Skip to main content

UNG Antibody (OTI1A11)

Novus Biologicals, part of Bio-Techne | Catalog # NBP2-01194

Novus Biologicals, part of Bio-Techne
Catalog #
Availability
Size / Price
Qty
Loading...
NBP2-01194
Conjugate
Catalog #

Key Product Details

Species Reactivity

Human, Mouse, Rat

Applications

Immunohistochemistry, Immunohistochemistry-Paraffin, Western Blot, Immunocytochemistry/ Immunofluorescence

Label

Unconjugated

Antibody Source

Monoclonal Mouse IgG1 Clone # OTI1A11

Concentration

0.79 mg/ml

Product Specifications

Immunogen

Full length human recombinant protein of human UNG(NP_550433) produced in HEK293T cell.

Reactivity Notes

Please note that this antibody is reactive to Mouse and derived from the same host, Mouse. Mouse-On-Mouse blocking reagent may be needed for IHC and ICC experiments to reduce high background signal. You can find these reagents under catalog numbers PK-2200-NB and MP-2400-NB. Please contact Technical Support if you have any questions.

Clonality

Monoclonal

Host

Mouse

Isotype

IgG1

Theoretical MW

34.5 kDa.
Disclaimer note: The observed molecular weight of the protein may vary from the listed predicted molecular weight due to post translational modifications, post translation cleavages, relative charges, and other experimental factors.

Scientific Data Images for UNG Antibody (OTI1A11)

Western Blot: UNG Antibody (OTI1A11) [NBP2-01194]

Western Blot: UNG Antibody (OTI1A11) [NBP2-01194]

Western Blot: uracil-DNA glycosylase Antibody (1A11) [NBP2-01194] - HEK293T cells were transfected with the pCMV6-ENTRY control (Left lane) or pCMV6-ENTRY uracil-DNA glycosylase (Right lane) cDNA for 48 hrs and lysed. Equivalent amounts of cell lysates (5 ug per lane) were separated by SDS-PAGE and immunoblotted with anti-uracil-DNA glycosylase.
Immunocytochemistry/Immunofluorescence: uracil-DNA glycosylase Antibody (1A11) [NBP2-01194] Staining of COS7 cells transiently transfected by pCMV6-ENTRY uracil-DNA glycosylase.
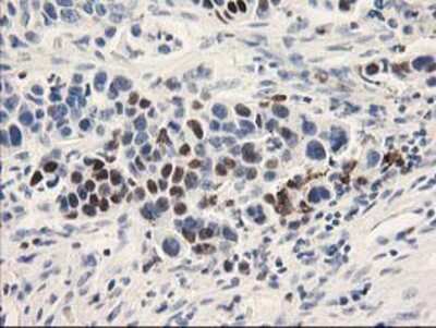
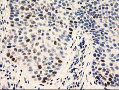
Immunohistochemistry-Paraffin: UNG Antibody (OTI1A11) [NBP2-01194]

Immunohistochemistry-Paraffin: UNG Antibody (OTI1A11) [NBP2-01194]

Immunohistochemistry-Paraffin: uracil-DNA glycosylase Antibody (1A11) [NBP2-01194] - Staining of paraffin-embedded Human tonsil using anti-uracil-DNA glycosylase mouse monoclonal antibody.

Applications for UNG Antibody (OTI1A11)

Application
Recommended Usage

Immunocytochemistry/ Immunofluorescence

1:100

Immunohistochemistry

1:150

Immunohistochemistry-Paraffin

1:150

Western Blot

1:2000

Formulation, Preparation, and Storage

Purification

Immunogen affinity purified

Formulation

PBS (pH 7.3), 1.0% BSA and 50% Glycerol

Preservative

0.02% Sodium Azide

Concentration

0.79 mg/ml

Shipping

The product is shipped with polar packs. Upon receipt, store it immediately at the temperature recommended below.

Stability & Storage

Store at -20C. Avoid freeze-thaw cycles.

Background: UNG

This gene encodes one of several uracil-DNA glycosylases. One important function of uracil-DNA glycosylases is to prevent mutagenesis by eliminating uracil from DNA molecules by cleaving the N-glycosylic bond and initiating the base-excision repair (BER) pathway. Uracil bases occur from cytosine deamination or misincorporation of dUMP residues. Alternative promoter usage and splicing of this gene leads to two different isoforms: the mitochondrial UNG1 and the nuclear UNG2. The UNG2 term was used as a previous symbol for the CCNO gene (GeneID 10309), which has been confused with this gene, in the literature and some databases. [provided by RefSeq].

Long Name

Uracil N-Glycosylase

Alternate Names

DGU, UDG

Entrez Gene IDs

7374 (Human)

Gene Symbol

UNG

Additional UNG Products

Product Documents for UNG Antibody (OTI1A11)

Certificate of Analysis

To download a Certificate of Analysis, please enter a lot number in the search box below.

Product Specific Notices for UNG Antibody (OTI1A11)

This product is for research use only and is not approved for use in humans or in clinical diagnosis. Primary Antibodies are guaranteed for 1 year from date of receipt.

Loading...
Loading...
Loading...
Loading...