Skip to main content

UPF3B Antibody - BSA Free

Novus Biologicals, part of Bio-Techne | Catalog # NBP1-83135

Novus Biologicals, part of Bio-Techne
Catalog #
Availability
Size / Price
Qty
Loading...
NBP1-83135
NBP1-83135-25ul

Key Product Details

Species Reactivity

Human, Mouse, Rat

Applications

Immunohistochemistry, Immunohistochemistry-Paraffin, Western Blot

Label

Unconjugated

Antibody Source

Polyclonal Rabbit IgG

Format

BSA Free

Concentration

Concentrations vary lot to lot. See vial label for concentration. If unlisted please contact technical services.

Product Specifications

Immunogen

This antibody was developed against Recombinant Protein corresponding to amino acids: AKKLDKENLSDERASGQSCTLPKRSDSELKDEKPKRPEDESGRDYREREREYERDQERILRERERLKRQEEERRRQKERYEKEKTFKRKEEEMKKEKDTLRDKGKKAESTESIGSSEKTEKKEEVVKRDRIRNKDR

Clonality

Polyclonal

Host

Rabbit

Isotype

IgG

Description

Novus Biologicals Rabbit UPF3B Antibody - BSA Free (NBP1-83135) is a polyclonal antibody validated for use in IHC and WB. All Novus Biologicals antibodies are covered by our 100% guarantee.

Scientific Data Images for UPF3B Antibody - BSA Free

Western Blot: UPF3B Antibody [NBP1-83135]

Western Blot: UPF3B Antibody [NBP1-83135]

Western Blot: UPF3B Antibody [NBP1-83135] - Lane 1: Marker [kDa] 219, 112, 85, 49, 32, 25, 18. Lane 2: Human cell line RT-4. Lane 3: Human cell line U-251MG sp. Lane 4: Human cell line A-431
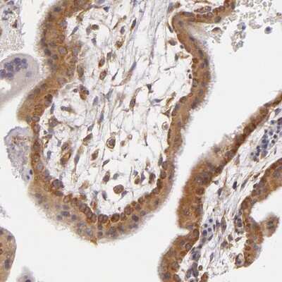
Immunohistochemistry-Paraffin: UPF3B Antibody [NBP1-83135]

Immunohistochemistry-Paraffin: UPF3B Antibody [NBP1-83135]

Immunohistochemistry-Paraffin: UPF3B Antibody [NBP1-83135] - Staining of human placenta shows strong cytoplasmic positivity in trophoblastic cells.
Western Blot: UPF3B Antibody [NBP1-83135]

Western Blot: UPF3B Antibody [NBP1-83135]

Western Blot: UPF3B Antibody [NBP1-83135] - Lane 1: NIH-3T3 cell lysate (Mouse embryonic fibroblast cells). Lane 2: NBT-II cell lysate (Rat Wistar bladder tumor cells). Lane 3: PC12 cell lysate (Pheochromocytoma of rat adrenal medulla).

Applications for UPF3B Antibody - BSA Free

Application
Recommended Usage

Immunohistochemistry

1:200 - 1:500

Immunohistochemistry-Paraffin

1:200 - 1:500

Western Blot

0.04-0.4 ug/ml
Application Notes
For IHC-Paraffin, HIER pH 6 retrieval is recommended. IF fixation permeabilization: PFA/Triton X-100.

Formulation, Preparation, and Storage

Purification

Immunogen affinity purified

Formulation

PBS (pH 7.2) and 40% Glycerol

Format

BSA Free

Preservative

0.02% Sodium Azide

Concentration

Concentrations vary lot to lot. See vial label for concentration. If unlisted please contact technical services.

Shipping

The product is shipped with polar packs. Upon receipt, store it immediately at the temperature recommended below.

Stability & Storage

Store at 4C short term. Aliquot and store at -20C long term. Avoid freeze-thaw cycles.

Background: UPF3B

The UPF3B gene encodes a protein that is part of a post-splicing multiprotein complex involved in both mRNA nuclear exportand mRNA surveillance. The encoded protein is one of two functional homologs to yeast Upf3p. mRNA surveillance detectsexported mRNAs with

Alternate Names

hUpf3B, Nonsense mRNA reducing factor 3B, regulator of nonsense transcripts 3B, RENT3BhUpf3p-X, UPF3 regulator of nonsense transcripts homolog B (yeast), UPF3XMRXS14, Up-frameshift suppressor 3 homolog B, Up-frameshift suppressor 3 homolog on chromosome X

Gene Symbol

UPF3B

Additional UPF3B Products

Product Documents for UPF3B Antibody - BSA Free

Certificate of Analysis

To download a Certificate of Analysis, please enter a lot number in the search box below.

Product Specific Notices for UPF3B Antibody - BSA Free

This product is for research use only and is not approved for use in humans or in clinical diagnosis. Primary Antibodies are guaranteed for 1 year from date of receipt.

Loading...
Loading...
Loading...
Loading...