Skip to main content

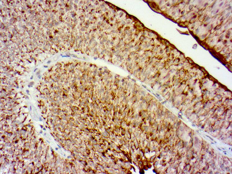
Uroplakin II Antibody

Novus Biologicals, part of Bio-Techne | Catalog # NBP3-45111

Novus Biologicals, part of Bio-Techne
Catalog #
Availability
Size / Price
Qty
Loading...
NBP3-45111-0.1ml
NBP3-45111-0.5ml
NBP3-45111-1ml

Key Product Details

Species Reactivity

Human

Applications

Immunohistochemistry, Immunohistochemistry-Paraffin

Label

Unconjugated

Antibody Source

Polyclonal Rabbit

Concentration

This product is unpurified. The exact concentration of antibody is not quantifiable.

Product Specifications

Immunogen

Peptide-KLH conjugate

Specificity

Uroplakins (UPs) are a family of transmembrane proteins (UPs Ia, Ib, II and III) that are specific differentiation products of urothelial cells. Uroplakins are markers of terminally differentiated urothelium. Uroplakin II (UPII) is a newly described sensitive marker for urothelial carcinoma (UC).

Clonality

Polyclonal

Host

Rabbit

Description

Novus Biologicals Rabbit Uroplakin II Antibody (NBP3-45111) is a polyclonal antibody validated for use in IHC. All Novus Biologicals antibodies are covered by our 100% guarantee.

Applications for Uroplakin II Antibody

Application
Recommended Usage

Immunohistochemistry

Optimal dilutions of this antibody should be experimentally determined.

Immunohistochemistry-Paraffin

Optimal dilutions of this antibody should be experimentally determined.

Formulation, Preparation, and Storage

Purification

Tissue culture supernatant

Formulation

PBS (pH 7.4), Tween-20, 0.2% BSA

Preservative

0.05% Sodium Azide

Concentration

This product is unpurified. The exact concentration of antibody is not quantifiable.

Shipping

The product is shipped with polar packs. Upon receipt, store it immediately at the temperature recommended below.

Stability & Storage

Store at 4C.

Background: Uroplakin II

Alternate Names

UP2, UPII, UPK2 uroplakin 2

Gene Symbol

UPK2

Additional Uroplakin II Products

Product Documents for Uroplakin II Antibody

Certificate of Analysis

To download a Certificate of Analysis, please enter a lot number in the search box below.

Product Specific Notices for Uroplakin II Antibody

This product is for research use only and is not approved for use in humans or in clinical diagnosis. Primary Antibodies are guaranteed for 1 year from date of receipt.

Loading...
Loading...
Loading...
Loading...