Skip to main content

UNC80 Antibody - BSA Free

Novus Biologicals, part of Bio-Techne | Catalog # NBP1-94110

Novus Biologicals, part of Bio-Techne
Catalog #
Availability
Size / Price
Qty
Loading...
NBP1-94110
NBP1-94110-25ul

Key Product Details

Validated by

Orthogonal Validation

Species Reactivity

Validated:

Human

Predicted:

Mouse (99%), Rat (99%). Backed by our 100% Guarantee.

Applications

Immunohistochemistry, Immunohistochemistry-Paraffin, Immunocytochemistry/ Immunofluorescence

Label

Unconjugated

Antibody Source

Polyclonal Rabbit IgG

Format

BSA Free

Concentration

Concentrations vary lot to lot. See vial label for concentration. If unlisted please contact technical services.

Product Specifications

Immunogen

This antibody was developed against Recombinant Protein corresponding to amino acids: KDSLNNVVDFLHALLGFCMEPVTDNKAGFGNNFTTVDNKSTAQNVEGIIVSAMFKSLITRCASTTHELHSPENLGLYCDIRQLVQFIKEAHGNVFR

Clonality

Polyclonal

Host

Rabbit

Isotype

IgG

Description

Novus Biologicals Rabbit UNC80 Antibody - BSA Free (NBP1-94110) is a polyclonal antibody validated for use in IHC and ICC/IF. All Novus Biologicals antibodies are covered by our 100% guarantee.

Scientific Data Images for UNC80 Antibody - BSA Free

Immunocytochemistry/ Immunofluorescence: UNC80 Antibody [NBP1-94110]

Immunocytochemistry/ Immunofluorescence: UNC80 Antibody [NBP1-94110]

Immunocytochemistry/Immunofluorescence: UNC80 Antibody [NBP1-94110] - Staining of human cell line U-251 MG shows localization to vesicles. Antibody staining is shown in green.
Immunohistochemistry-Paraffin: UNC80 Antibody [NBP1-94110]

Immunohistochemistry-Paraffin: UNC80 Antibody [NBP1-94110]

Immunohistochemistry-Paraffin: UNC80 Antibody [NBP1-94110] - Staining of human cerebral cortex shows high expression.
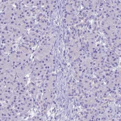
Immunohistochemistry-Paraffin: UNC80 Antibody [NBP1-94110]

Immunohistochemistry-Paraffin: UNC80 Antibody [NBP1-94110]

Immunohistochemistry-Paraffin: UNC80 Antibody [NBP1-94110] - Staining of human pancreas shows low expression as expected.

Applications for UNC80 Antibody - BSA Free

Application
Recommended Usage

Immunocytochemistry/ Immunofluorescence

0.25-2 ug/ml

Immunohistochemistry

1:20 - 1:50

Immunohistochemistry-Paraffin

1:20 - 1:50
Application Notes
For IHC-Paraffin, HIER pH 6 retrieval is recommended. ICC/IF Fixation Permeabilization: Use PFA/Triton X-100.

Formulation, Preparation, and Storage

Purification

Affinity purified

Formulation

PBS (pH 7.2) and 40% Glycerol

Format

BSA Free

Preservative

0.02% Sodium Azide

Concentration

Concentrations vary lot to lot. See vial label for concentration. If unlisted please contact technical services.

Shipping

The product is shipped with polar packs. Upon receipt, store it immediately at the temperature recommended below.

Stability & Storage

Store at 4C short term. Aliquot and store at -20C long term. Avoid freeze-thaw cycles.

Background: UNC80

Alternate Names

C2orf21, FLJ14677, FLJ33496, FLJ53903, KIAA1843, protein unc-80 homolog, UNC-80, unc-80 homolog (C. elegans), WUGSC:H_NH0436C12.1

Gene Symbol

UNC80

Additional UNC80 Products

Product Documents for UNC80 Antibody - BSA Free

Certificate of Analysis

To download a Certificate of Analysis, please enter a lot number in the search box below.

Product Specific Notices for UNC80 Antibody - BSA Free

This product is for research use only and is not approved for use in humans or in clinical diagnosis. Primary Antibodies are guaranteed for 1 year from date of receipt.

Loading...
Loading...
Loading...
Loading...