Skip to main content

Urotensin-II R/GPR14 Antibody - BSA Free

Novus Biologicals, part of Bio-Techne | Catalog # NLS372

Novus Biologicals, part of Bio-Techne
Catalog #
Availability
Size / Price
Qty
Loading...
NLS372

Key Product Details

Species Reactivity

Validated:

Human, Monkey

Predicted:

Primate (100%). Backed by our 100% Guarantee.

Applications

Immunohistochemistry, Immunohistochemistry-Paraffin

Label

Unconjugated

Antibody Source

Polyclonal Rabbit IgG

Format

BSA Free

Concentration

1.0 mg/ml

Product Specifications

Immunogen

Synthetic 20 amino acid peptide from N-terminal extracellular domain of human Urotensin-II R/GPR14.

Epitope

N-Terminus extracellular domain

Reactivity Notes

Predicted cross-reactivity based on sequence identity: Gibbon (100%).

Localization

Secreted

Specificity

Human Urotensin-II R/GPR14. BLAST analysis of the peptide immunogen showed no homology with other human proteins.

Clonality

Polyclonal

Host

Rabbit

Isotype

IgG

Description

Product can be stored undiluted at 4C for up to 1 month.

Scientific Data Images for Urotensin-II R/GPR14 Antibody - BSA Free

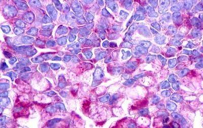
Immunohistochemistry-Paraffin: Urotensin-II R/GPR14 Antibody - BSA Free [NLS372]

Immunohistochemistry-Paraffin: Urotensin-II R/GPR14 Antibody - BSA Free [NLS372]

Immunohistochemistry-Paraffin: Urotensin-II R/GPR14 Antibody [NLS372] - Analysis of anti-UTS2R / GPR14 antibody with human pancreas, acinar epithelium.
Urotensin-II R/GPR14 Antibody - BSA Free

Immunohistochemistry: Urotensin-II R/GPR14 Antibody - BSA Free [NLS372] -

Immunohistochemistry: Urotensin-II R/GPR14 Antibody - BSA Free [NLS372] - Immunohistochemistry of Lung, Non Small-Cell Carcinoma

Applications for Urotensin-II R/GPR14 Antibody - BSA Free

Application
Recommended Usage

Immunohistochemistry-Paraffin

6 - 11 ug/ml
Application Notes
.

Formulation, Preparation, and Storage

Purification

Immunogen affinity purified

Formulation

PBS

Format

BSA Free

Preservative

0.1% Sodium Azide

Concentration

1.0 mg/ml

Shipping

The product is shipped with polar packs. Upon receipt, store it immediately at the temperature recommended below.

Stability & Storage

Keep as concentrated solution. Aliquot and store at -20C or below. Avoid multiple freeze-thaw cycles.

Background: Urotensin-II R

UII-R, initially named GPR14, is a Urotensin Receptor that binds urotensin-II (U-II) and regulates cardiovascular function. Urotensin-II receptor has been reported to be expressed at high levels in the heart and pancreas and also in artery and smooth muscle. Low transcript levels have been identified in brain, particularly in thalamus, superior occipital gyrus, and substantia nigra. ESTs have been isolated from fetal, melanocyte/uterus/fetal heart, and ovarian thecoma fibroma libraries.

Long Name

Urotensin-II Receptor

Alternate Names

GPR14, Urotensin-IIR, UrotensinIIR, UTR, UTR2, UTS2R

Entrez Gene IDs

2837 (Human)

Gene Symbol

UTS2R

UniProt

Additional Urotensin-II R Products

Product Documents for Urotensin-II R/GPR14 Antibody - BSA Free

Certificate of Analysis

To download a Certificate of Analysis, please enter a lot number in the search box below.

Product Specific Notices for Urotensin-II R/GPR14 Antibody - BSA Free

This product is for research use only and is not approved for use in humans or in clinical diagnosis. Primary Antibodies are guaranteed for 1 year from date of receipt.

Loading...
Loading...
Loading...
Loading...