Skip to main content

USH1C Antibody - Azide and BSA Free

Novus Biologicals, part of Bio-Techne | Catalog # NBP2-99408

Novus Biologicals, part of Bio-Techne

Key Product Details

Species Reactivity

Human

Applications

Immunohistochemistry, Immunohistochemistry-Paraffin, Western Blot, ELISA, Sandwich ELISA Detection, Immunoprecipitation

Label

Unconjugated

Antibody Source

Polyclonal Rabbit IgG

Format

Azide and BSA Free

Concentration

Please see the vial label for concentration. If unlisted please contact technical services.

Product Specifications

Immunogen

Produced in rabbits immunized with purified, recombinant Human USH1C (AUniprot#: Q9Y6N9-1; Met 1-Phe 552)

Clonality

Polyclonal

Host

Rabbit

Isotype

IgG

Description

This antibody can be stored at 2C to 8C for one month without detectable loss of activity. Antibody products are stable for twelve months from date of receipt when stored at -20C to -80C. Avoid repeated freeze-thaw cycles.

Scientific Data Images for USH1C Antibody - Azide and BSA Free

Western Blot: USH1C Antibody [NBP2-99408]

Western Blot: USH1C Antibody [NBP2-99408]

Western Blot: USH1C Antibody [NBP2-99408] - Anti-USH1C rabbit polyclonal antibody at 1:500 dilution. Lane A: Caco-2 Whole Cell Lysate. Lysates/proteins at 60 ug per lane. Secondary Goat Anti-Rabbit IgG H&L (Dylight 800) at 1/10000 dilution. Developed using the Odyssey technique. Performed under reducing conditions. Predicted band size: 73 kDa. Observed band size: 70 kDa (We are unsure as to the identity of these extra bands).
Immunohistochemistry-Paraffin: USH1C Antibody [NBP2-99408]

Immunohistochemistry-Paraffin: USH1C Antibody [NBP2-99408]

Immunohistochemistry-Paraffin: USH1C Antibody [NBP2-99408] - Immunochemical staining of human USH1C in human kidney with rabbit polyclonal antibody (1:1000, formalin-fixed paraffin embedded sections).
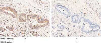
Immunohistochemistry-Paraffin: USH1C Antibody [NBP2-99408]

Immunohistochemistry-Paraffin: USH1C Antibody [NBP2-99408]

Immunohistochemistry-Paraffin: USH1C Antibody [NBP2-99408] - Immunochemical staining of human USH1C in human colon-carcinoma with rabbit polyclonal antibody (1:1000, formalin-fixed paraffin embedded sections). Positive staining was localized to epithelium. The left panel: tissue incubated with primary antibody; The

Applications for USH1C Antibody - Azide and BSA Free

Application
Recommended Usage

ELISA

1:5000-1:10000

Immunohistochemistry-Paraffin

1:500-1:2000

Immunoprecipitation

2-4 uL/mg of lysate

Western Blot

1:500-1:2000

Formulation, Preparation, and Storage

Purification

Antigen and protein A Affinity-purified

Formulation

0.2 um filtered solution in PBS

Format

Azide and BSA Free

Preservative

No Preservative

Concentration

Please see the vial label for concentration. If unlisted please contact technical services.

Shipping

The product is shipped with polar packs. Upon receipt, store it immediately at the temperature recommended below.

Stability & Storage

Store at 4C short term. Aliquot and store at -20C long term. Avoid freeze-thaw cycles.

Background: USH1C

USH1C may be involved in protein-protein interaction. Defects in USH1C are the cause of Usher syndrome type 1c. It is an autosomal recessive sensory defect involving congenital profound sensorineural deafness, vestibular dysfunction, and blindness due to progressive retinitis pigmentosa. Defects in USH1C are also the cause of nonsyndromic recessive deafness.

Alternate Names

AIE75, AIE-75, Antigen NY-CO-38/NY-CO-37, Autoimmune enteropathy-related antigen AIE-75, deafness, autosomal recessive 18, DFNB18, harmonin, NY-CO-37, NY-CO-38, PDZ-45, PDZ73, PDZ-73, PDZ-73/NY-CO-38, Protein PDZ-73, Renal carcinoma antigen NY-REN-3, ush1cpst, Usher syndrome 1C (autosomal recessive, severe), Usher syndrome type-1C protein

Gene Symbol

USH1C

Additional USH1C Products

Product Documents for USH1C Antibody - Azide and BSA Free

Certificate of Analysis

To download a Certificate of Analysis, please enter a lot number in the search box below.

Product Specific Notices for USH1C Antibody - Azide and BSA Free

This product is for research use only and is not approved for use in humans or in clinical diagnosis. Primary Antibodies are guaranteed for 1 year from date of receipt.

Loading...
Loading...
Loading...
Loading...