixation Permeabilization: Use PFA/Triton X-100.

Formulation, Preparation, and Storage

Purification

Affinity purified

Formulation

PBS (pH 7.2) and 40% Glycerol

Format

BSA Free

Preservative

0.02% Sodium Azide

Concentration

Concentrations vary lot to lot. See vial label for concentration. If unlisted please contact technical services.

Shipping

The product is shipped with polar packs. Upon receipt, store it immediately at the temperature recommended below.

Stability & Storage

Store at 4C short term. Aliquot and store at -20C long term. Avoid freeze-thaw cycles.

Background: USP11

Protein ubiquitination controls many intracellular processes, including cell cycle progression, transcriptional activation, and signal transduction. This dynamic process, involving ubiquitin conjugating enzymes and deubiquitinating enzymes, adds and removes ubiquitin. Deubiquitinating enzymes are cysteine proteases that specifically cleave ubiquitin from ubiquitin-conjugated protein substrates. This gene encodes a deubiquitinating enzyme which lies in a gene cluster on chromosome Xp11.23

Long Name

Ubiquitin Specific Protease 11

Alternate Names

Ubiquitin Thioesterase 11, UHX1

Entrez Gene IDs

8237 (Human)

Gene Symbol

USP11

UniProt

Additional USP11 Products

Product Documents for USP11 Antibody - BSA Free

Certificate of Analysis

To download a Certificate of Analysis, please enter a lot number in the search box below.

Product Specific Notices for USP11 Antibody - BSA Free

This product is for research use only and is not approved for use in humans or in clinical diagnosis. Primary Antibodies are guaranteed for 1 year from date of receipt.

Loading...
Loading...
Loading...
Loading...