Skip to main content

UQCRFS1 Antibody - BSA Free

Novus Biologicals, part of Bio-Techne | Catalog # NBP1-87826

Novus Biologicals, part of Bio-Techne
Catalog #
Availability
Size / Price
Qty
Loading...
NBP1-87826
NBP1-87826-25ul

Key Product Details

Validated by

Orthogonal Validation, Independent Antibodies

Species Reactivity

Validated:

Human, Rat

Cited:

Human

Predicted:

Mouse (94%). Backed by our 100% Guarantee.

Applications

Validated:

Immunohistochemistry, Immunohistochemistry-Paraffin, Western Blot, Immunocytochemistry/ Immunofluorescence, Simple Western

Cited:

Western Blot

Label

Unconjugated

Antibody Source

Polyclonal Rabbit IgG

Format

BSA Free

Concentration

Concentrations vary lot to lot. See vial label for concentration. If unlisted please contact technical services.

Product Specifications

Immunogen

This antibody was developed against Recombinant Protein corresponding to amino acids: RVKKPEWVILIGVCTHLGCVPIANAGDFGGYYCPCHGSHYDASGRIRLGPAPLNLEVPTYEFTSDDMVIV

Reactivity Notes

Human reactivity reported in scientific literature (PMID: 25605331).

Clonality

Polyclonal

Host

Rabbit

Isotype

IgG

Description

Novus Biologicals Rabbit UQCRFS1 Antibody - BSA Free (NBP1-87826) is a polyclonal antibody validated for use in IHC, WB, ICC/IF and Simple Western. Anti-UQCRFS1 Antibody: Cited in 2 publications. All Novus Biologicals antibodies are covered by our 100% guarantee.

Scientific Data Images for UQCRFS1 Antibody - BSA Free

Western Blot: UQCRFS1 Antibody [NBP1-87826]

Western Blot: UQCRFS1 Antibody [NBP1-87826]

Western Blot: UQCRFS1 Antibody [NBP1-87826] - Analysis using Anti-UQCRFS1 antibody NBP1-87826 (A) shows similar pattern to independent antibody NBP2-38623 (B).
Immunocytochemistry/ Immunofluorescence: UQCRFS1 Antibody [NBP1-87826]

Immunocytochemistry/ Immunofluorescence: UQCRFS1 Antibody [NBP1-87826]

Immunocytochemistry/Immunofluorescence: UQCRFS1 Antibody [NBP1-87826] - Staining of human cell line U-251 MG shows localization to mitochondria. Antibody staining is shown in green.
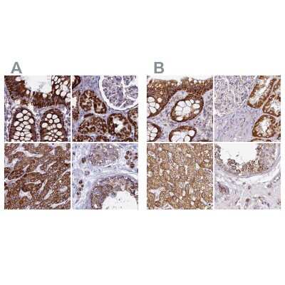
Immunohistochemistry-Paraffin: UQCRFS1 Antibody [NBP1-87826]

Immunohistochemistry-Paraffin: UQCRFS1 Antibody [NBP1-87826]

Immunohistochemistry-Paraffin: UQCRFS1 Antibody [NBP1-87826] - Staining of human testis using Anti-UQCRFS1 antibody NBP1-87826.

Applications for UQCRFS1 Antibody - BSA Free

Application
Recommended Usage

Immunocytochemistry/ Immunofluorescence

0.25-2 ug/ml

Immunohistochemistry

1:50 - 1:200

Immunohistochemistry-Paraffin

1:50 - 1:200

Simple Western

1:30

Western Blot

0.04-0.4 ug/ml
Application Notes
WB reported in the literature (PMID:25605331). ICC/IF Fixation Permeabilization: Use PFA/Triton X-100. IHC-Paraffin HIER pH6 retrieval is recommended.
See Simple Western Antibody Database for Simple Western validation: Tested in RT-4 and U-251MG, separated by Size, antibody dilution of 1:30, apparent MW was 31 kDa

Formulation, Preparation, and Storage

Purification

Affinity purified

Formulation

PBS (pH 7.2) and 40% Glycerol

Format

BSA Free

Preservative

0.02% Sodium Azide

Concentration

Concentrations vary lot to lot. See vial label for concentration. If unlisted please contact technical services.

Shipping

The product is shipped with polar packs. Upon receipt, store it immediately at the temperature recommended below.

Stability & Storage

Store at 4C short term. Aliquot and store at -20C long term. Avoid freeze-thaw cycles.

Background: UQCRFS1

RIP1 is a component of the ubiquinol-cytochrome c reductase complex (complex III or cytochrome b-c1 complex), which is a respiratory chain that generates an electrochemical potential coupled to ATP synthesis Function: The transit peptide of the Rieske protein seems

Alternate Names

Complex III subunit 5, Cytochrome b-c1 complex subunit 5, cytochrome b-c1 complex subunit Rieske, mitochondrial, EC 1.10.2.2, Rieske iron-sulfur protein, RIP1, RIS1, RISPUbiquinol-cytochrome c reductase iron-sulfur subunit, ubiquinol-cytochrome c reductase, Rieske iron-sulfur polypeptide 1, UQCR5

Gene Symbol

UQCRFS1

Additional UQCRFS1 Products

Product Documents for UQCRFS1 Antibody - BSA Free

Certificate of Analysis

To download a Certificate of Analysis, please enter a lot number in the search box below.

Product Specific Notices for UQCRFS1 Antibody - BSA Free

This product is for research use only and is not approved for use in humans or in clinical diagnosis. Primary Antibodies are guaranteed for 1 year from date of receipt.

Loading...
Loading...
Loading...
Loading...