Skip to main content

USF2 Antibody - BSA Free

Novus Biologicals, part of Bio-Techne | Catalog # NBP1-92649

Novus Biologicals, part of Bio-Techne

Key Product Details

Validated by

Knockout/Knockdown

Species Reactivity

Validated:

Human, Mouse

Cited:

Mouse

Predicted:

Rat (100%). Backed by our 100% Guarantee.

Applications

Validated:

Knockout Validated, Immunohistochemistry, Immunohistochemistry-Paraffin, Western Blot, Immunoprecipitation

Cited:

Western Blot

Label

Unconjugated

Antibody Source

Polyclonal Rabbit IgG

Format

BSA Free

Concentration

1.0 mg/ml

Product Specifications

Immunogen

The immunogen this antibody was made to, maps to a region between residue 1 and 50 of human Upstream Transcription Factor 2 using the numbering given in entry NP_003358.1 (GeneID 7392).

Clonality

Polyclonal

Host

Rabbit

Isotype

IgG

Description

Novus Biologicals Knockout (KO) Validated Rabbit USF2 Antibody - BSA Free (NBP1-92649) is a polyclonal antibody validated for use in IHC, WB and IP. Anti-USF2 Antibody: Cited in 4 publications. All Novus Biologicals antibodies are covered by our 100% guarantee.

Scientific Data Images for USF2 Antibody - BSA Free

Western Blot: USF2 Antibody [NBP1-92649]

Western Blot: USF2 Antibody [NBP1-92649]

Western Blot: USF2 Antibody [NBP1-92649] - Detection of human USF2 by western blot and immunoprecipitation. Samples: Whole cell lysate from HeLa (15 and 50 ug for WB; 1 mg for IP, 20% of IP loaded), HEK293T (T; 50 ug) and Jurkat (J; 50 ug) cells. Antibodies: Affinity purified rabbit anti-USF2 antibody NBP1-92649 used for WB at 0.1 ug/ml (A) and 1 ug/ml (B) and used for IP at 6 ug/mg lysate. USF2 was also immunoprecipitated by rabbit anti-USF2 antibodies NBP1-92647 and NBP1-92650, which recognize downstream epitopes. Detection: Chemiluminescence with exposure times of 3 minutes (A) and 10 seconds (B).
Immunohistochemistry-Paraffin: USF2 Antibody [NBP1-92649]

Immunohistochemistry-Paraffin: USF2 Antibody [NBP1-92649]

Immunohistochemistry-Paraffin: USF2 Antibody [NBP1-92649] - Sample: FFPE section of mouse renal cell carcinoma. Antibody: Affinity purified rabbit anti- USF2 used at a dilution of 1:1,000 (1ug/ml). Detection: DAB. Counterstain: Hematoxylin (blue).
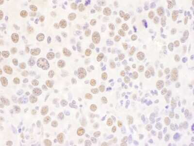
Immunohistochemistry-Paraffin: USF2 Antibody [NBP1-92649]

Immunohistochemistry-Paraffin: USF2 Antibody [NBP1-92649]

Immunohistochemistry-Paraffin: USF2 Antibody [NBP1-92649] - FFPE serial sections of human prostate carcinoma.Antibody: Affinity purified rabbit anti- USF2 left image, middle image and right image used at a dilution of 1:1,000 (1ug/ml). Detection: DAB. Counterstain: Hematoxylin (blue).

Applications for USF2 Antibody - BSA Free

Application
Recommended Usage

Immunohistochemistry

1:1000- 1:5000

Immunohistochemistry-Paraffin

1:1000 - 1:5000

Immunoprecipitation

2-10 ug/mg

Western Blot

1:2000-1:10000
Application Notes
Epitope retrieval with citrate buffer pH6.0 is recommended for FFPE tissue sections.

Formulation, Preparation, and Storage

Purification

Immunogen affinity purified

Formulation

Tris-Citrate/Phosphate (pH 7.0 - 8.0)

Format

BSA Free

Preservative

0.09% Sodium Azide

Concentration

1.0 mg/ml

Shipping

The product is shipped with polar packs. Upon receipt, store it immediately at the temperature recommended below.

Stability & Storage

Store at 4C. Do not freeze.

Background: USF2

USF2 encodes a member of the basic helix-loop-helix leucine zipper family, and can function as a cellular transcription factor. The encoded protein can activate transcription through pyrimidine-rich initiator (Inr) elements and E-box motifs. Two transcript variants encoding distinct isoforms have been identified for this gene.

Alternate Names

BHLHB12, bHLHb12upstream stimulatory factor 2, Class B basic helix-loop-helix protein 12, FIPc-fos interacting protein, FOS-interacting protein, Major late transcription factor 2, Upstream transcription factor 2, upstream transcription factor 2, c-fos interacting

Gene Symbol

USF2

Additional USF2 Products

Product Documents for USF2 Antibody - BSA Free

Certificate of Analysis

To download a Certificate of Analysis, please enter a lot number in the search box below.

Product Specific Notices for USF2 Antibody - BSA Free

This product is for research use only and is not approved for use in humans or in clinical diagnosis. Primary Antibodies are guaranteed for 1 year from date of receipt.

Loading...
Loading...
Loading...
Loading...